뇌종양

이론과 하이라이트 히스토리를 확인 할 수 있어요.

뇌종양 (Brain tumor)

Glioma

(= neuroglial cell들의 암)

Astrocytoma

Astrocytoma (Grade II, III)

Glioblastoma (= Grade IV Astrocytoma)

Oligodendroglioma

Ependymoma

Neuronal tumor

Ganglioglioma

Central Neurocytoma

Embryonal tumor

Medulloblastoma

기타

Primary brain lymphoma

Meningioma

위의 표는 뇌종양의 기원에 분류한 표이다. 본 이론은 기종평에서 선지로 출제된 바가 있는 glioblastoma, oigodendroglioma, meningioma, 그리고 craniophryngioma에 대해 다룬다

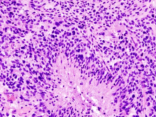
1. 교모세포종 (Glioblastoma)

성상세포에서 기원한 악성 뇌종양(WHO grade IV)으로, 성인에서 가장 흔하고 예후가 매우 불량한 신경교종

• 두 가지 임상 양상으로 발생:

① Primary glioblastoma: 기저질환 없이 원발성으로 발생하며, 대부분의 경우(약 90%)를 차지. 주로 고령층에서 발생.

② Secondary glioblastoma: 저등급 성상세포종(low-grade astrocytoma)이 시간이 지나면서 고등급으로 진행하며 발생, 비교적 젊은 환자에서 흔함.

Glioblastoma, Wikimedia Commons

1) 분자유전학

IDH 변이 여부에 따라 분류:

① Primary glioblastoma: IDH-wild type (예후 매우 불량)

② Secondary glioblastoma: IDH1 변이 있음 (상대적으로 예후 양호)

2) 병리소견

• 종양 세포는 과세포성(hypercellularity)을 띠며, 길게 늘어진 또는 불규칙한 과염색 핵을 가지며, 섬유질 배경(fibrillary background) 속에 위치

배경은 GFAP(교세포 섬유산성 단백질) 양성

Serpentine pattern의 괴사와 미세혈관 증식(microvascular proliferation)이 특징적

- 괴사 주변에 종양세포가 방사형으로 배열된 palisading necrosis 관찰됨

- 저산소증(hypoxia)에 반응하여 악성 성상세포가 VEGF를 분비 → 미세혈관 증식 유도

Glioblastoma, Wikimedia Commons

2. 희소돌기아교세포종 (Oligodendroglioma)

1) 분자유전학적 정의

IDH 돌연변이와 함께, 염색체 1p와 19q의 whole-arm co-deletion이 있는 경우로 정의됨

→ 이 조합은 진단적 특징이자 예후가 비교적 좋은 예측인자

2) 병리소견

• 젤라틴처럼 말랑한 회색 종괴로, 내부에 낭종(cyst), 국소 출혈(focal hemorrhage), 석회화(calcification) 자주 동반됨

• 종양세포는:

- 둥근 핵과 과립상의 염색질을 가지며 맑은 공포성 세포질(clear halo of vacuolated cytoplasm)로 둘러싸임 → 이로 인해 fried egg appearance라고도 불림

- chicken-wire 형태의 가는 모세혈관 네트워크가 전형적으로 관찰됨

Oligodendroma, Wikimedia Commons

3. 수막종 (Meningioma)

1) 개요

성인에서 흔한 양성 뇌종양으로, 지주막(meningothelial) 세포에서 발생하며 경막(dura)에 부착된 형태로 성장

• 뇌 외부 표면이나 뇌실 내(arachnoid of the choroid plexus)에서도 발생 가능

• 두경부 방사선 치료 이력은 주요 위험인자

2) 병리소견 (Morphology)

• 고무같이 단단한(round & rubbery) 종괴로 뇌를 눌러서 압박함

• 세포학적 형태:

- Meningothelial type: 상피세포 유사한 군집

- Fibroblastic type: 방추형 세포 + 풍부한 콜라겐 침착

Psammoma body(편평한 층으로 형성된 석회화 소체)가 흔하게 관찰됨 → 진단적 단서

Meningioma, Wikimedia Commons

4. 두개인두종 (Craniopharyngioma)

1) 개요

선천성 기형종양으로, Rathke's pouch의 상피잔류물에서 기원

주로 소아와 청소년에서 발생하지만, 성인기에도 드물게 발생

시상하부-시신경 교차(chiasm) 주변 및 제3뇌실 부위에서 발생하여 시야장애, 성장지연, 내분비 이상 등을 유발

Craniopharyngioma, Wikimedia Commons

2) 병리소견 (Morphology)

낭성 또는 고형+낭성 혼합 병변이며, 내부에 탁하고 노란 색의 기름 같은 내용물이 차 있음

두 가지 조직학적 아형:

① Admantinomatous type (소아에서 흔함)

- 치아형태모양(adamantinoma-like) 세포 배열

- "기저세포 양상(basaloid palisading)", "습윤한 각질(wet keratin)", 석회화(calcification)

- 종양 주위로 염증 및 반응성 섬유화

② Papillary type (성인에서 흔함)

- 석회화 없이 유두 모양 성장을 보이며, 기저세포층이나 각질화는 관찰되지 않음

Adamantinomatous craniopharyngioma, Wikimedia Commons

3) 임상 특징

• 시야장애 (특히 양측성 반맹, bitemporal hemianopsia)

• 뇌압 상승 증상: 두통, 구토

• 성장호르몬 결핍, 성조숙증 등 다양한 뇌하수체 기능 저하

• 재발 가능성 있음, 완전 절제가 어려운 경우가 많음

Reference: Robbins and Cotran, Pathologic Basis of Disease, 10e