폐암

이론과 하이라이트 히스토리를 확인 할 수 있어요.

폐암

1. 선암(adenocarcinoma)

1) 개요

가장 흔한 폐암

• 특히 비흡연자 + 여성에서 발생하는 가장 흔한 폐암

- 흡연과 연관성을 보이지만 다른 유형의 폐암만큼은 아님

페의 말초부에 주로 위치

2) 병리학적 특징

Thyroid transcription factor-1 (TTF-1), napsin A 양성

• 전구병변:

- atypical adenomatous hyperplasia

- adenocarcinoma in situ: ≤ 3cm, 침윤 없는 상태; 폐포벽을 따라 성장

- microinvasive adenocarcinoma: 소량의 침윤 (< 5mm)

• 조직학적 특징

- 비정상적인 샘조직이 lepidic, papillary, micropapillary, 또는 solid 형태로 증식

- mucin-producing subtype 또한 존재

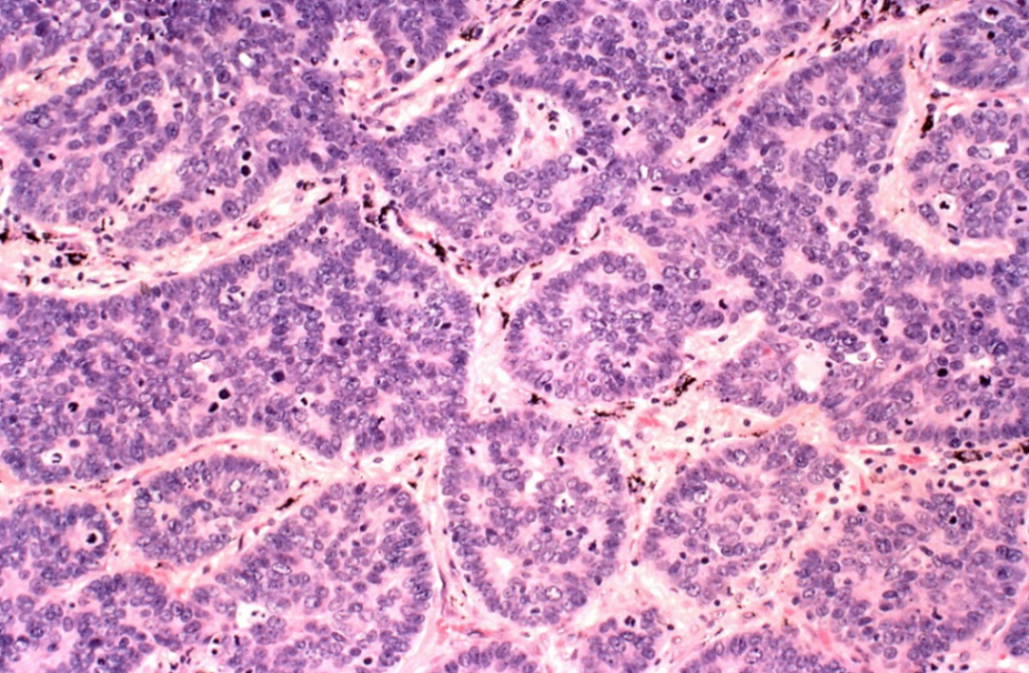
Papillary adenocarcinoma of the lung, Wikimedia Commons

Mucinous adenocarcinoma of the lung, Wikimedia Commons

• 유전자 변이:

- EGFR (10-15%, 특히 비흡연 아시아 여성)

- ALK, ROS1, RET rearrangements (2-5%)

- KRAS 변이 (30%, 서양인 흡연자에서 흔함)

3) 진행양상

• 초기에는 주로 말초 결절

• 점차 다발성 결절, 위성 병변(satelite lesions) 형성 가능

• 진행 후에는 혈행전이가 흔함

2. 편평세포암 (Squamous cell carcinoma)

