췌장종양

췌장종양 (Pancreatic neoplasm)

1. 췌장 가성낭종 (Pseudocyst)

❗❗췌장종양은 아니지만 관련 문제에 선지로 자주 출제되어 해당 이론에 포함됨❗❗

췌장 내 출혈성 지방괴사가 섬유조직과 육아조직으로 둘러쌓이며 형성된 가성낭종

이러한 병변은 상피세포로 둘러싸인 진성 낭종과는 달리 상피 내피가 없는 구조이므로 가성낭종이라 불림

- 벽을 이루는 lining은 섬유조직와 육아조직으로 구성되어 있음

• 주로 급성 췌장얌 이후 생기는 합병증이며, 외상성 췌장 손상 후에도 발생할 수 있음

Large pancreatic pseudocyst, Wikimedia Commons

2. 장액성 낭성 종양 (Serous cystic neoplasm)

• 췌장 꼬리에 주로 발생하는 양성 낭성 종양

• 대부분 무증상이거나 우연히 발견

• 수술적 절제만으로 완치 가능

1) 병리학적 특징

glycogen-rich cuboidal cell의 내피세포로 둘러쌓여 있으며 낭 내부는 맑고 투명한 straw-colored 액체로 구성됨

• 다수의 작은 낭포가 벌집 모양으로 배열되는 경우가 많음 (microcystic pattern)

Pancreatic serous cystic tumor, Wikimedia Commons

2) 분자 이상

• 가장 흔한 유전적 이상은 3p의 VHL tumor suppressor gene의 inactivation

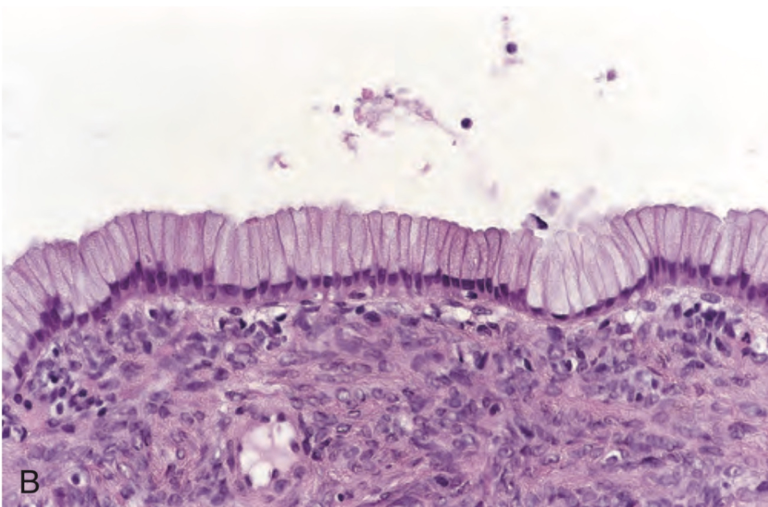
3. 점액성 낭성 종양 (Mucinous cystic neoplasm)

• 췌장 꼬리에 발생하는 낭성 병변

침윤성 선암으로 진행할 수 있는 전구 병변

1) 병리학적 특징

• 낭 크기는 serous cystic neoplasm보다 크며 내부는 끈적한 점액으로 채워짐

내벽의 상피는 점액을 생성하는 원주상피(columnar mucinous epithelium)으로 이루어짐

또한, dense ovarian-type stroma가 동반됨

- estrogen receptor, progesterone receptor, inhibin이 양성인 경우가 많음

Robbins and Cotran Pathologic Basis of Disease, 10e, pg 889

2) 분자 이상

• KRAS oncogene 활성화 돌연변이가 50%에서 발견

• 침윤암인 경우 TP53, SMAD4 유전자 이상이 흔히 동반됨

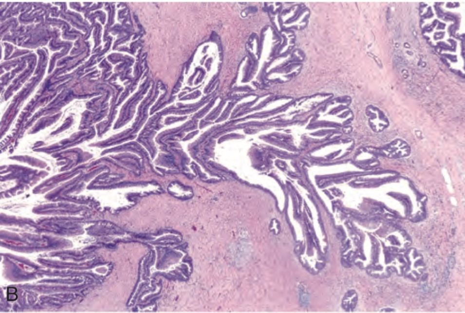
4. 관내 유두상 점액종양 (Intraductal papillary mucinous neoplasm, IPMN)

췌장 도관을 따라 발생하는 점액 생성 유두상 종양

- 췌장의 main duct에서 주로 발생

침윤성 암으로 진행 가능

• 낭종처럼 보이나 본질적으로는 췌장 도관 확장이 병태적 기전

• Mucinous cystic neoplasm과 구별되는 두 가지 핵심 소견:

- ovarian-type stroma 없음

- 췌장 도관 침범

• KRAS mutation이 약 80%에서 관찰되며, GNAS mutation이 특히 main duct IPMN에서 흔함

• 침윤성 암으로 진행될 때 TP53, SMAD4 mutation 관찰됨

Robbins and Cotran Pathologic Basis of Disease, 10e, pg 890

5. 고형 유두상 종양 (Solid pseudopapillary neoplasm)

• 젊은 여성에게서 발생

• 낮은 악성도를 가지며 대게 외과적 절제로 완치 가능

1) 병리학적 특징

• 고형과 낭성 구성요소를 모두 가지고 있음

• 낭성의 내부는 hemorrhagic debris로 차 있음

• 종양 세포는 pseudopapillary projection의 형태로 증식

- 세포 간 결합력 저하되어 discohesive하게 보임

Solid pseudopapillary neoplasm, Wikimedia Commons

2) 분자 병리

• CTNNB1 유전자 (β-catenin) 활성화 돌연변이가 거의 모든 SPN에서 발견됨

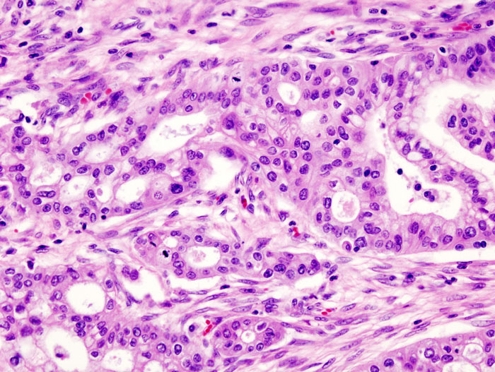
6. 췌장암 (Pancreatic adenocarcinoma)

췌장암은 대부분이 췌장 외분비관에서 기원하는 침윤성 선암

• 사망률이 매우 높고 예후가 불량한 악성 종양

1) 분자 병리학

• 다단계 유전자 이상으로 통해 발생하며, 그 중 가장 흔한 변이는 KRAS (>90%) gain-of-function mutation

2) 병리학적 특징

60%는 췌장의 머리에 발생 → 조기 담도 폐쇄 및 황달 유발

• 섬유모세포반응(demosplastic stroma) 동반하는 선암

• perineural invasion, 림프관 침윤 매우 흔함

Pancreatic adenocarcinoma, Wikimedia Commons

Reference: Robbins and Cotran, Pathologic Basis of Disease, 10e

소화계 질환

췌장염

소화계 질환

대장의 유전성 암