유방종양

이론과 하이라이트 히스토리를 확인 할 수 있어요.

유방종양

1. 개요

• 유방암은 여성에서 가장 흔한 비피부암이며, 암 사망의 두 번째로 흔한 원인이다

(1) 유전적 요인

• 가족성 유방암은 전체 유방암의 1/4~1/3을 차지함

• 상염색체 우성 유전

BRCA1 및 BRCA2 유전자 변이는 단일 유전자 변이에 의한 유정성 유방암의 80-90%을 차지하며 전체 유방암의 3-6%을 차지함

- BRCA1 변이 보인자의 약 20-40%는 난소암이 동반됨

- BRCA1과 BRCA2는 homologous recombination이라는 과정을 통해 double-stranded DNA break을 복구하는 단백질 복합체의 구성 요소

• 이 외에도 다음과 같은 고위험 종양 억제 유전자 돌연변이들이 존재하며, 대부분 특정 유전 증후군과 연관됨:

- TP53 → Li-Fraumeni syndrome

- PTEN → Cowden syndrome

이러한 유전적 변이로 인해 DNA 손상이 제대로 복구되지 않아 oncogenic mutation이 축적되고 딸세포에 전달되어 유전체 불안정성(genomic instability)을 유발함

2. 유방암의 분자학적 분류

• 유방암은 세 가지 주요 분자 아형으로 분류되며, 각 경로는 병리학적 특성뿐만 아니라 치료 반응, 재발 및 전이 양상, 생존율과도 밀접한 관련을 가짐

(1) 내강형(luminal): ER-positive/HER2-negative

• 전체 유방암의 50-60%을 차지

Luminal 유방암은 estrogen 조절 유전자들의 과발현이 특징적이며, estrogen 노출이 주요 위험 요인

• Estrogen에 의해 progesterone이 촉진됨으로 progesterone receptor 또한 양성임

• ER 양성 유방암의 전구 병변은 다음과 같다: flat epithelial atypia → atypical ductal/lobular hyperplasia → invasive carcinoma

- 이때 작용하는 driver mutation은 chromosome 1q의 증폭, 16q 소실, 그리고 PIK3CA 변이

• Luminal 유방암은 조직학적 등급과 proliferation에 따라 두가지 아형으로 나뉨:

- Luminal A: 낮은 성장 지수와 비교적 완만한 임상 경과를 보임

- Luminal B: 침습적이고 고등급이며, proliferation 관련 유전자들의 과발현이 특징적

• 조기 유방촬영으로 발견되는 유방암은 대개 유방에 국한된 luminal type이며, 항에스트로겐 치료에 잘 반응하며 재발률이 낮고 예후가 좋음

(2) HER2-발현형(HER2-enriched): HER2-positive

• 전체 유방암의 20%를 차지

HER2는 17q에 위치하는 receptor tyrosine kinase의 유전자로, RAS와 PI3K-AKT 신호전달 경로를 통해 세포 증식을 촉진하고 사멸을 방지

HER2 양성 유방암은 과거에는 예우가 나빴지만, 현재는 표적 치료 덕분에 절반 이상의 화자에서 완전 관해가 가능함

- 대표적 표적 치료제로는 HER2 수용체에 대한 monoclonal antibody인 trastuzumab (Herceptin)이 있음

(3) 삼중음성형(triple negative breast cancer, TNBC): ER-negative, HER2-negative

• 전체 유방암의 15%를 차지

• 기저양(basal-like)으로 불리기도 하는데 이는 해당 유형의 유전자 발현 양상이 유방의 기저부에 위치한 근상피세포(myoepitheali cell)와 유사하기 때문

• BRCA1 돌연변이와의 연관성이 높고 이에 따른 유전체 불안전성이 뚜렷하게 나타남

내장 및 전이가 흔하고 예후가 가장 불량함; 특히 triple-negative이기에 사용 가능한 표적 치료제가 제한적

Robbins and Cotran Pathologic Basis of Disease, 10e, pg 1048

3. 양성 유방 종양

(1) 섬유샘종 (fibroadenoma)