1) 개요

• 흡연 과거력과 강한 연관성을 보임

주로 중심부(bronchus 근처)에서 발생

2) 병리학적 특징

흡연에 의한 반복적인 점막의 손상 → 편평상피화생 (squamous metaplasia) → 이형성 (dysplasia) → carcinoma in situ → 침습성 암

• 조직학적 특징:

- keratinization & keratin pearls

- intercellular bridges

- 종종 괴사와 공동(cavity) 동반

Lung squamous cell carcinoma, Wikimedia Commons

• 유전자 변이:

- CDKN2A (p16) 소실

- FGFR1 증폭

면역화학염색: p40, p63(+)

3) 임상양상

• 기관지 내강을 막아 atelectasis 유발 가능

• 말기에는 주변 조직 (종격동, 흉막 등) 침범

3. 소세포암 (Small cell carcinoma)

1) 개요

• 신경내분비암종

• 폐암 유형 중 흡연과 가장 높은 연관성을 보임; 비흡연자에게는 매우 드물게 발생

주로 중심부 (central airway)에 발생

2) 병리학적 특징

• 매우 공격적이며 전신 전이가 빠름; 진단 시점에 거의 항상 전이 존재

• 조직학적 특징

- 작은 크기의 세포

- salt-and-pepper chromatin, nuclear molding

- scant cytoplasm

- 광범위한 괴사

- electron microscopy 상 dense-core neurosecretory granules 관찰 가능

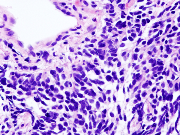
Lung small cell carcinoa by core needle biopsy, Wikimedia Commons

면역화학염색: chromogranin, synaptophysin, CD56 (+)

• 유전자 변이:

- TP53, RB1 inactivation

- MYC family 증폭

3) 임상양상

ACTH (Cushing syndrome), ADH (SIADH)와 같은 호르몬을 분비해 paraneoplastic syndrome 자주 동반

• 방사선 및 화학요법에 초기 반응 좋지만 재발 시 예후 매우 불량

4. 대세포암(Large cell carcinoma)

1) 개요

선암, 편평세포암, 소세포암의 정의를 충족시키지 않는 미분화된 암

2) 병리학적 특징

큰 핵과 뚜렷한 핵소체의 큰 세포들로 구성

TTF-1, p40 등 다른 폐암 표지자 음성

Large cell carcinoma, Wikimedia Commons

3) 임상양상

• 매우 공격적

• 크고 주변 정상 조직과의 경계가 불명확한 종괴

5. 악성중피종 (Malignant mesothelioma)

1) 개요

석면(asbestos) 노출과 강하게 연관됨 암

- 석면 노출 후 잠복기 25-45년

• 흡연 자체로 mesothelioma의 위험이 증가하지는 않지만, 석면 + 흡연은 위험을 크게 증가시킴

2) 유전적 변이

• 9p의 CDKN2A 유전자의 결실 (80%)

3) 병리학적 특징

Visceral 또는 parietal pleura에서 기원해 흉막강을 광범위하게 침윤

흉막 삼출 및 폐 주변 조직 침범 동반

조직학적 소견으로는 epithelioid-type 암세포가 tubular 또는 papillary 형태로 증식해 마치 선암과 유사한 형태를 지님

면역화학염색: keratin proteins, calretinin, Wilms tumor I (WT-I) cytokerain 5/6, podoplanin (+)

Malignant epithelioid mesothelioma, Wikimedia Commons

Small cell lung carcinoma (SCLC)

- Neuroendocrine marker (+) (ex. chromogranin, synaptophysin)

- CD56(+)

Non-small cell lung carcinoma (NSCLC)

Adenocarcinoma (선암)

- TTF-1 (+)

- Napsin A (+)

Squamous cell carcinoma (편평세포암)

- P63 / P40 (+)

Large cell carcinoma (대세포암)

- 배제진단

- TTF-1 (-), P40(-)

Reference: Robbins and Cotran, Pathologic Basis of Disease, 10e