임신영양막병

임신영양막병 (Gestational trophoblastic disease)

태반을 구성하는 영양모세의 비정상적인 증식으로 인해 발생하는 질환

• 보통 임신 9주차에 초음파로 초기 발견

- 눈보라(snowstorm) 소견

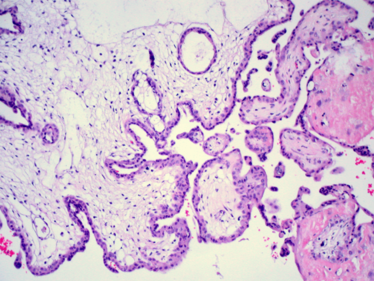
1. 완전포기상태 (complete hydatidiform mole)

핵이 없는 난자가 하나 또는 두개의 정자에 의해 수정 → 모든 유전자 부계

- 부계 유전자가 자가 복제해 보통 46, XX의 karyotype 지님

• 침윤기태로 진행할 확률은 15%, 융모막암으로 진행할 확률은 2.5%

• hCG 수치가 매우 높음

• 육안적으로 마치 포도송이처럼 보임

• 조직학적 형태:

- 전체적으로 edematous (=hydropic swelling), cystic, proliferative 용모막 융모

- 태아 조직 없음

Complete hydatidiform mole, Wikimedia Commons

Complete hydatidiform mole, Wikimedia Commons

2. 부분포기상태 (partial hydatidiform mole)

정상 난자가 2개의 정자에 의해 이중 수정되어 삼배체(triploid, e.g. 69 XXY) 형성

• 조직학적 형태:

- 일부는 정상, 일부는 낭포성 변화가 있는 융모

- 태아 구조가 일부 존재함

• 침윤이나 융모막암으로 진행한느 경우는 드묾

• hCG 수치는 증가하지만 완전 포기만큼 높지 않음

Partial hydatidiform mole, Wikimedia Commons

3. 침윤기태 (invasive hydatidiform mole)

포기상태가 자궁근충까지 침윤

혈관 침범 및 전이 가능 (폐, 뇌 등)

• 질출혈 및 자궁 비대가 나타남

• 소파술로 포기상태 제거 후에도 지속적으로 높은 hCG 수치

Invasive hydatidiform mole, Wikimedia Commons

4. 융모막암 (choriocarcinoma)

융모막세포(trophoblast)의 악성화

• 50%는 완전포기상태, 25%는 낙태, 22%는 정상 임신, 그리고 3%는 ectopic pregnancy에서 유래됨

• 매우 높은 hCG 수치

폐, 뇌, 간 등으로 조기 전이

• 화학요법에 잘 반응하며, 완치율이 높음 (>90%)

• 조직학적 형태:

- 비정삭적으로 증식하는 syncytiotrohpoblast & cytotorophoblast

- 정상적인 융모 구조 상실

- 광범위한 괴사와 출혈

Choriocarcinoma, Wikimedia Commons

5. 태반부착부 영약막종양 (placental site trophoblastic tumor)

외융모막 영양막세포(extravillous trophoblast; intermediate trophoblast)의 비정상적 증식

• hCG 수치는 경미하게 상승하거나 정상일 수 있음

human Placental Lactogen (hPL) 수치 상승이 특징적

• 비교적 드물지만 진단이 늦을 경우 치명적일 수 있어 hPL, hCG 수치의 주의 깊은 모니터링이 필요

Reference: Robbins and Cotran, Pathologic Basis of Disease, 10e

생식기 질환 & 여성질환

난소상피의 종양

생식기 질환 & 여성질환

생식세포종양