다발경화증

이론과 하이라이트 히스토리를 확인 할 수 있어요.

다발경화증 (Multiple sclerosis)

1. 개요

자가면역성 탈수초 질환(demyelinating disease)

다양한 신경학적 증상이 재발과 완화를 반복 (relapsing-remitting pattern)

이는 중추신경계 내 활성 및 비활성 백질 병변이 혼재된 양상으로 관찰됨

• 회복은 대게 불완전하며 점진적 악화가 누적됨

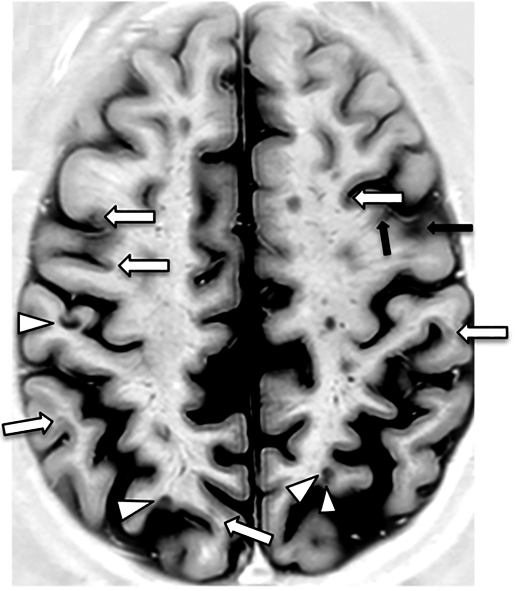
Axial PSIR MRI of a brain with multiple sclerosis lesions, Wikimedia Commons

2. 병인

• Myelin sheath의 성분에 대한 자가면역 반응

- CD4+ Th1/Th7 cell mediated response

- B cell 또한 자가항체를 생성해 병변 유발

3. 병리학적 특징

1) 육안적 소견

• 경화된 병변은 glassy, gray-tan and irregularly shaped plaques의 형태로 관찰됨

• 호발 부위:

- 측뇌실 주위 (periventricular white matter)

- 시신경 및 시교차(optic nerve & chiams)

- 뇌간, 척수, 소뇌

2) 조직학적 소견

Active lesion: myelin의 소실과 함께 거품세포(foamy macrophage)가 풍부하게 관찰됨

- 혈관 주위 림프구 침윤 또한 관찰됨

- 축삭(axon)은 상대적으로 보존됨

- oligodendrocyte 수 감소

Inactive lesion: 염증세포 침윤 없음, 반응성 신경교증(reactive gliosis)이 뚜렷

Robbins and Cotran Pathologic Basis of Disease, 10e, pg 1272

4. 임상양상

• 증상은 relapsing-remitting pattern으로 발생하며 개인마다 질환의 양상이 다양함

• 초기 증상: 시신경염, 감각이상

• 운동/감각 장애: 사지의 근력 저하&경직, 운동실조, 균형 장애, 진전

• 척수 증상: 방광 기능 장애, 배뇨/배변 조절 어려움

Reference: Robbins and Cotran, Pathologic Basis of Disease, 10e