사구체질환: 신장염증후군

사구체 질환: 신장염증후군 (Nephritic syndrome)

염증성 사구체 손상으로 인한 급성 신장 기능 장애 증후군

1) 임상 특징

혈뇨(hematuria): 적혈구 및 red cell cast가 소변에서 관찰됨

단백뇨(proteinuria): 신증후군보다 적은 양 (subnephrotic range), 부종은 잘 동반되지 않음

고질소혈증(azotemia)

고혈압

2) 병리 기전

염증세포 침윤 및 세포 증식으로 인해 사구체 손상 발생 → 모세혈관 벽 손상 → 혈뇨, 단백뇨 유발

• 신장 기능 저하 (GFR 감소) → 소변량 감소(oliguria), 고질소혈증 → 고혈압 (체액 축적, renin 활성화)

1. 사슬알균감염후토리콩팥염 (Acute proliferative/Postinfectious and infection-associated glomerulonephritis)

감염 후 발생하는 면역복합체 매개 사구체 손상

• 대표적인 예: 연쇄상구균 감염 후 사구체신염 (PSGN)

발생 시점: 상기도 감염, 피부감염 1-4주 후

• 혈정 검사

- ASO (anti-streptolysin O) 상승

- C3 감소 (보체 소비로 의한 저하)

• 대부분 소아에서 발생

1) 병태생리

주요기전: 면역복합체가 사구체가 침착하여 염증 유발

대표 항원: streptococal exotoxin B

• 면역 반응: 면역복합체 침착에 의한 보체 활성화 → 염증세포 유입 및 사구체 손상

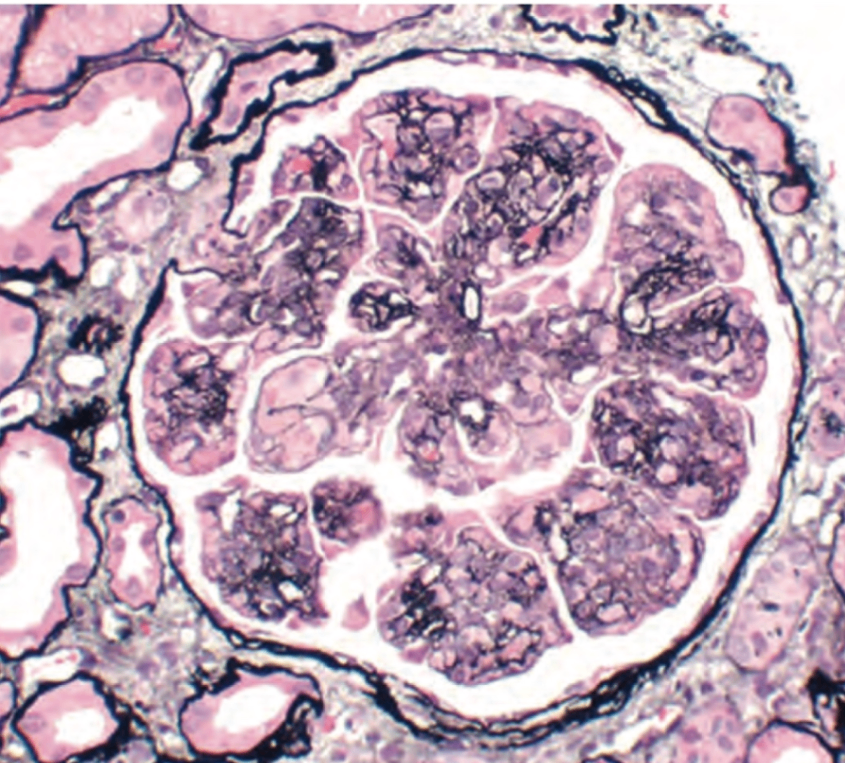
2) 병리학적 소견

① 광학현미경

diffuse endocapillary proliferation

• 백혈구(주로 호중구) 침윤

사구체가 크고 과세포성(hypercellularity)을 보임

② 면역형광

• IgG, C3의 과립형(granular) 침착

③ 전자현미경

hump-like subepithelial electron-dense deposits

Postinfectious glomerulonephritis, Wikimedia Commons

2. 초승달사구체신염 (Crescentic/Rapidly progressive glomerulonephritis)

