다발골수종

이론과 하이라이트 히스토리를 확인 할 수 있어요.

다발골수종 (Multiple myeloma)

1) 개요

형질세포(plasma cell)에서 기원하는 암으로, 다음과 같은 증상군으로 대표됨:

CRAB:

① Calcium↑ (고칼슘혈증),

② Renal dysfunction (신부전),

③ Anemia (빈혈),

④ Bone lesions (골용해병변)

비정형 형질세포가 monoclonal Ig를 분비. 주로 IgG 또는 IgA(=M protein)가 많고, Bence Jones 단백뇨(κ or λ light chain)를 동반

- serum 또는 urine electrophoresis에서 abnormal protein spike로 관찰됨

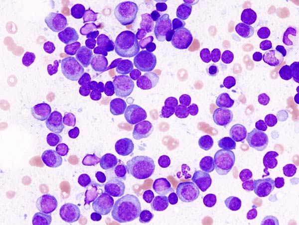
2) 병리소견 (Morphology)

축골격(axial skeleton)의 파괴성 형질세포종(plasmacytoma): 척추, 늑골, 두개골, 골반, 대퇴골, 쇄골, 견갑골 등이 흔히 침범

골수강에서 시작해 피질골을 침식하며 “punch-out 병변”(1–4cm 크기)의 방사선 소견을 보임 Left femur with myeloma, Wikimedia Commons

골수 내 형질세포가 30% 이상을 차지

비정형 형질세포 특징:

- 편심된 핵, 골지체에 의한 투명역(perinuclear halo)

- plasmablasts, 다핵세포 등 다양한 형태

세포 내 비정상 면역글로불린 축적:

- Flame cells: 붉은 세포질

- Mott cells: 세포질 내 포도송이 유사 방울

- Russell bodies: 세포질 내 구형 봉입체

- Dutcher bodies: 핵 내 봉입체 Multiple myeloma, Wikimedia Commons

혈액도말에서 적혈구가 줄지어 배열되는 rouleaux 형성 소견

진행 시 간, 비장, 폐, 신장, 림프절 등 연부조직으로 침윤

3) 임상양상 (Clinical Features)

• C: Hypercalcemia

- 골파괴로 인해 혈중 칼슘 증상

- 증상: 무기력, 혼돈, 변비, 다뇨, 근력저하 등

• R: Renal dysfunction

- Bence Jones 단백(light chain)이 신세뇨관 상피세포에 독성을 일으켜 신기능 저하

- 일부는 AL type 아밀로이드증 동반 → 신장 손상 가중

• A: Anemia

- 골수 침윤에 따른 조혈 억제 → 빈혈

• B: Bone lesions

- 골통, 병적 골절 흔함

• 감염 위험 ↑

- 정상 면역글로불린 생성 저하 → 재발성 세균감염

4) 진단적 특징 (검사소견)

단클론 항체(M protein) → 전기영동 시 단백질 스파이크 형성

소변에서 Bence Jones protein 검출

• 골수생검: 형질세포 증가

Reference: Robbins and Cotran, Pathologic Basis of Disease, 10e