신경퇴행성 질환

이론과 하이라이트 히스토리를 확인 할 수 있어요.

신경퇴행성 질환 (Neurodegenerative disease)

1. 알츠하이머병 (Alzheimer's disease, AD)

노인에서 가장 흔한 치매의 원인

- 나이가 증가할수록 유병률이 증가함

기억력 저하로 서서히 시작되어, 시공간 지각, 판단력, 언어, 성격 변화 등 고차 인지기능의 전반적 저하가 5-10년에 걸쳐 진행됨

• 환자는 점차 말을 못하고, 움직이지 못하며, 결국 불능 상태에 빠짐

1) 병태생리

핵심 병리는 Aβ와 tau 단백질의 비정상적인 축적

Aβ (β-amyloid)

Aβ는 amyloid precursor protein(APP)가 절단되면서 생성됨

응집성이 강해 신경독성 oligomer → fibril → plaque 형성

② Tau

Tau는 본래 미세소관 안정화 단백질로, AD에서 과인산화되어 미세소관이 결합력을 상실하며 tangle을 형성함 → 신경섬유다발 (neurofibrillary tangle)

• 이는 신경세포의 축삭 수송 장애 및 세포 사멸을 유도함

2) 조직학적 소견

대내피질 위축, 뇌실 확장

- 특히 전두엽, 측두엽, 두정엽의 위축이 심함

- 해마, 편도체, entorhinal cortex에도 위축 관찰됨

① Neuritic plaques

Aβ 플라크는 중심의 아밀로이드 핵을 중심으로, 주변이 퇴행성 신경돌기(dystrophic neurites), 반응성 미세아교세포(reactive microglia) 등 퇴행성 신경 성분으로 둘러싸여 있음

• 대뇌 피질과 해마에서 가장 흔함

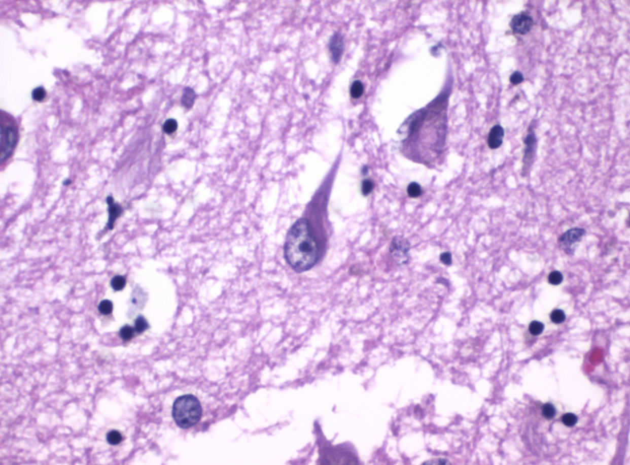
② Neurofibillary tangles

과인산화된 tau가 축삭 내에서 나선형 섬유 구조로 응집

• 고병기에서는 "flame-shaped" 모양

③ Cerebral amyloid angiopathy (CAA)

Aβ가 혈관 벽에 침착되어 혈관병증 유발

Histopathology of neurofibrillary tangles in Alzheimer's disease, Wikimedia CommonsAlzheimer neuritic plaque gallyas stain, Wikimedia Commons

3) 검사 소견

CSF내 인사회돤 tau 증가, Aβ 감소

• choline acetyltransferase 감소, snaptophysin 면역반응성 감소

2. 파킨슨병 (Parkinson's disease)

흑색질(substantia nigra)의 도파민성 신경세포가 점진적으로 소실되면서 나타나는 저운동성(hypokinetic) 운동장애가 특징인 퇴행성 신경질환

• 운동증상 외에도 자율신경계 이상, 우울증, 치매 등의 비운동 증상도 흔히 동반

1) 주요 증상

Triad of parkinsonism:

① Tremor: 특히 resting tremor, 또는 pill-rolling tremor

② Rigidity: cogwheel rigidity

③ Bradykinesia: 자발적인 운동이 느려지고 어려워짐

• 기타 특징적인 증상들:

- 가면 얼굴(masked facies): 표정이 거의 없음

- 몸이 앞으로 굽은 자세 (stooped posture)

- 보행 장애 (festinating gait)

- 말수 감소, 삼킴 장애, 침 분비 증가 등 자율신경계 증상도 동반할 수 있음

2) 병태생리

흑색질-선조체 도파민 경로(nigrostriatal dopaminergic pathway)의 신경세포가 선택적으로 소실됨

도파민 부족은 운동 조절을 담당하는 기저핵 회로의 불균형을 야기하여 파킨슨 중후군을 유발함

3) 병리소견

흑색질 및 청반(locus ceruleus)의 pallor가 뚜렷히 관찰됨

Lewy body: α-synuclein으로 구성된 호산성 세포질내 포말 구조(inclusion)

Lewy bodies (alpha synuclein inclusions), Wikimedia Commons

Reference: Robbins and Cotran, Pathologic Basis of Disease, 10e