연골의 조직학
이론과 하이라이트 히스토리를 확인 할 수 있어요.
연골의 조직학
연골 조직의 사진을 주면 어떤 연골 유형인지를 알아야하며, 어떤 장기/구조가 해당하는지 또한 숙지하고 있어야한다.
분류 | Hyaline Cartilage(유리연골) | Elastic Cartilage(탄성연골) | Fibrocartilage(섬유연골) |
|---|---|---|---|
주요 위치 | 태아 골격, 관절연골, 늑연골, 기관/기관지, 반지연골, 방패연골 | 귓바퀴, 외이도, 이관, 후두개 | 추간판, 치골결합, 관절원반, 반월상연골, 힘줄 부착부 |
기능 | • 압력 저항 관절에서 충격 흡수 및 마찰 감소 • 호흡기 구조 지지 • 태아 골격 형성 | 유연하고 탄성 있는 지지 제공 | 강한 압력과 장력에 대한 저항 |
연골막 (Perichondrium) | 있음 | 있음 | 없음 |
석회화 | 있음(골화 과정이나 노화 시) | 없음 | 있음 (손상 회복 시 섬유연골성 가골이 석회화됨) |
세포 구성 | Chondroblasts (모세포), Chondrocytes (성숙세포) | Chondroblasts, Chondrocytes | Chondrocytes + Fibroblasts |
기질 구성 성분 | • Type II collagen • Aggrecan | • Type II collagen • Elastic fibers • Aggrecan | • Type I + II collagen • Aggrecan • Versican |
성장 방식 | 간엽 및 부착 성장 (Interstitial + Appositional) | 동일 | 간엽 성장만 (Interstitial) |
재생 능력 | • 매우 제한적 • 흔히 흉터 형성 | 제한적 | • 매우 낮음 • 흉터 및 섬유성 연골 형성 |
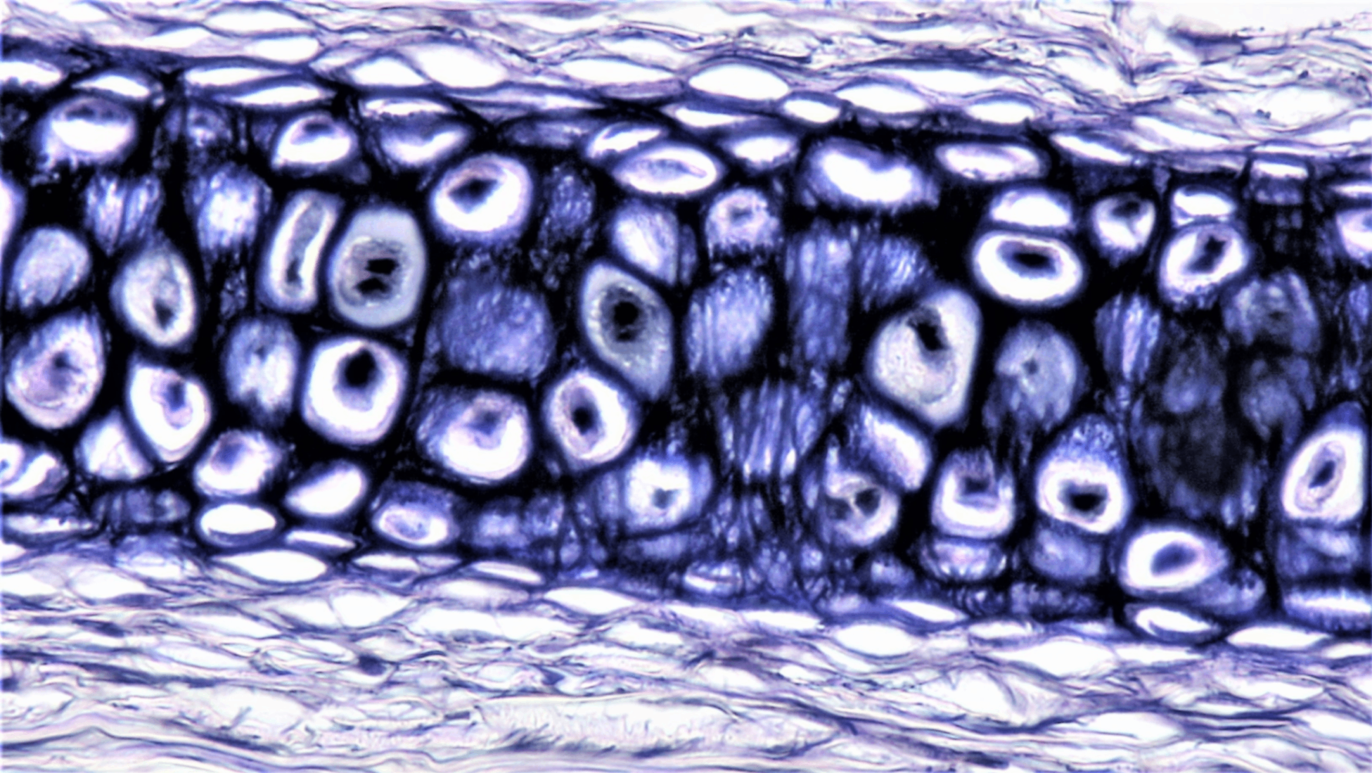
Hyaline cartilage, Wikimedia Commons
Elastic cartilage, Wikimedia Commons
Fibrocartilage, Wikimedia Commons
Reference: Histology: A Text and Atlas, Wolters Kluwer, 7th edition