부신피질 및 수질 종양

이론과 하이라이트 히스토리를 확인 할 수 있어요.

부신피질 및 수질 종양

1. 부신피질샘종, 암종 (adrenocortical adenoma/carcinoma)

• 대부분의 부신피질 종양은 원발성임

• 일부는 germline TP53 변이로 인한 Li-Fraumeni syndrome, 또는 IGF-2의 epigenetic imprinting의 오류로 인한 Beckwith-Wiedemann syndrome의 형태로 나타남

(1) 부신피질샘종 (adrenocortical adenoma)

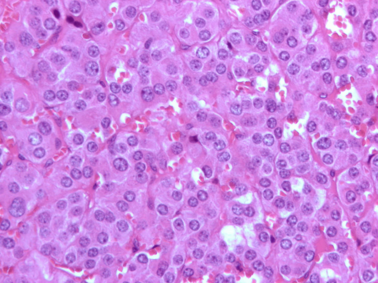
대부분 비기능성이며 우연히 발견됨

• 일부 기능성 종양은 쿠싱증후군 또는 원발성 알도스테론증을 유발

육안적으로는 주변 조직과의 경계가 명학하며 피막으로 둘러싸인 2.5cm 지름의 결절이 관찰됨; 높은 지방 함유량으로 인해 노란색을 뜀

조직학적으로는 정상 부신피질과 유사한 세포로 구성됨; 이형성, 괴사, 고유사분열 등은 없으며 mitotic index인 Ki-67은 5% 미만임

Adrenocortical adenoma, Wikipedia Commons

(2) 부신피질암종 (adrenocortical carcinoma)

• 드문 종양이지만 침습적이며 예후가 불량함

종종 기능성이며 남성화가 주된 증상

• 지름 20cm에 달하는 거대 병변으로, 정상 부신 구조를 파괴함

육안적으로 관찰시 병변은 불균일하며, 정상 조직과의 경계가 불명확하고 괴사, 출혈, 낭성변화 등이 동반됨

조직학적으로 현저한 이형성(atypia), 비정상적인 유사분열, 거대세포 또는 방추세포 등이 관찰됨

• 혈관, 정맥, 림프절, 주변 장기를 잘 침범하며 폐 또는 간으로의 혈행성 전이가 흔함

Adrenal cortical carcinoma, Wikipedia Commons

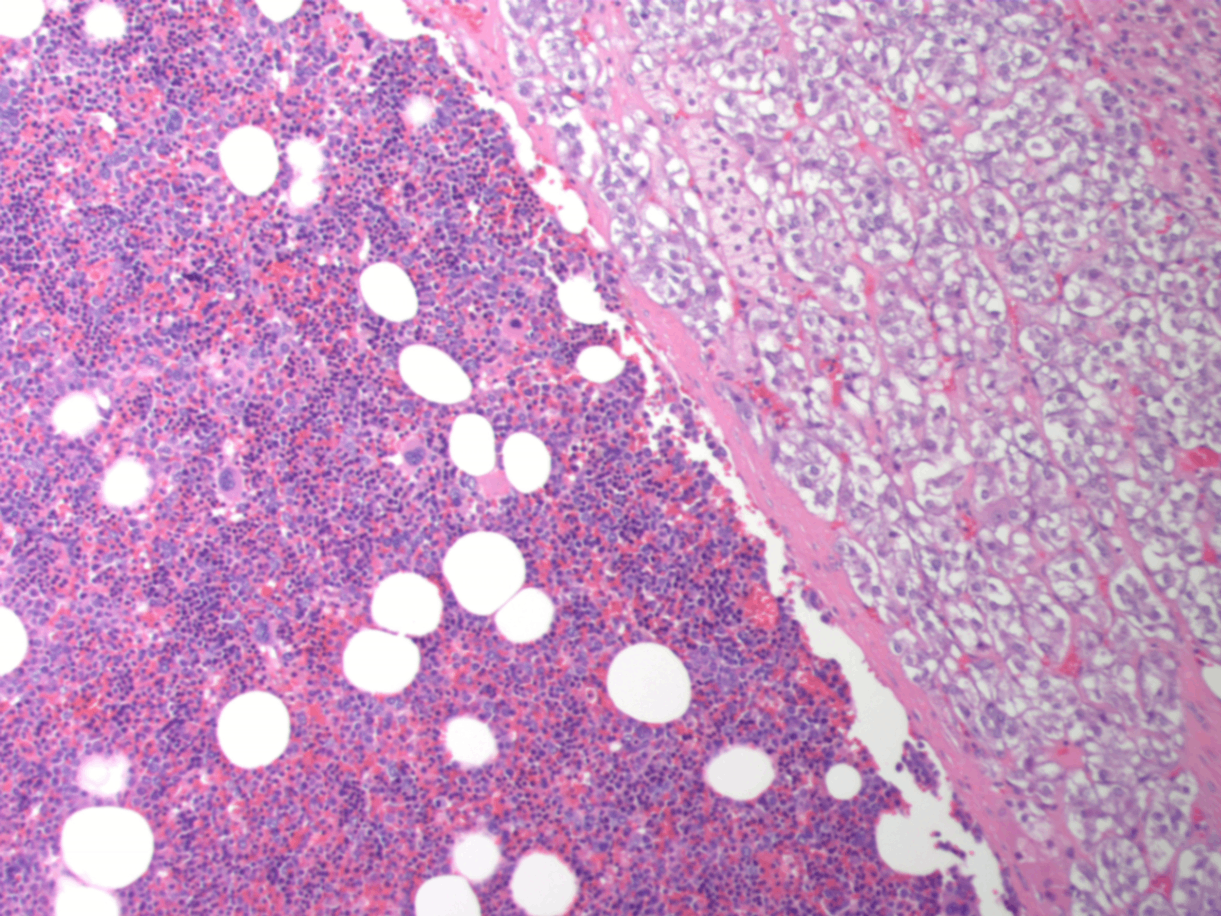
2. 부신골수지방종 (adrenal myelolipoma)

