사구체질환: 신증후군

이론과 하이라이트 히스토리를 확인 할 수 있어요.

사구체질환: 신증후군 (Nephrotic syndrome)

사구체의 병변으로 인해 여과막이 손상되며 단백질이 소변으로 과도하게 빠져나가는 임상 증후군

• 핵심 특징:

단백뇨 (>3.5g/day)

저알부민혈증 (혈중 알부민 < 3.0 g/dL)

부종 (저알부민혈증으로 인한 혈장 삼투압 감소)

고지혈증 (간의 보상성 지질 합성 증가)

+) 소변을 통한 Ig 유실로 인해 면역력 저하 → 감염 위험 증가

+) 항응고 단백질(antithrombin III) 소실 → 고응고 상태 → 혈전증 위험 증가

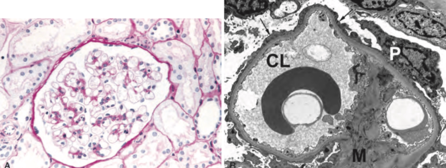
1. 미세변화병 (Minimal change disease, MCD)

광학현미경상 사구체는 정상으로 보이지만, 전자현미경에서 podocyte의 발돌기(foot process)가 diffuse하게 소실된 것이 특징인 질환

소아 신증후군의 가장 흔한 원인 (2-6세에서 호발)

1) 병태생리

• 명확한 기전은 아직 불명확하나, 면역학적 이상이 관여한다고 추정됨

• 면역학적 연관성:

- 호흡기 감염 또는 예방접종 후 발병

- 스테로이드 치료에 대한 반응성에 매우 좋음

- 아토피 질환(천식, eczema)과의 연관성

2) 병리학적 소견

• 광학현미경으로 관찰시 사구체는 정상

• 면역형광으로 보았을때도 면역복합체의 침착 없음

전자현미경으로 관찰시 발돌기의 광범위한 소실을 확인할 수 있음

Robbins and Cotran Pathologic Basis of Disease, 10e, pg 915

3) 임상 특징

• 선택적 단백뇨: 주로 알부민 유출

• 신기능은 보존됨 (혈청 Cr 정상)

