췌장염

이론과 하이라이트 히스토리를 확인 할 수 있어요.

췌장염 (pancreatitis)

1. 급성 췌장염 (acute pancreatitis)

췌장 효소의 자가소화(autodigestion)로 인한 급성 염증성 질환

• 가역적 손상이 특징

1) 원인

가장 흔한 2대 원인

- 담석증

- 과도한 음주

• 그 외 원인: 고중성지방혈증, 약물, 바이러스 감염 (Mumps 등), 수술/외상

2) 병태생리

• 췌장 효소(특히 trypsin)가 조기 활성화 → chymotrypsin, elastase, lipase 등의 연쇄적인 활성화 → 췌장 조직 자가소화 유발

• 세 가지 병리 기전: 췌관 폐쇄 → 직접적인 acinar 세포 손상 → 효소 활성화 및 자가소화

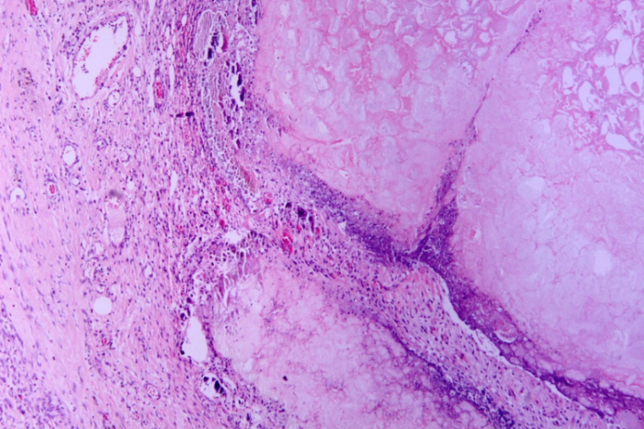
3) 조직학적 소견

지방 괴사 (fat necrosis)

- mesentery의 saponification: 췌장 주위 또는 장간막의 중성지방이 괴사되면서 유리된 지방산이 칼슘과 결합하여 chalky-white한 석회화 침착 형성

• 급성 염증세포 침윤

4) 임상 특징

급성 복통 (상복부, 등으로 방사), 구역, 구토

혈청 amylase, lipase 상승

• 심한 경우 쇼크, ARDS, DIC 등 전신 합병증

Tryptic fat tissue necrosis in severe pancreatitis, Wikimedia Commons

2. 만성 췌장염

췌장의 점진적 섬유화 및 비가역적인 구조/기능 손상을 특징으로 하는 염증성 질환

반복적인 염증 → 췌장 조직 파괴 및 섬유화 → 외분비 및 내분비 기능 점진석 손실

1) 조직학적 소견

• 광범위한 섬유화

• 췌선 구조의 소실, 잔존 acini와 ductal 구조

• 췌관 내 protein plug 또는 석회화

• 염증세포는 비교적 적음

2) 임상 특징

• 반복적인 상복부 통증

• 외분비 기능 저하: 지방변, 체중 감소

• 내분비 기능 저하: 당뇨병

장기적으로 췌장암 위험 증가

Reference: Robbins and Cotran, Pathologic Basis of Disease, 10e