위암

이론과 하이라이트 히스토리를 확인 할 수 있어요.

위암

1. 위선암 (Gastric adenocarcinoma)

• 위에서 발생하는 암의 90%는 선암

1) 병리학적 분류

위 선암은 두가지 주요 형태로 나뉜다:

① Intestinal type (장형)

궤양을 동반하는 bulky, exophytic mass를 주로 형성

샘 구조로 증식함; 암세포는 다량의 apical mucin vacuole을 지니며 종양 중심 또는 생감에 다량의 점액이 축적됨

② Diffuse type (미만형)

• 개별 세포 또는 소집단 형태로 위벽을 광범위하게 침윤; 샘 구조를 형성하지 않음

- 접착력 상실(E-cadherin 소실)로 인해 세포가 유착력을 잃고 discohesive한 형태로 넓게 퍼짐

• 암세포는 큰 점액 공포가 세포질을 밀어내며 signet-ring cell 모양을 이룸

• 침윤 부위에서 섬유반응(desmoplasia)을 유발하여 위벽이 단단해지고 두꺼워짐 → 병변이 광점위할 경우 rugae와 같음 점막의 주름을 소실하고 가죽과 같은 위벽을 형성하며 이를 linitis plastica라고 칭함

A: intestinal-type adenocarcinoma

B: infiltrative type (linitis plastica) gastric cancer

Robbins and Cotran Pathologic Basis of Disease, 10e, pg 775

A: intestinal-type adenocarcinoma

B: infiltrative type gastric cancer

Robbins and Cotran Pathologic Basis of Disease, 10e, pg 776

2) 분자 병인

① Intestinal type (장형)

• Wnt 신호 경로 활성화가 주된 분자 병인

- APC 종양억제유전자 소실

※ familial adenomatous polyposis (FAP, germline APC mutation) intestinal-type 위암 위험 증가

- β-catenin gain-of-function mutation

→ 결과적으로 세포 증식 및 생존 신호 증가

② Diffuse type (미만형)

• E-cadherin(CDH1) 유전자 기능 소실

- 세포 간 접착력 상실

- 세포 분극 및 구조 유지 기능 저하

→ 세포의 확산성과 침윤성을 증가시킴

3) 임상적 함의

• 장형은 H.pylori 감염, 위축성 위염 등과 같은 환경 요인과 연관

• 미만형은 유전적 요인의 영향이 강함

• 예후는 병기 및 병리형에 따라 다르며, 미만형이 일반적으로 더 예후 불량

4) 병기

위암의 병기 TNM 중 tumor, 즉 원발 종양 깊이가 가장 중요한 예후 인지임

• 위암 병기의 T stage (primary tumor의 depth of invasion)는 다음과 같이 분류된다:

T0

No evidence of primary tumor

Tis

Carcinoma-in-situ; intraepithelial tumor without invasion of lamina propria

T1

Tumor invades the lamina propria, the muscularis mucosa or the submucosa

T1a

Tumor invades the lamina propria or muscularis mucosa

T1b

Tumor invades the submucosa

T2

Tumor invades the muscularis propria layer

T3

Tumor invades the subserosa layer without invasion of the serosa and adjacent structures

T4

Tumor penetrates the serosa (visceral peritoneum) or adjacent structures

T4a

Tumor penetrates the serosa (visceral peritoneum)

