호산구 (Eosinophil)
이론과 하이라이트 히스토리를 확인 할 수 있어요.
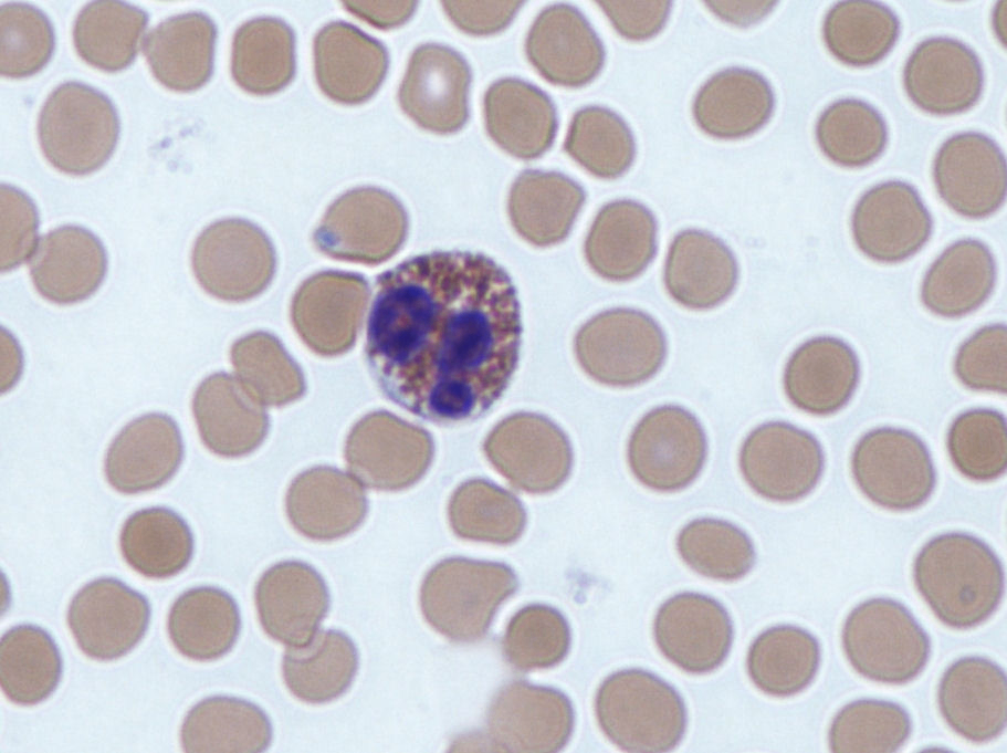
File:Eosinophil 2.jpg - Wikimedia Commons
1. 개요
1) 백혈구의 한 종류로, 기생충 감염, 알레르기 반응, 그리고 염증 조절에 중요한 역할을 하는 과립세포(granulocyte).
2) 혈액 내 백혈구 중 약 1~4%를 차지한다.
2. 형태
항목 | 특징 |
|---|---|
핵 | 2개 엽(bilobed nucleus) |
과립 | 크고 선명한 호산성 과립 (eosin으로 붉게 염색) |
세포 크기 | 대략 12–17μm |
3. 역할
기능 | 설명 |
|---|---|
기생충 방어 | 주로 장내 선충류(예: 회충, 편충 등)에 대한 방어 |
알레르기 반응 | 천식, 알레르기성 비염 등에서 염증 반응 매개 |
염증 조절 | 사이토카인, 화학매개물질 분비를 통해 염증 반응 조절 |
조직 손상 유발 가능 | 과도한 활성화 시 조직 손상 (예: 천식 악화) |
기생충 감염 중에서도 특히 tissue-resident 연충류 감염에 대해 강하게 반응한다.
4. 증가하는 경우: 호산구증가증 (Eosinophilia)
1) 기생충 감염 (특히 조직 침범형 선충류)
2) 알레르기 질환 (천식, 아토피피부염, 알레르기성 비염)
3) 약물 반응 (Drug hypersensitivity)
4) 일부 자가면역질환 및 악성종양 (예: 호산구성 육아종증)