세포의 조직학

이론과 하이라이트 히스토리를 확인 할 수 있어요.

세포의 조직학

Cell organelles labelled, Wikimedia Commons

1. Nucleus, nucleolus, nuclear pore

• Nucleus: 유전물질(DNA) 보관 및 전사 조절

• Nucleolus: rRNA 합성 및 리보솜 조립

• Nuclear pore: 핵-세포질 사이 물질 교환 통로 (mRNA, 단백질 등)

Nucleus, Wikimedia Commons

2. Mitochondria

• ATP 생성의 중심 (TCA cycle, 전자전달계, 산화적 인산화)

• 세포사멸 유도에도 관여

TEM image of mitochondria, Wikimedia Commons

3. Rough endoplasmic reticulum (rER)

핵과 인접해서 위치

• 리보솜 부착 → 단백질 합성 (특히 분비단백질, 막단백질)

합성된 단백질을 골지체로 전달

Histology: A Text and Atlas, Wolters Kluwer, 7th edition, pg 45

4. Smooth endoplasmic reticulum (sER)

• 지질, 스테로이드 합성

• 해독 작용 (특히 간세포)

• Ca²⁺ 저장 (근육세포에서 잘 발달: sarcoplasmic reticulum)

Histology: A Text and Atlas, Wolters Kluwer, 7th edition, pg 48

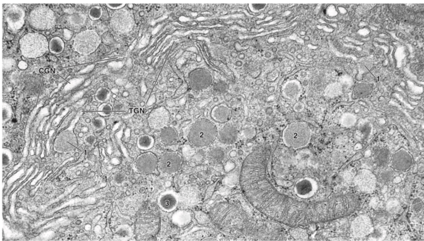
5. Golgi apparatus

• 단백질/지질의 수정, 포장, 분류

• 분비소낭 형성, 리소좀으로의 단백질 수송

Histology: A Text and Atlas, Wolters Kluwer, 7th edition, pg 49

6. Centrioles

• 방추사 형성 (세포분열 시)

• 기저체(basal body) 형성 → 섬모 및 편모 구조 유지

Histology: A Text and Atlas, Wolters Kluwer, 7th edition, pg 67

7. Peroxisome

• 과산화수소(H₂O₂) 생성 및 분해 (Catalase 작용)

• 지방산 β-산화

• 독성물질 해독

Peroxisome, Wikimedia Commons

8. Lysosome

• 세포 내 소화기관: 자가소화(autophagy) 및 이물질 분해에 관여

산성 환경(pH 5)에서 활성을 가지는 가수분해효소(lysozymes) 다수 포함

외부로부터 유입된 물질(endocytosis)이나 세포 내 노폐물 및 고장난 소기관 제거

Histology: A Text and Atlas, Wolters Kluwer, 7th edition, pg 43

Reference: Histology: A Text and Atlas, Wolters Kluwer, 7th edition