자궁의 질환

자궁의 질환

1. 자궁내막 질환

(1) 자궁내막증식 (endometrial hyperplasia) → 자궁내막선암 (endometrioid endometrial carcinoma)

① 자궁내막증식

자궁내막의 선조직이 비정상적으로 증식하면서 gland-to-stroma ratio가 증가한 상태

부정출혈의 주된 원인

Estrogen에 의한 자극이 주원인; 관련된 요인들은 다음과 같음:

- 비만 (estrogen의 말초 전환의 증가)

- 폐경기

- 다낭성 난소 증후군

- 호르몬 치료

• PTEN 유전자 돌연변이가 약 20%에서 발생; 해당 유전자는 PI3K/AKT 경로의 lipid phosphatase의 유전자로 growth-regulatory pathway에 관여함

- PTEN 돌연변이는 자궁내막 암종 발생 과정의 초기에 일어나며 자궁내막증식이 자궁내막선암의 전구 병변임을 시사함

• 분류:

- typical hyerplasia: 선조직의 밀집된 증식과 낭성 팽창을 관찰할 수 있지만 세포의 이형성은 없음

- atypical hyperplasia (=endometrial intraepithelial neoplasia): 세포 핵의 모양이나 크기, 배열이 비정상적이며 불규칙적임; 선조직 또한 기저막에 대해 수직으로 배열되지 않고 뒤틀리고 복잡한 윤곽을 가짐

atypical hyperplasia가 자궁내막선암의 위험 증가와 높은 관련성을 보임

Atypical endometrial hyperplasia, Wikipedia Commons

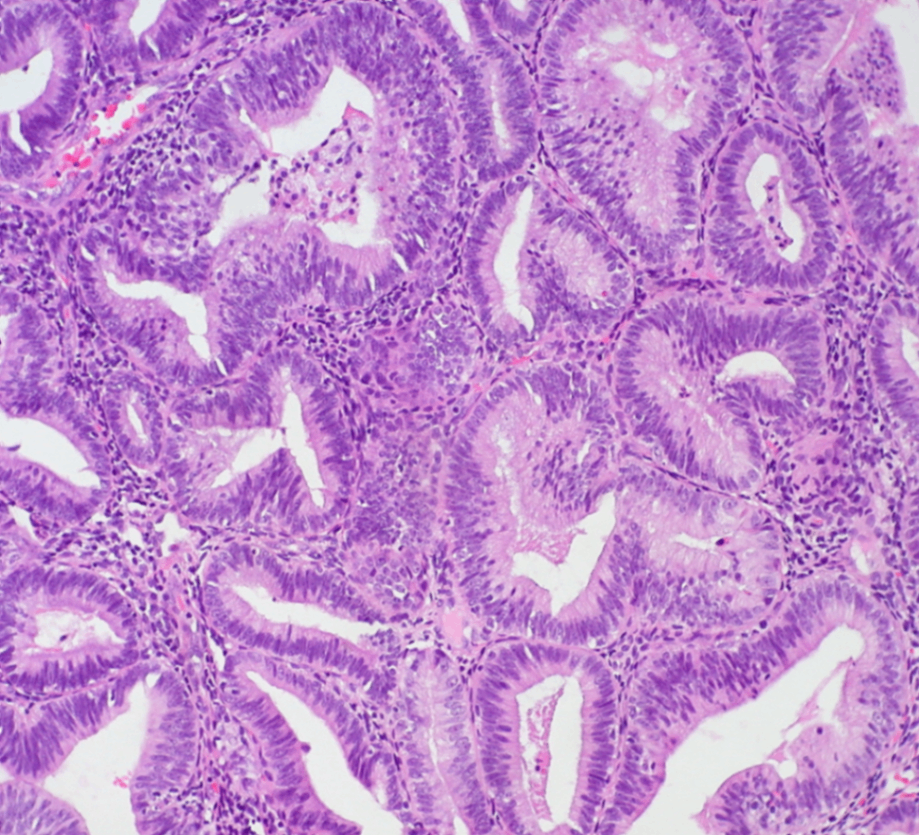
② 자궁내막선암

• 자궁에 발생하는 암 중 가장 흔한 유형 (80-85%)

• 자궁내막증식에서 진행됨

• 다름 암들과 마찬가지로, 자궁내막선암의 발병은 단계적인 유전자 변이 축적에 기인함. 특히 PI3K/AKT 경로의 유전자 변이들이 중요한 역할을 수행

Robbins and Cotran Pathologic Basis of Disease, 10e, pg 1009

• 등급이 높아질수록 선조직의 형태가 없어지고 solid growth pattern과 squamous differentiation을 보임
Endometrioid endometrial carcinoma, Wikipedia Commons

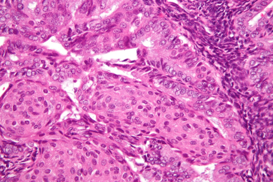
(2) 장액샘종 (serous endometrial carcinoma)

• 고등급 자궁내막암에 속하며 악성도가 높고 예후가 나쁨

• 위축성 자궁내막이 위험요인 → 폐경 여성에서 발생

• p53 유전자 돌연변이와 높은 연관성을 보임

• 조직학적 특성:

- 상피성 세포(serous cell)가 자궁내막에서 증식

- 구성 세포는 다양한 형태를 가지며 핵이 비정상적으로 크고 불규칙함

- 세포가 고밀도로 배열되며, 거품처럼 보이는 세포질을 가짐

• 자궁내막을 넘어 자궁 근층이나 인접한 조직으로 침습할 수 있음

Serous endometrial carcinoma, Wikipedia Commons

(3) 자궁내막증 (endometriosis)

