사르코이드증

이론과 하이라이트 히스토리를 확인 할 수 있어요.

사르코이드증 (Sarcoidosis)

1. 개요

원인을 알 수 없는 전신성 육아종성 질환

• 다양한 장기를 침범하지만 폐와 림프절 침범이 가장 흔함

특징적인 병리학 소견: 비건락성 육아종(non-caseating granulomas)

• 흔히 젊은 성인, 특히 흑인 여성에서 많이 발생

2. 병리기전

면역반응

- 미상의 항원에 대해 CD4⁺ T세포 중심의 Th1 면역반응 활성화

- IFN-γ, IL-2 증가 → 대식세포 활성화

육아종 형성

- 활성화된 대식세포가 epithelioid cell, Langhans giant cell로 분화하여 비건락성 육아종 형성

• 전신 염증

- 조직 내 사이토카인(IL-1, TNF 등)에 의해 전신성 염증반응과 섬유화 유도 가능

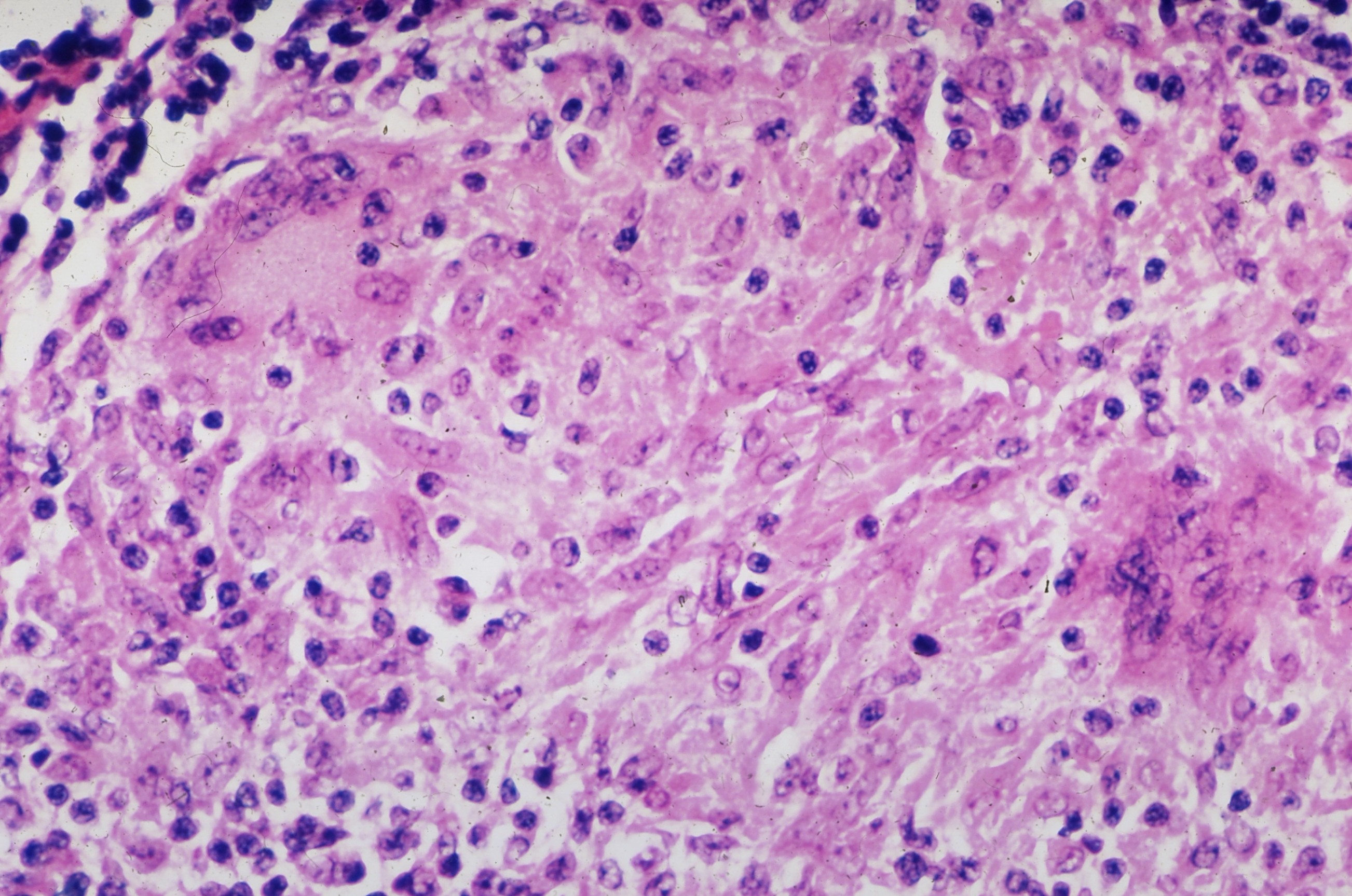
3. 조직학적 소견

폐문 림프절, 폐간질, 피부, 눈, 간 등 다양한 기관에서 비건락성 육아종

- 중심 괴사가 없고, epithelioid macrophage와 거대세포로 구성

• 거대세포 내 포함물

- Schaumann bodies: 층판형 칼슘과 단백 침착물

- Asteroid bodies: 방추 모양 스타 형태의 세포내 구조

※ 특이성은 낮음

Sarcoidosis - Non-necrotizing granuloma with multinucleate giant cells, Dr Yale Rosen Atlas of Pulmonary Pathology, Flickr

Reference: Robbins and Cotran, Pathologic Basis of Disease, 10e