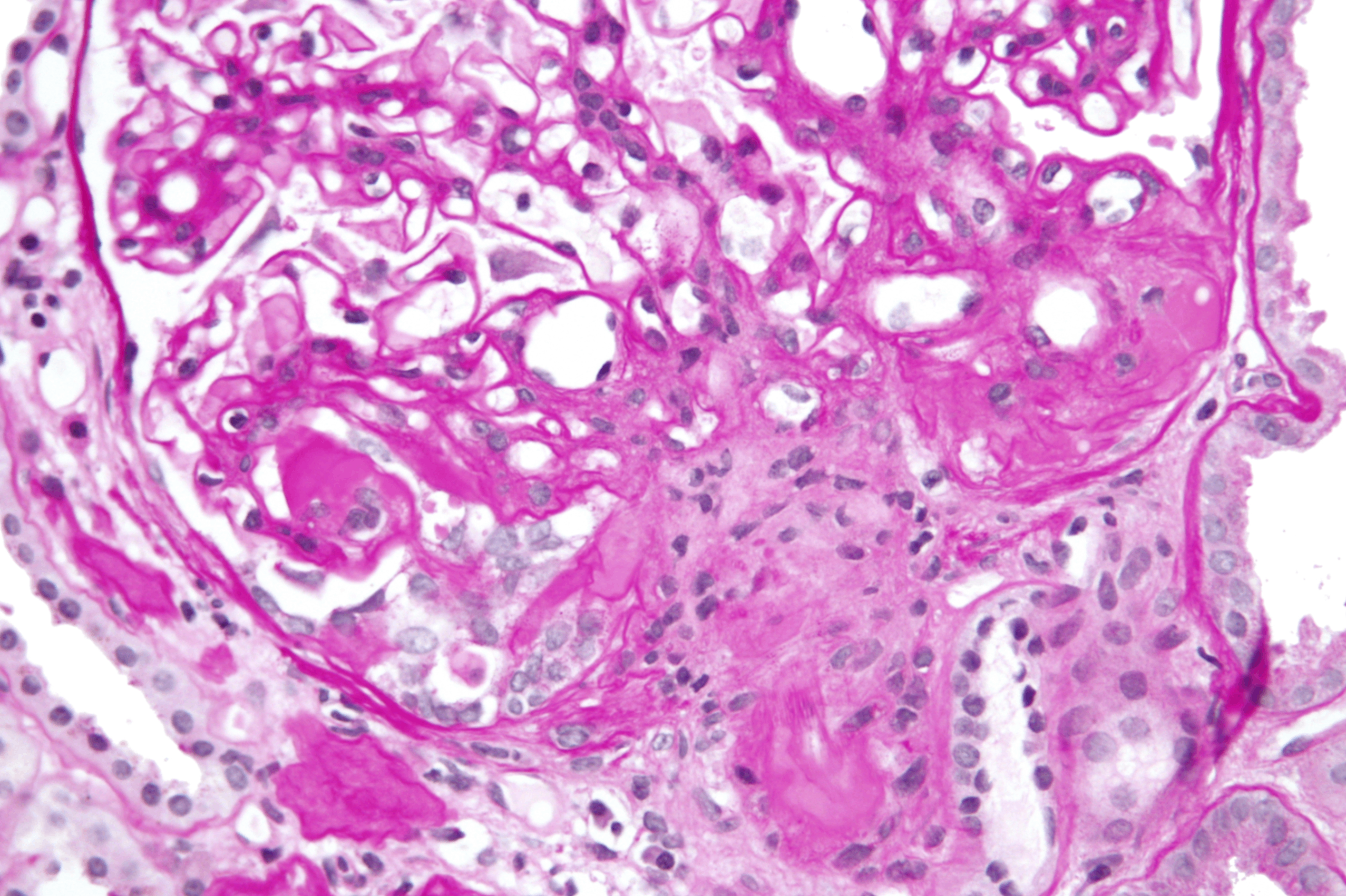
2. 국소분절사구체경화증 (Focal segmental glomerulosclerosis, FSGS)

전체 사구체 중 일부에서(focal) 부분적(segmental)로 나타나는 사구체 경화증

Podocyte 손상 → 세포탈락 → 사구체 기저막 노출 → 단백뇨 유발 및 경화 진행

• 스테로이드 치료에 대한 반응이 MCD보다 비교적 떨어짐

1) 병리학적 소견

• 광학현미경

- 일부 사구체, 일부 부위에 hyaline 침착 및 경화

- 전체 사구체의 일부에서만 병변이 나타나기 때문에 생검에서 병변이 관찰되지 않을 수 있음

• 면역형광: 일반적으로 비특이적이거나 음성이지만, 종종 IgM과 C3가 경화 부위에 침착

전자현미경: podocyte의 foot process effacement Focal segmental glomerulosclerosis, Wikimedia Commons