• 흔치 않지만 양성인 종양

성숙한 지방세포와 조혈세포로 구성됨

• 대부분 우연히 발견되는 incidentaloma

• 드물게 매우 큰 크기로 성장할 수 있음

Adrenal myelolipoma, Wikipedia Commons

3. 크롬친화세포종 (pheochromocytoma)

(1) 개요

부신수질의 chromaffin cell에서 기원하는 신경내분비종양으로 epinephrine, norepinephrine과 같은 catecholmaine을 과분비해 발작성 고혈압, 두근거림, 발한, 두통 등의 증상을 유발

• "Rule of 10s":

- 10%는 extra-adrenal: paraganglia, carotid body 등에서 발생

- 10%는 양측성

- 10%는 악성으로 전이함

- 10%는 고혈압이 나타나지 않음

• 25%의 경우 가족성으로 나타나며, 연관된 유전적 변이와 질환명은 다음과 같음:

- RET (MEN 2A, 2B)

- NF1 (Neurofibromatosis, type 1)

- VHL (Von Hippel-Lindau)

• 소변 내 VMA, metanephrine, catecholamine 대사산물 상승

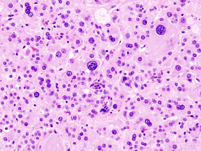
(2) 조직학적 소견

다각형 또는 방추형의 chromaffin cells(=chief cells)가 sustentacular cell에 둘러싸여 혈관 네트워크가 풍부하게 분포하는 작은 둥지/폐포 모양의 구조인 zellballen 형성

신경내분비종양의 전형적인 소견인 finely granular한 세포질과 salt-and-pepper pattern의 chromatin을 보유한 둥글거나 타원형의 핵이 관찰됨

전자현미경 소견으로 electron-dense secretory granule이 관찰됨

Chromogranin, Synaptophysin, S-100 양성

Pheochromocytoma, Wikipedia Commons

4. 신경모세포종 (neuroblastoma)

(1) 개요

교감신경절 및 부신수질에서 primordial neurl crest cell로부터 기원하는 종양

소아기에서 가장 흔한 extracranial solid tumor

• 약 40%는 부신수질에서 발생, 나머지는 sympathetic chain을 따라 어디서든 발생 가능하며 가장 흔한 부위는 복부의 paravertebral region과 후종격

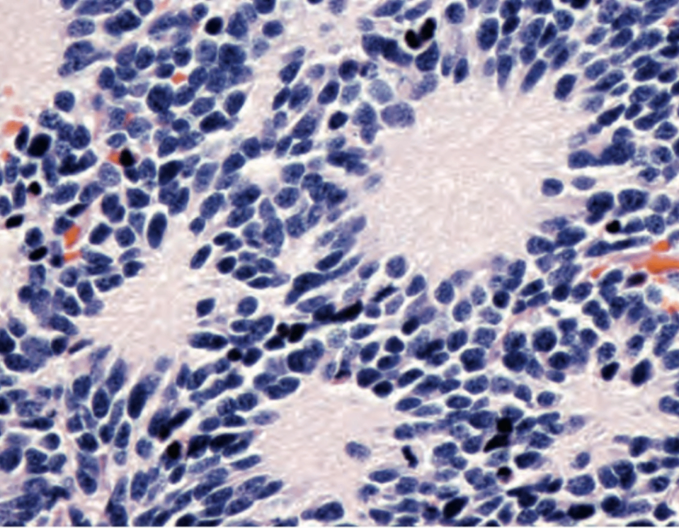
(2) 조직학적 소견

작고 미분화된 원시세포가 sheet 형태로 배열됨; 구성 세포들은 짙은 핵과 적은 세포질(scant cytoplasm)을 보유함

유사분열이 활발하며 핵붕괴(karyorrhexis) 및 다형성(pleomorphism)이 관찰됨

배경에서 신경섬유성 기질(neuropil)이 관찰됨. 이는 신경돌기의 섬유성 성분으로 연한 호산성 섬유질로 나타남

특징적인 구조인 Homer-Wright pseudorosette이 관찰됨; 중심부의 neuropil을 중심으로 종양세포가 동심원 형태로 배열

• Neuro-specific enolase, 전산인자 PHOX2B 양성

Robbins and Cotran Pathologic Basis of Disease, 10e, pg 478

Reference: Robbins and Cotran, Pathologic Basis of Disease, 10e