T4b

Tumor invades adjacent structures

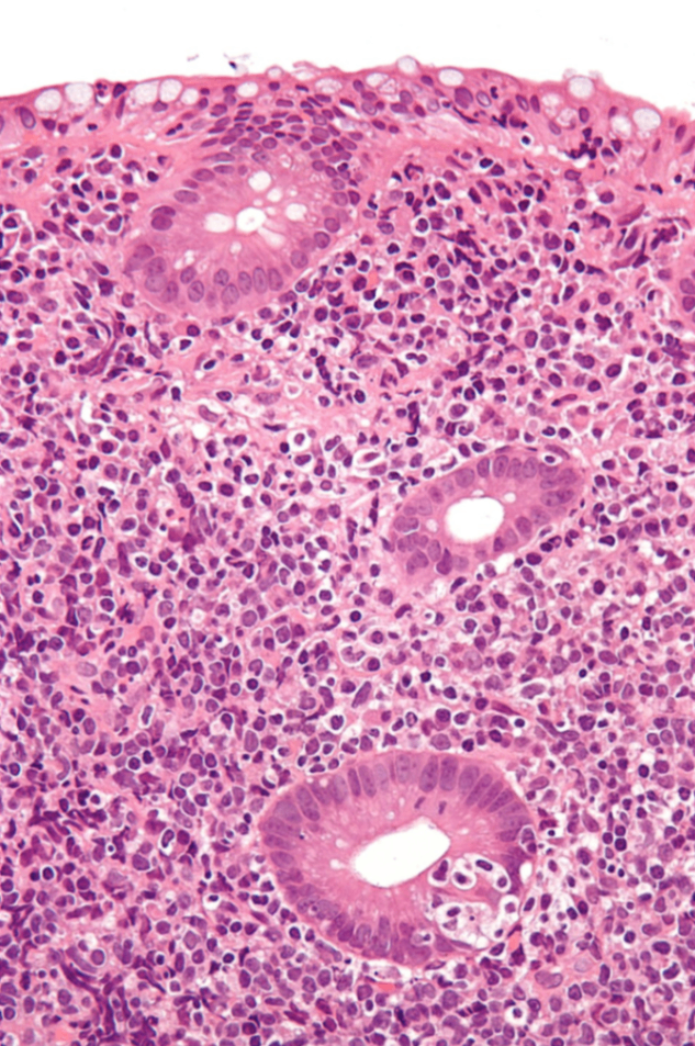
2. Extranodal marginal zone B-cell lymphoma of MALT type

1) 개요

MALToma는 extranodal marginal zone B-cell lymphoma의 일종으로, mucosa associated lymphoid tissue9(MALT)에서 유래하는 저등급 (non-Hodgkin) B세포 림프종

• Extranodal lymphoma는 어디서든 생길 수 있지만, 가장 흔한 부위는 소화기계, 특히 위이다

2) 병태생리

• 정상 위점막에서는 MALT가 없음

그러나 만성 위염, 특히 H.pylori 감염에 의해 MALT가 유도됨

• 이처럼 이소성 MALT가 형성된 부위에서 림프종이 발생

→ H.pylori는 위 MALToma의 가장 흔한 유발 요인

3) 병리학적 특징

• Lamina propria에 밀집된 B 림프구 침윤

Lymphoepithelial lesion 형성: 종양성 림프구가 위샘을 침윤하여 샘 구조를 파괴

• B cell secondary follicle가 종종 함께 존재

Gastrointestinal lymphoepithelial lesion, Wikimedia Commons

• 면역표현형: 성숙 B세포 기원이므로 CD19+, CD20+ (CD5, CD10는 보통 음성)

4) 임상적 특징

• 조기 병기에서는 비교적 느린 성장 속도와 양호한 예후

• 많은 경우 H.pylori 제균 치료만으로도 완전 관해 가능

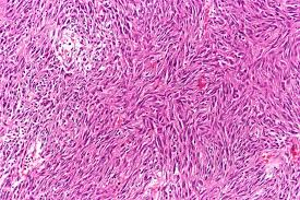
3. Gastrointestinal stromal tumor, GIST

• 위장관에서 발생하는 가장 흔한 mesenchymal 종양

1) 기원 및 분자병리

기원세포: interstitial cells of Cajal, 장의 자율 운동 조절을 담당하는 기질 내 pacemaker 세포

• 주요 유전자 이상:

- 약 75%는 receptor tyrosine kinase인 KIT (CD117)의 gain-of-function mutation 보유

- 일부는 KIT의 하위 경로의 signaling receptor인 PDGFRA 활성화 돌연변이 보유

2) 조직학적 소견

• 단일, 주변 조직과의 경계가 뚜렷한 종괴

• 대개 점막하층 또는 근육층에서 발생

• 세포 형태:

- spindle cell type: 가장 흔함

- epitheliod type도 존재

- 핵 다형성은 일반적으로 드묾

Gastrointestinal stromal tumor, Wikimedia Commons

3) 면역조직화학

KIT (CD117)가 가장 중요한 진단 마커: 90-95% 양성

Reference: Robbins and Cotran, Pathologic Basis of Disease, 10e