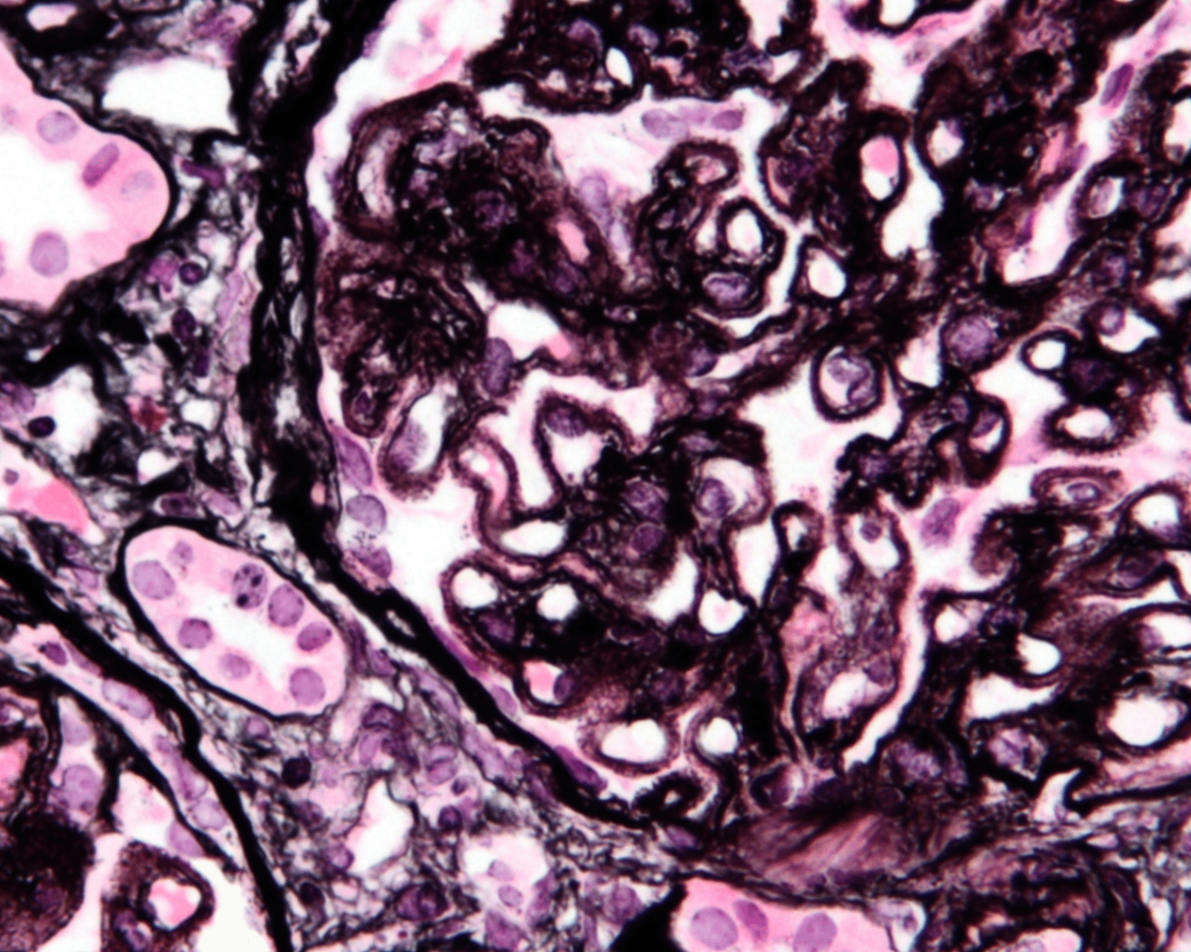
3. 막성신장병증 (Membranous nephropathy)

사구체 모세혈관벽이 diffuse하게 비후되는 신질환

• 성인 신증후군의 대표 원인 중 하나

1) 병태생리

기저막 외측(subepithelial side)의 면역복합체 침착이 특징

원발성(75%): 대부분은 자가면역성; 기저막의 구성 단백질인 PLA2R (phospholipase A2 receptor)에 대한 자가항체에 의해 발생

• 2차성(25%): SLE, 만성 B/C 간염, 고형암, 약물(NSAIDs, penicillamine, catopril, gold)

• 손상기전: 면역복합체 침착 → 보체활성화 → C5b-C9 membrane attack complex → podocyte 손상 → 단백뇨 유발

2) 병리소견

광학현미경: 모세혈관벽의 확산성 비후

전자현미경: 기저막 외측(subepithelial)에 불규칙한 electron-dense deposits + podocyte 발돌기 소실

은 염색: "spike and dome" pattern (GBM이 면역복합체 침착물 사이로 자라 돌기처럼 보임)

면역형광: fine, granular pattern의 IgG, C3 침착

Membranous nephropathy, Wikimedia Commons

Reference: Robbins and Cotran, Pathologic Basis of Disease, 10e