• 수일~수주 내에 빠르게 진행하는 급속 진행성 신부전

• 대부분 사구체에서 crescent 형성 → Crescentic GN

1) 종류

Anti-GBM antibody-mediated disease

GBM의 α3형 Type IV collagen에 대한 자가항체 →면역형광에서 linear한 IgG, C3 침착이 특이적으로 관찰됨

이 항체는 폐포의 기저막과 교차 반응할 수 있으며, 폐출혈을 동반한 Goodpasture 증후군으로 나타날 수 있음

Diseases caused by immune complex deposition

• 예: post infectious glomerulonephritis, lupus nephritis, IgA신병증, Henoch-Schönlein purpura

• 면역복합체가 granular pattern으로 기저막에 침착

Pauci-immune type

면역형광 및 전자현미경에서 Anti-GBM 항체 또는 면역복합체가 관찰되지 않음

Antineutrophil cytoplasmic antibody가 양성

granulomatosis with polyangiitis, microscopic polyangiitis와 같은 전신 혈관염이 신장을 침범할시 나타남

2) 조직학적 소견

① 광학현미경

Cresent 형성:

- Bowman's space에 epithelial parietal cell 증식

- 단핵구, 대식세포 침윤

- 세포층 사이에 섬유소(fibrin) 가닥이 뚜렷하게 관찰됨 (fibrinoid necrosis)

→ 진행 시 사구체 압박 및 폐쇄

② 면역형광

• 종류에 따라 linear 침착 (anti-GBM antibody disease), granular 침착(PIGN, lupus nephritis, 등), 또는 침착물 없음 (pauci-immune)

③ 전자현미경

GBM 파열 → 이를 통해 백혈구, 응고인자, 보체, 염증 매개물질 등이 요세관 공간으로 침투하여 초승달 형성을 유도

Crescentic glomerulonephritis, Wikimedia Commons

3. 막증식사구체신염 (Membranoproliferative glomerulonephritis, MPGN)

1) 분류

• MPGN의 분류에 대한 의견이 분분하나, 현재는 두 가지 형태로 구분됨:

① Type I: IgG 및 보체(C3)를 포함한 면역복합체의 침착에 의한 질환

② Type II: 보체 활성화가 주요 병리 기전

- 현재는 더 이상 type II MPGN으로 부르지 않고 Dense deposit disease로 명명

- MPGN보다 C3 사구체병증이라는 질환 군에 포함됨

2) 병리학적 소견

① 광학현미경

mesangial cell와 모세혈관 내피세포의 증식 & 백혈구 침윤 → 사구체 크고 hypercellular

Mesangial matrix이 두꺼워져 사구체가 엽상(lobular) 구조를 띔

사구체 기저막은 비후되며 은염색 또는 PAS 염색에서 double-contour 또는 tram-track 모양을 보임

- 이러한 기저막의 "이중화"는 subendothelial 면역복합체 침착에 반응하여 새롭게 합성된 기저막에 의한 것

② 전자현미경

뚜렷한 subendothelial space의 electron-dense deposists

③ 면역형광

• IgG 및 C3가 과립형으로 침착됨

3) 임상 양상

신염증후관과 신증후관이 혼합되어 나타남 → 단백뇨, 혈뇨, 부종, 고혈압이 함께 나타날 수 있음

Pathologic Basis of Disease, Robbins Pathology, 10th edition, pg 918

Reference: Robbins and Cotran, Pathologic Basis of Disease, 10e

신장비뇨기 질환

사구체질환: 신증후군

신장비뇨기 질환

사구체질환: 당뇨병성 신장병증