괴사
이론과 하이라이트 히스토리를 확인 할 수 있어요.
괴사 (necrosis)
괴사의 육안적 소견과 그 예시를 중점으로 출제된다
괴사 종류 | 병리기전 | 형태학적 특징 | 대표 질환 / 장기 |
|---|---|---|---|
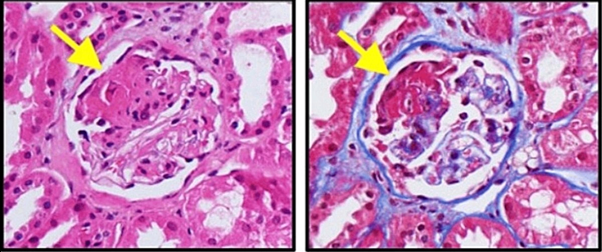
응고괴사(Coagulative) | • 허혈/저산소증으로 인한 세포손상 • 단백질 변성이 효소 작용보다 우세하여 세포구조 보존 | • 세포 외형은 유지되나 핵은 소실 (pyknosis → karyorrhexis → karyolysis) • 세포질은 산호성 (eosinophilic) | • 심근경색 • 신장, 비장, 간 등 고형장기 허혈 |
액화괴사(Liquefactive) | •호중구 유래 효소에 의한 강한 가수분해 • 세포 및 조직 완전 용해 | •조직이 액체화, 농양 형성 •경계 불명확, 점조성 잔해 | • 뇌 허혈성 괴사 (경색) • 세균 감염, 농양 형성 부위 |
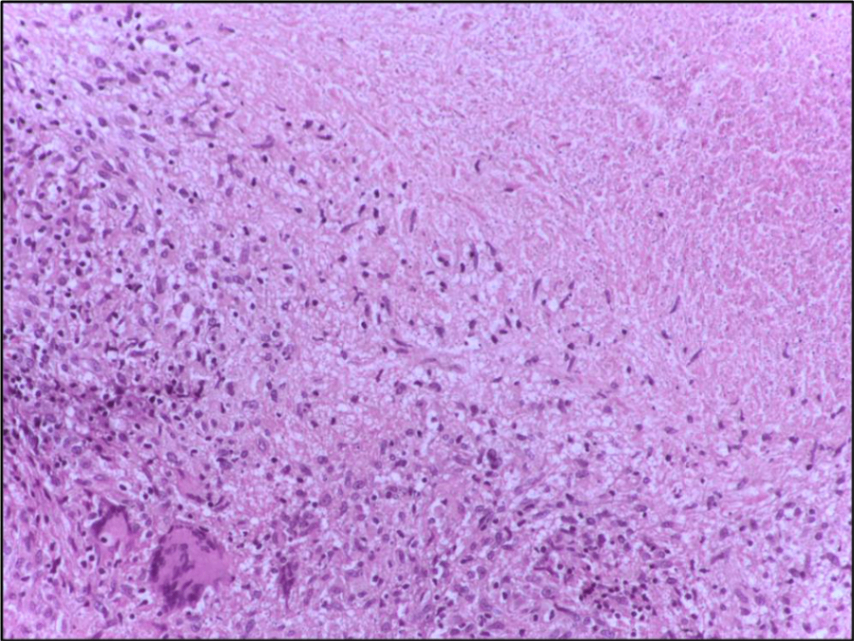
건락괴사(Caseous) | • 만성 육아종성 염증에 의한 괴사 • 대식세포 중심 면역반응 (Th1, IFN-γ 등) | • 연한 백색 치즈같은 괴사물 • 주위에 육아종: epithelioid cell + multinucleated giant cells | •결핵(TB) • 히스토플라스마증 등 일부 진균 감염 |
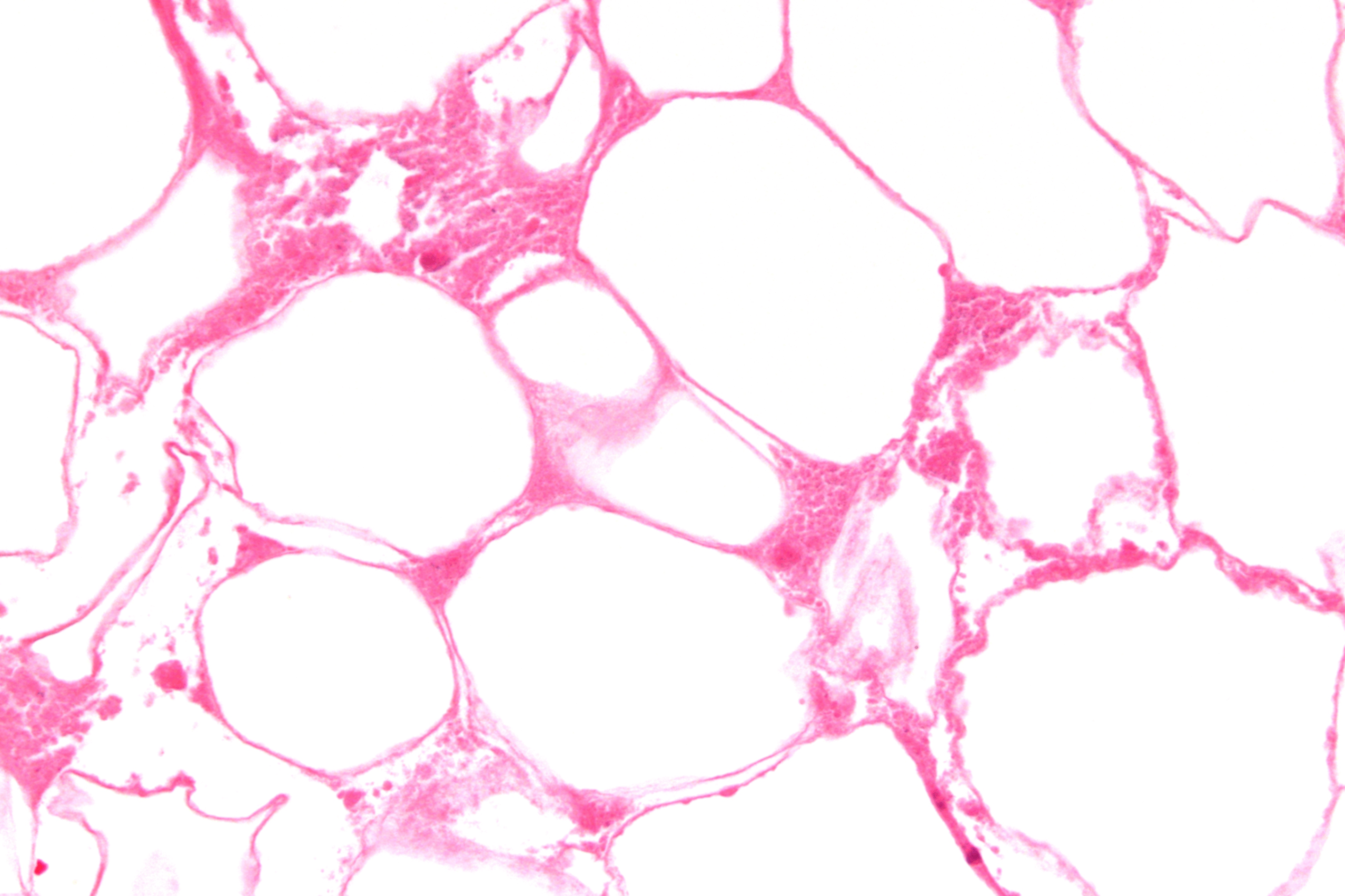
