생식세포종양

이론과 하이라이트 히스토리를 확인 할 수 있어요.

생식세포종양 (Germ cell tumor)

Robbins and Cotran Pathologic Basis of Disease, 10e, pg 1023

• 생식세포종양은 polypeptide hormone과 효소를 분비하며 이는 환자의 말초 혈액에서 검출됨

• 여기에는 hCG, AFP, lactate hydrogenase 등이 포홤되며, 종양의 진단 및 치료에 있어 유용한 biomarker로 활용됨

1. Dysgerminoma (여성), Seminoma (남성)

① 난소고환종 (Dysgerminoma)

1) 개요

• 고환 종양인 seminoma에 대응하는 난소의 생식세포 종양

2) 특징

• 전체 난소 종양의 2%, 여성 생식세포 기원의 악성 종양의 50% 차지

• 주로 10-30대 여성에서 발생

3) 조직학적 특징

• 연한 노란색/회백색의 일측성 종괴

다면형 세포, 크고 투명한 세포질, 세포간의 뚜렷한 경계, stroma에 침윤한 lymphocyte

OCT3/4, NANOG, KIT 발현

Dysgerminoma, Wikimedia Commons

② 고환종 (Seminoma)

1) 개요

• 전체 남성 GCT의 50%를 차지

• 주로 40대에 호발

2) 조직학적 소견

• 세포들은 얇은 섬유성 격막에 의한 구분된 균일한 sheet를 형성

• 림프구 침윤이 동반되며 일부 경우 육아종 형성도 보임

고전적 seminoma 세포는 다면체이며 clear or watery-appearing 세포질을 지님

3) 면역조직화학적 특징:

• 양성: KIT, OCT3/4, Podoplanin

• 음성: cytokeratin

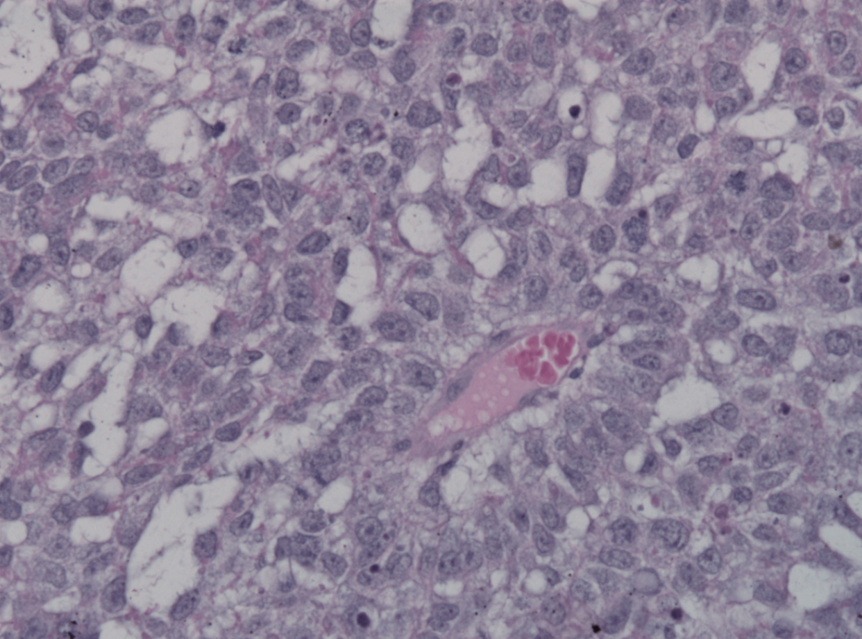
2. 난황낭종양 (yolk sac tumor = endodermal sinus tumor)

1) 개요

• 여성에서는 두번째로 흔한 난소의 악성 생식세포 종양

- 주로 아동 및 젊은 여성에서 발병

• 남성에서는 3살 이하의 아동에서 가장 흔하게 발생하는 고환 종양

배외배엽의 난황을 형성하는 생식세포의 악성 변형에서 기원

2) 병리학적 특징

a-fetoprotein (aFP) 생성

대표적인 소견으로 Schiller-Duval body가 관찰됨; 이는 중심부의 혈관을 종양세포가 둘러싸 사구체와 유사한 모습을 지님

세포 내 hyaline droplet이 관찰되며 aFP에 대해 양성
Yolk sac tumor, Wikimedia Commons

3. 비임신성 융모막암종 (Non-gestational choriocarcinoma)

1) 개요

• 임신성(gestational)과 구별되는 비임신성 기원 (기종평 병리학 '임심영약막병' 이론 참고)

• 남성에서도 생길 수 있지만 극히 드묾

2) 조직학적 특징

• 태반의 정상적인 구조 없이 고도로 비정형적인 융모막세포의 증식

• 괴사와 출혈이 광범위하게 관찰됨

3) 임상적 특징

hCG 수치가 매우 높음

• 혈행 전이를 잘 일으키며 폐, 간, 뇌 등에 퍼짐

임신성과 다르게 비임신성 융모막암종은 화확요법에 불응하고 매우 예후가 불량

4. Teratoma

외배엽, 중배엽, 내배엽 등 둘 이상의 배엽에서 유래한 세포 또는 기관 형태를 포함하는 생식세포 종양

• 순수 기형종은 영아와 소아에서 비교적 흔하게 나타나지만 성인에서는 드물며 대부분은 다른 GCT (eg. emrbyonal carcinoa, seminoma)와 혼합되어 발견됨 (=mixed type)

① 성숙 기형종 (mature teratoma)

• 대부분 양성, 흔히 "피낭종 (dermoid cyst)"이라고 불림

피부, 모발, 지방, 치아, 연골, 갑상선 등의 성숙 조직이 ectopic한 위치에서 발견

• 가임기 여성에서 가장 흔함

Mature Cystic Teratoma of the Ovary, Ed Uthman, Flickr

② 미성숙 기형종 (immature teratoma)

미성숙 신경외배엽 조직 포함

• 주로 사춘기 청소년, 젊은 여성에서 발생

• 조직학적 등급으로 예후 결정

• 악성, 빠르게 성장하고 전이 가능

Immature teratoma, Wikimedia Commons

Reference: Robbins and Cotran, Pathologic Basis of Disease, 10e