• 여성에서 가장 흔한 양성 유방 종양

- 20~30대 여성에게 발생

- 양측성 및 다발성인 경우 많음

- 호르몬에 대한 반응성이 높음; 임신 중 크기 증가, 폐경 이후 위축

• 2/3에서 MED12 변이 보유

• 형태학적으로는 정상 조직과의 경계가 명확한 탄탄한 회백적 결절로 관찰됨

조직학적 소견으로는 혼재된 상피와 섬유기질이 관찰됨

- pericanalicular type: 상피가 stroma에 둘러싸임

- intracanalicular type: 상피가 stroma에 눌림

• 고령 여성에서는 stroma가 유리화되고 상피가 위축됨

Fibroadenoma, Wikipedia Commons

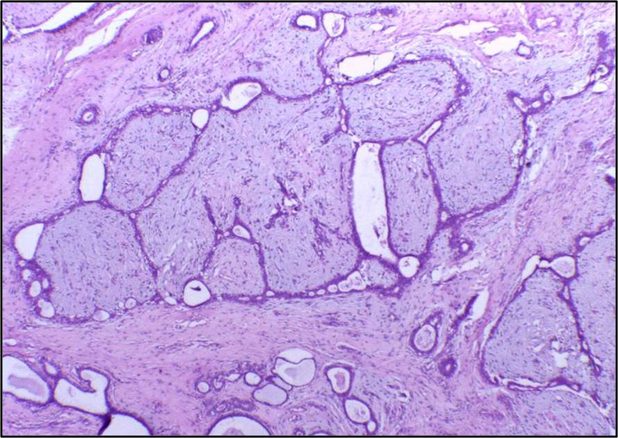
(2) 엽상종양 (phyllodes tumor)

• Intralobular stroma에서 발생하는 유방의 드문 섬유상피성 종양

- 주로 50-60대 여성에서 발생

Fibroadenoma와 유사하지만 보다 크고 성장 속도가 빠름

• 대부분 MED12 유전자 돌연변이 보유; TERT 같은 기타 유저자 변화 있는 경우 악성 가능성이 더 높음

• 촉진 시 고무 같이 단단하고 경계가 잘 구분됨

상피로 감싸진 기질이 잎 모양으로 증식함

Fibroadenoma보다 cellularity가 높고 low-grade atypia가 관찰됨

Phyllodes tumor, Wikipedia Commons

(3) 관내유두종 (intraductal papilloma)

• 유관 내에 발생하는 양성 상피-섬유성 병변

유두 분비물, 특히 혈성 분비물이 흔히 관찰됨

Fibrovascular core을 중심으로 luminal epithelial cell과 myoepitheli cell이 유두 모양으로 증식해 유관 내강을 채움

Intradcutal papilloma, Wikipedia Commons

4. 악성 유방 종양

• 유방암의 거의 대부분은 선암(adenocarcinoma)로 분류됨

유방의 terminal ductal lobular unit (TDLU)에서 기원

• 유방암은 크게 ductal과 lobular로 분류되며, 더 나아가 각각은 in situ와 invasive로 분류됨

- in situ는 악성 상피세포들이 기저막을 넘지 않고 혈관이나 림프관으로 침투할 수 없어 원격 전이가 불가한 상태를 의미함

- 반대로 invasive carcinoma는 암세포가 기저막을 뚫고 주변 조직으로 참범하거나 전이한 상태를 의미함

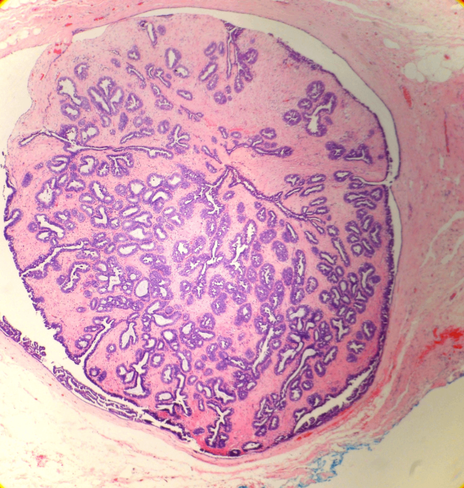
(1) 제자리관암종(ductal carcinoma in situ, DCIS)

• 유관 및 소엽 내에 기적막을 침범하지 않은 상피세포의 증식

• 유관계를 따라 퍼져 넓은 영역의 병변을 형성할 수 있음

거의 대부분은 유방촬영술로 진단 가능; 분비물이나 괴사에 의한 석회화가 발견 단서

• Paget disease를 유발할 수 있음

• DCIS는 다양한 조직학적 형태를 가짐:

① Comedo DCIS

- 선형 또는 분지형의 석회화

- plelomorphic, high-grade nucleus

- 중심부의 괴사

② Cribiform DCIS

- cookie-cutter-like 공간을 형성

- 중심부의 석회화

③ Micropapillary DCIS

- fibrovascular core가 없는 유사 유두의 증식 패턴

④ Papillary DCIS

- fibrovascular core를 가지는 진성 유두 구조

- myoepithelial cell이 결여됨

A: 유관 구조의 석회화; C: Cribriform DCIS; D: Micropapillary DCIS

Robbins and Cotran Pathologic Basis of Disease, 10e, pg 1054

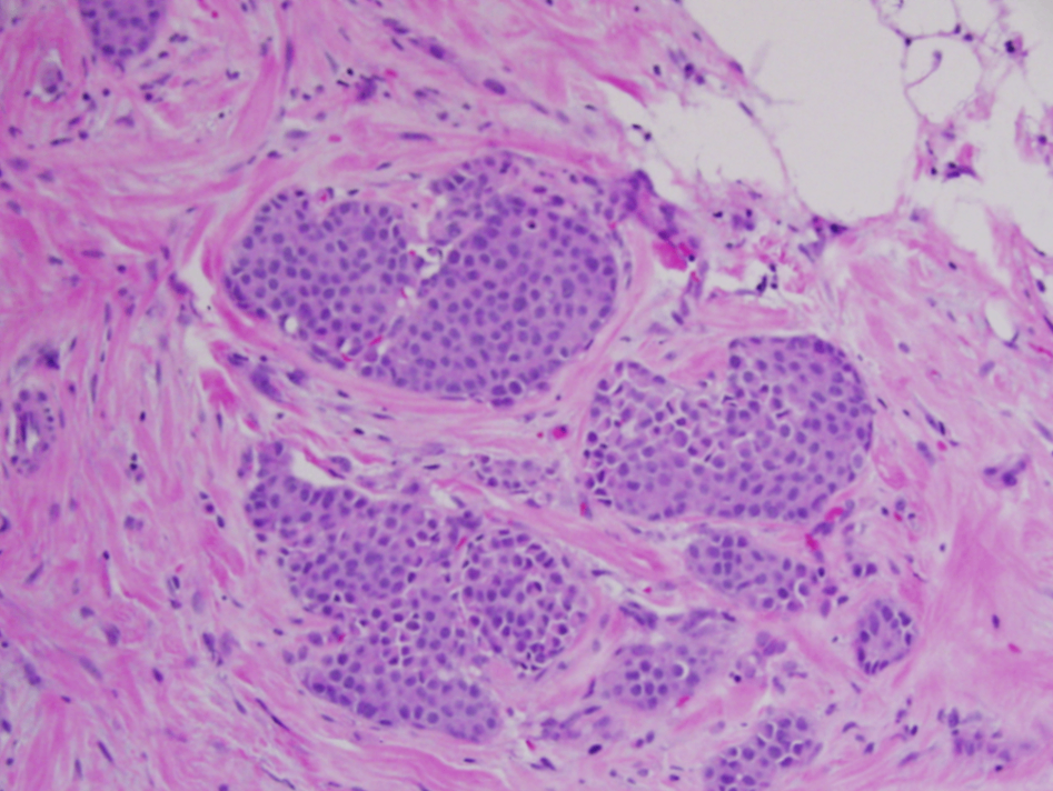
(2) 제자리소엽암종(lobular carcinoma in situ)

유관과 소엽 내에서 종양 세포들이 dyscohesive한 형태로 증식

- E-cadherin 결손: 세포 간 결합의 상실

• 석회화나 기질 반응과 같은 변화가 없어 일반적으로 유방 촬영에서 뚜렷한 병변이 관찰되지 않음 → 거의 대부분 조직검사에서 우연히 발견됨

• 조직학적 소견으로는 타원형 또는 원형의 핵과 작은 핵소체를 가진 균일한 세포군이 관찰됨. 이외로도 mucin-positive signet cell이 관찰됨

- 괴사 및 분비물, 그리고 석회화가 없음

Lobular carcinoma in situ, Wikipedia Commons

(3) 침습관암종(invasive ductal carcinoma), 침습소엽암종(invasive lobular carcinoma)

• DCIS, LCIS가 진행해 기저막을 뚫고 주변 조직을 침범하면서 발생

• Nottingham Histologic Score에 의해 평가

- 평가 요소: tubule formation, nuclear pleomorphism, mitotic rate

Invasive ductal carcinoma, Wikipedia Commons

Reference: Robbins and Cotran, Pathologic Basis of Disease, 10e