전립선암

이론과 하이라이트 히스토리를 확인 할 수 있어요.

전립선암 (Prostate Cancer)

1. 개요

• 전체 남성암의 20%를 차지

• 주로 고령자(60대 이후)에서 발병

초기에는 대부분 무증상이지만 진행하면 배뇨 곤란, 혈뇨, 요통 등이 나타날 수 있음

• 골 전이 시 척추 통증 동반

대부분 선암 (adenocarcinoma)

2. 발생 기전

• 환경적 요인: 고지방 식이, 육류 섭취로 인해 polycyclic aromatic hydrocarbons에 대한 노출 증가

- GTSP1 유전자 (발암물질 해독효소) hypermethylation → 기능 소실 → 발암 촉진

- 서구화된 식습관이 주된 위험요소

• 유전적 요인: BRCA2 변이, HOXB13 변이, MYC 과발현

남성호르몬: 전립선의 안드로겐 수용체에 결합하여 세포 성장 및 생존을 촉진하는 유전자의 발현을 유도

전립선암의 가장 흔한 driver mutation은 ETS 계열 전사인자 (주로 ERG, ETV1)와 androgen-dependent TMPRSS2 promoter의 재배열

- TMPRSS2-ERG fusion → 안드로겐 신호에 의해 ETS 유전자 과발현

- 이외로도 p27 소실

- 후기 질병에서는 TP53, RB 유전자 돌연변이 또한 발생

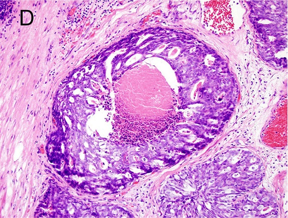
5. 병리학적 특징

• 전립선의 peripheral zone, 특히 posterior aspect에 흔히 발병

• 조직학적 특징:

- 밀집된 악성 샘 구조물

- perinueral invasion이 자주 관찰됨

Micrograph of prostate cancer with Gleason score 9 (4+5) with cribriform glands, some with necrosis, Wikimedia Commons

6. 분화 등급 (Gleason Score)

• 암의 분화도에 따라 1-5점으로 채점 (높을수록 악성)

• 가장 흔한 cell pattern을 앞, 두번째로 흔한 pattern을 뒤 숫자로 쓴 후 점수의 합으로 최종 악성도를 매긴다. 예시로, 10(5+5)는 대부분의 세포가 가장 높은 악성도를 지녔다는 것이고, 같은 점수여도 7(4+3)은 7(3+4)보다 예후가 좋지 않다.

Gleason 점수를 이용한 전립선암의 등급 분류는 병리학적 병기와 밀접한 연관이 있으며 강력한 예후 예측 인자로 작용함

Robbins and Cotran Pathologic Basis of Disease, 10e, pg 981

7. 진단

Prostate-Specific Antigen (PSA): 높을수록 전립선암 가능성 증가

- 그러나 benign prostate hyperplasia (BPH)에서도 PSA 증가 가능 → 민감도, 특이도 떨어짐 → PSA 상승만으로는 암을 확진할 수 없음

확전은 반드시 조직검사를 통해 이뤄짐

- a-methylacyl CoA racemase (AMACR): 전립선암에서 양성

- 정상 전립섬은 basal cell marker (p63, 등) 양성, 암은 음성

PSA는 치료 후 monitoring 및 재발 감시 목적으로 유용

Reference: Robbins and Cotran, Pathologic Basis of Disease, 10e