실험 기법

실험 기법

1. Northern Blot

• 목적: 특정 mRNA의 존재 여부 및 발현량 분석

• 원리:

- RNA를 분리하여 전기영동 후, membrane에 전사(blotting)

- 방사성 또는 효소 표지된 DNA probe로 hybridization

• 용도:

- 특정 유전자의 전사 활성 여부 확인

- 발현 조절 이상 질환 분석 (ex. 종양에서 특정 유전자 과발현 여부)

Northern blot, Wikimedia Commons

2. Western Blot

• 목적: 특정 단백질의 존재 및 양 분석

• 원리:

- 단백질을 SDS-PAGE로 분리 → membrane에 전사

- 1차 항체로 표적 단백질 인식

- 2차 항체는 1차 항체에 결합하며, 효소나 형광 표지되어 검출 가능

• 용도:

- 단백질의 발현 및 크기 확인

- 감염 질환 진단 (ex. HIV: p24, gp120 검출)

- 종양 관련 단백질 발현 평가

Western blot, Wikimedia Commons

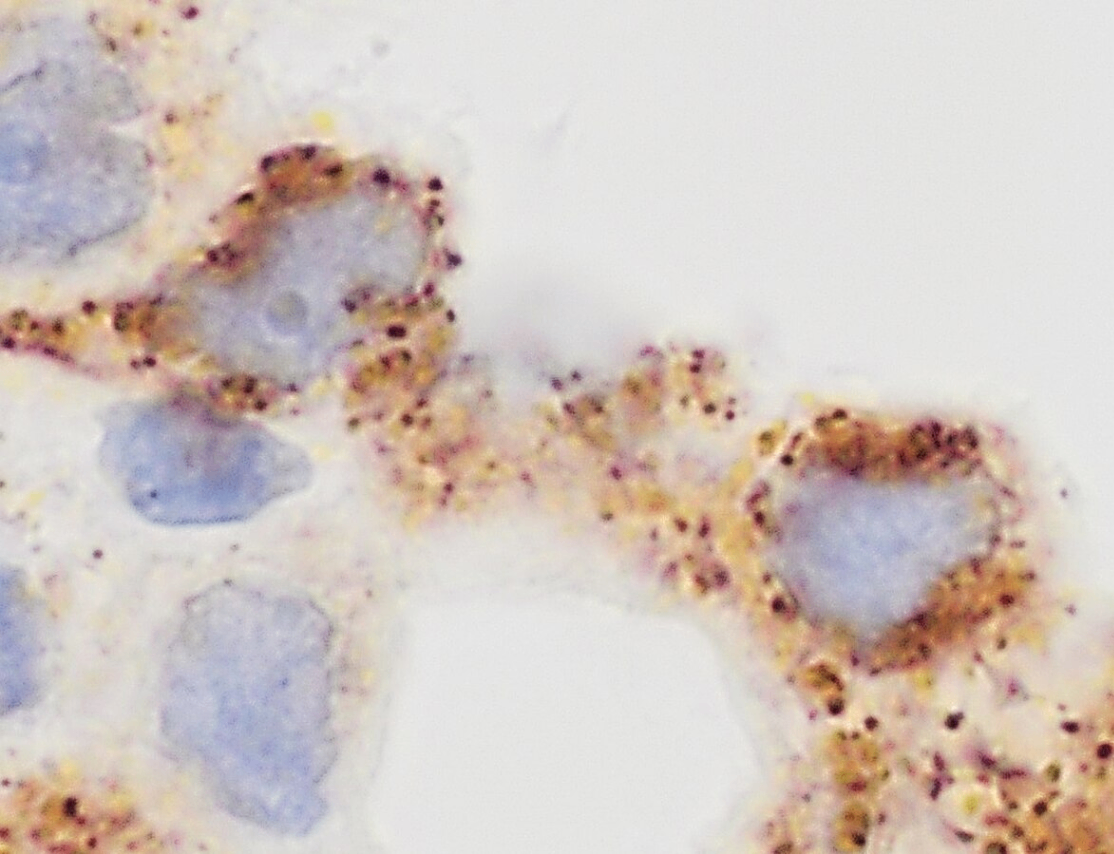
3. Immunohistochemistry (IHC)

• 목적: 조직 내 특정 항원(단백질)의 분포 및 발현 패턴 분석

• 원리:

- 조직 절편에 항체를 적용 → 항체-항원 결합

- 효소(예: HRP) 또는 형광물질이 연결된 2차 항체로 시각화

- Diaminobenzidine(DAB) 등을 사용하여 색 반응 유도

• 용도:

- 종양 진단 및 기원 조직 분류

- ex. ER, PR, HER2 (유방암), TTF-1 (폐선암), PSA (전립선암)

- 감염 병원체 항원 검출

Immunohistochemistry of adenocarcinoma with cytoplasmic staining for TTF-1, Wikimedia Commons

4. In Situ Hybridization (ISH)

• 목적: 조직이나 세포 내 특정 DNA 또는 RNA 서열을 검출하여 유전자 발현 위치를 확인하는 분자병리 기법

• 원리: 상보적인 서열을 갖는 DNA probe이 표적 핵산과 결합 → 형광, 효소(DAB 등), 방사성 등으로 신호 시각화

• 표지 방식

- 효소 탐침: HRP + DAB → 갈색 반응 (광학현미경 관찰)

- 형광 탐침(FISH): 형광 신호 (형광현미경 관찰)

• 의학적 활용 예

- 바이러스 감염 확인 (ex. HPV, EBV)

- HER2 amplification 확인

Results of in situ hybridization of chromosome X and Y BAC probes, Wikimedia Commons

5.염색기법

1) H&E 염색 (Hematoxylin & Eosin stain)

가장 기본적이고 널리 쓰이는 조직 염색법

Hematoxylin: 염기성 → DNA, RNA와 결합 → 핵을 청자색(남색)으로 염색

• Eosin: 산성 → 단백질 풍부한 세포질 등을 분홍색으로 염색

• 용도: 조직학적 구조 파악, 핵-세포질 구분

2) Nissl 염색

염기성 염료(크레실 바이올렛 등)를 이용해 RNA 염색

• 특히 거친 소포체(RER)와 핵소체(nucleolus)를 염색 → 신경세포체(neuron soma) 강조

• 용도: 신경세포체 관찰, 중추신경계 조직 내 신경세포 밀도 평가

3) Silver stain (은염색)

은 이온이 특정 조직 성분에 부착되어 검게 침착

신경섬유(axon), 신경돌기(dendrite), 미세구조, 세균(특히 스피로헤타) 등 염색

• 대표적 예: Golgi stain (신경세포 돌기 관찰), Warthin-Starry stain (박테리아 검출)

• 용도: 신경계 해부 및 병리 연구, 병원체 검출

골반과 샅

여성 생식기관

조직학

세포의 조직학