지방괴사(Fat) | • 지방 분해효소(리파아제)에 의해 중성지방 → 지방산 • 지방산 + 칼슘 → 비누화(saponification) | •분홍색 무정형 침착물 • 비누 같은 외관 • 종종 석회화 동반 | • 급성 췌장염 시 복막 지방 조직 • 유방 외상성 지방괴사 |
괴저괴사(Gangrenous) | • 보통 응고괴사 + 세균감염 → 액화괴사로 진행 • 혈류 차단 + 감염 | • 조직 검게 변색, 악취 • 건성(응고) / 습성(감염 동반 액화)로 나눔 | • 사지 말단부 괴사 (특히 당뇨, 말초혈관질환) • 장간막 폐색 시 장괴사 |
섬유소양괴사(Fibrinoid) | • 면역복합체(Ag-Ab) + 혈관 손상 • 혈관벽에 혈장단백 (특히 fibrin) 침착 | • 혈관벽이 밝은 분홍색(fibrinoid appearance) • 괴사된 혈관벽 구조 소실 | • 혈관염 • 악성 고혈압의 소혈관 손상 |
Renal cortical infarction showing coagulative necrosis, Wikimedia Commons
Tuberculous lymph node with caseating granuloma 40X, Wikimedia Commons
Fat necrosis, Wikimedia Commons
Gangrene foot, Wikimedia Commons
Fibrinoid necrosis, Wikimedia Commons
Reference: Robbins and Cotran, Pathologic Basis of Disease, 10e