자궁내막 조직이 자궁 외부에서 자라는 상태

월경 주기에 따라 출혈을 유발함. 이는 주변 조직에 염증을 일으켜 섬유화를 유발하며 통증과 불임 등의 증상을 초래함

• 복막과 난소의 자궁내막증은 암의 전구체가 될 수 있음 (= atypical endometriosis)

• 난소에 발생하는 경우 축적된 출혈로 인해 3-5 cm의 갈색 낭종이 생기며 육안적 소견을 따서 chocolate cyst라고 부름

Endometriosis of the ovary, Wikipedia Commons

2. 자궁근층의 종양

(1) 평활근종 (Leiomyoma)

자궁근종(fibroid)으로 불리며 가임기 여성에서 가장 흔한 양성 자궁 종양

평활근 세포 다발로 구성된 양성 종양; Atypia는 거의 없고 mitotic index 또한 낮다

• 초음파에서 잘 보이는 종괴로, 크기와 위치에 따라 증상이 다양함

• 대부분 무증상이나, 경우에 따라 과다출혈, 생리통, 방광 압박으로 인한 빈뇨, 불임, 유산 등을 유발

• 평활근육종으로의 진행은 흔치 않음

Leiomyoma, Wikipedia Commons

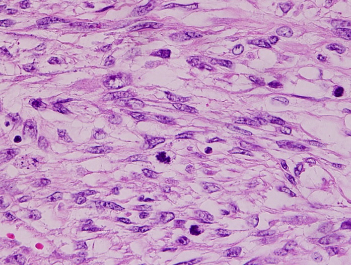
(2) 평활근육종 (Leiomyosarcoma)

Myometrium이나 endometrial stroma의 precursor cell에서 기원하는 악성 종양

• 자궁벽을 침범하거나 자궁 내강으로 돌출

High-grade atypia, high mitotic index, 그리고 종양 괴사 및 출혈이 관찰됨

• 재발률 및 전이율 높음

Histopathology of leiomyosarcoma, Wikipedia Commons

3. 자궁경부암

(1) Human papillomavirus (HPV)

① 개요

High-risk HPV는 자궁경부암의 가장 주된 원인

- 현재까지 15종의 고위험군이 확인됨

- 그 중 HPV-16은 전체 자궁경부암의 60%, HPV-18은 10%에서 발견됨

- 자궁경부 외로도 질, 외음부, 음경, 항문, 편도 및 인두의 편평세포암을 유발함

• Low-risk HPV는 외음부, 회음부 그리고 항문 주위에 발생하는 사마귀(=condyloma acuminatum)의 원인균

② 감연기전

• HPV는 보통 미성숙한 기저 상피세포를 감염함

따라서 감염되기 쉬운 위치는 상피 손상 및 재생 부위, 그리고 자궁경부의 squanmocolumnar junction에 존재하는 metaplastic squamous cell

③ 발암기전

E7 단밸질

- RB 단백질(=세포 주기를 억제하는 종양 억제 단백질)의 저인산화 상태(active form)에 결합 → RB 분해 유도 → E2F 전산인자 활성화 → G1에서 S기로의 진행 촉진

- cyclin-dependent kinase inhibitor인 p21, p27을 억제 → 세포 주기 조절 소실

→ 결과적으로 세포 주기 조절 능력 + DNA 복구 기능 소실

E6 단백질

- p53에 결합해 분해 유도 → DNA 손상에 대한 반응 저하 → 유전적 불안정성 증가

- 추가적으로 telomerase 발현 증가시켜 세포 불사화(immortalization) 유도

(2) 자궁경부암 전구병변의 분류

Dysplasia/Carcinoma in situ

Cervical Intraepithelial Neoplasia (CIN)

Squamous Intraepithelial Lesions (SIL)

Mild dysplasia

CIN I

Low-grade SIL (LSIL, 저등급편평상피병터)

Moderate dysplasia

CIN II

High-grade SIL (HSIL, 고등급편평상피병터)

Severe dysplasia

CIN III

HSIL

Carcinoma in situ

CIN III

HSIL

• SIL의 판별 기준:

- LSIL: 미성숙 편평상피세포가 기저막에서 하부1 /3까지만 확장

- HSIL: 미성숙 편평상피세포가 상피층 2/3 이상까지 확장

• LSIL은 활발한 HPV 복제가 이루어지는 생산성 감염 상태

- 숙주 세포의 성장 조절에는 경미한 이상만 존재

- 대개 자연적으로 소멸되며 10%의 경우에서만 HSIL로 진행; 최종적으로 암으로의 진행 위험이 낮음

• HSIL은 HPV에 의해 세포 주기의 조절이 점진적으로 붕괴되는 상태

- 숙주 세포의 세포 주기 조절 기능이 억제되며 불가역적인 변화가 생김; 동시에 HPV 복제는 감소함

- 자궁경부암으로 발전할 수 있는 전암성 병변

조직학적 특징으로는 koilocytic atypia가 관찰됨: nuclear hyperchromaia, 핵 비대, perinuclear halo

Robbins and Cotran Pathologic Basis of Disease, 10e, pg 998

(3) 자궁경부암 (cervical carcinoma)

• 악성 편평상피세포로 구성되며 자궁경부의 기질을 침습

Reference: Robbins and Cotran, Pathologic Basis of Disease, 10e

생식기 질환 & 여성질환

유방종양

생식기 질환 & 여성질환

난소상피의 종양