근골계의 종양

근골계의 종양

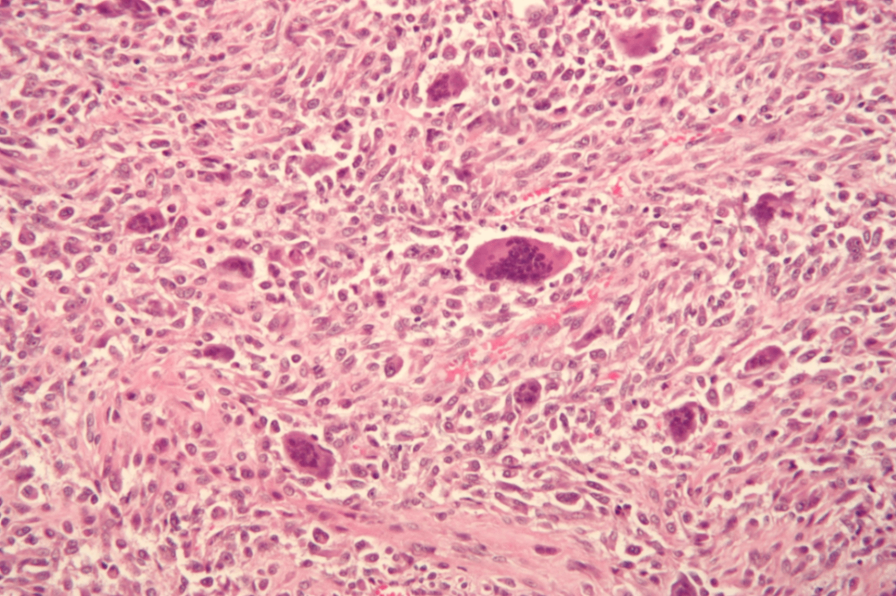
1. 골육종 (Osteosarcoma)

1) 개요

• 골육종은 뼈에서 발생하는 원발성 악성 종양으로, 전체 뼈암의 약 20%를 차지한다. 사춘기 성장 급증 시기에 발생률이 가장 높으며, 장골의 골간단(metaphysis) 부위에 호발한다

• 뼈의 통증이 가장 흔한 초기 증상으로, 병적 골절이 동반되기도 한다. 종양의 진행에 따라 인접 조직을 침범하여 통증이 심화되거나 부종이 발생할 수 있다

2) 방사선 소견

파괴적이며 혼합성 용해성(lucent)과 골형성(blastic) 병변이 특징적이다

종양이 골막을 들어올리며 Codman 삼각형(Codman triangle)이라는 특징적 방사선 소견을 보인다.

Codman triangle, Wikimedia Commons

3) 병리학적 소견

• 육안 소견으로는 거칠고 회백색의 덩어리로, 출혈과 낭성 변성이 동반된다. 수질강으로 확산되어 조혈골수를 대체하며, 드물게 관절을 침범할 수 있다.

• 조직학적으로는 다형성(pleomorphism)이 두드러지며, 큰 과염색성(hyperchromatic) 핵과 거대 세포(bizarre tumor giant cells)가 관찰된다. 유사분열이 활발히 일어나며 tripolar form과 같은 비정상적 분열 형태를 보이기도 한다.

• 종양 내 광범위한 괴사가 발생하며, 혈관 내로 침범하는 경향이 있다. 이러한 특성은 종양의 공격성과 전이 가능성을 시사한다.

• 악성 세포는 무기질화되지 않은 골 또는 무기질화된 뼈를 형성하며 이를 통해 진단이 확정된다. 형성된 구조는 fine and lacelike 하거나 broad sheet 또는 trabeculae 형태를 가질 수 있다

• 주요 유전자 변이로는 RB 유전자, Tp53 유전자, CDKN2A 유전자가 있다. 이러한 유전자 변이는 세포 주기의 조절 이상을 유도하여 종양 형성을 촉진한다.

Osteosarcoma, Wikimedia Commons

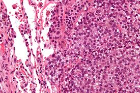
2. 연골육종 (Chondrosarcoma)

1) 정의

• 연골육종은 연골(cartilage)을 생성하는 악성 종양이다. 골육종(osteosarcoma) 다음으로 흔한 악성 기질(matrix)을 생성하는 골종양이다.

• 주로 중년 및 고령층에서 발생하며, 서서히 진행하는 통증과 국소 부종이 주요 증상이다. 뼈 내부와 인접 연부 조직을 침범하여 점진적으로 악화된다.

2) 병리학적 소견

• 덩어리가 크고 회백색 또는 반투명한 연골로 이루어진 결절성 구조를 보인다. 종양의 기질은 종종 젤라틴상 또는 점액질(myxoid)로,절개면에서 점액성 물질이 흘러나올 수 있다.

• 부분적으로 석회화된 부위(spotty calcifications)가 관찰되며, 중심부 괴사로 인해 낭성 공간(cystic spaces)이 형성되기도 한다

Chondrosarcoma, Wikimedia Commons

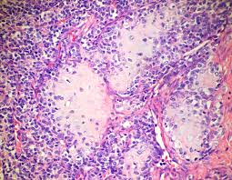
3. 유잉육종 (Ewing Sarcoma)

1) 정의

유잉육종은 미분화 원시 원형 세포(primitive round cells)로 구성된 악성 골종양이다

• 소아에서 두 번째로 흔한 골육종 그룹으로, 주로 장골의 골간부(diaphysis)와 골반의 평편뼈(flat bones)에서 발생한다.

• 주로 대퇴골과 골반의 긴 뼈 골간부에 발생하며, 수질강(medullary cavity)에서 시작하여 피질(cortex), 골막(periosteum), 연부 조직(soft tissue)으로 침범한다.

• 통증과 함께 커지는 종괴로 나타나며, 병변 부위는 압통, 열감, 부종이 동반된다. 전신 증상으로 발열, 적혈구 침강 속도(ESR) 증가, 빈혈, 백혈구 증가증 등 염증반응을 시사하는 소견이 자주 동반한다.

2) 병리학적 소견

• 파괴성 용해성 종양으로, 경계가 불규칙하고 벌레 먹은(moth-eaten) 모양으로 주변 연부 조직으로 확장된다. 골막 반응으로 인해 양파껍질 모양(onion-skin appearance)의 반응성 골 형성이 관찰된다.

• 균일한 작은 원형 세포(small round cells)로 이루어진 병변으로, 세포질이 거의 없거나 풍부한 당원(glycogen)으로 인해 투명해 보인다. 신경외배엽 기원을 나타내는 Homer-Wright rosettes가 존재할 수 있다.

EWSR1 gene(chromosome 22)과 FLI1 gene(chromosome 11) 간의 balanced translocation 인해 EWSR1/FLI1 fusion gene이 생성된다. 해당 단백질은 염색질과 결합하여 전사(transcription)의 조절을 방해해 통제되지 않은 성장과 비정상적 분화를 유도한다.

Ewing sarcoma, Wikimedia Commons

Reference: Robbins and Cotran, Pathologic Basis of Disease, 10e

근골격계 질환

관절염 (arthritis)

조혈계 질환

다발골수종