난소상피의 종양

난소상피의 종양

1. 난소의 장액성 종양 (Serous tumors)

1) 개요

• 난소 장액성 암종은 두 가지 주요 형태로 나뉜다:

① 저등급 암종 (Low-grade carcinoma)

② 고등급 암종 (High-grade carcinoma)

• 이 분류는 핵 이형성(nuclear atypia)의 정도에 따라 나뉘며, 이는 환자의 생존율과 밀접하게 연관되어 있다.

저등급 암종은 흔히 장액성 경계성 종양(serous borderline tumor)과 연관되어 발생한다.

고등급 암종은 주로 fimbriae에 발생한 in situ lesion 또는 serous inclusion cyst에서 기원한다.

Robbins and Cotran Pathologic Basis of Disease, 10e, pg 1018

2) 병리학적 소견

• 육안적으로는 섬유성 벽으로 둘러싸인 multicystic lesion으로, 그 안에 papillary epithelium가 존재한다.

• 현미경적으로는 섬모가 풍부한 columnar epithelium로 덮인 낭 구조가 관찰되며, 상피의 미세한 유두구조(papillae)가 관찰된다.

• 이 상피세포들이 섬세한 유두 구조로 자라나는 경우를 micropapillary carcinoma이라 부르며, 이는 저등급 장액성 암종의 전구 병변으로 여겨진다.

• 이러한 serous borderline tumor는 유두 구조의 복잡성 증가, 상피의 stratification, 경미한 핵 이형성을 보이지만 기질 침윤은 나타나지 않는다.

• 반면 고등급 장액성 암종은 더 복잡한 성장 양상과 광범위한 기질 침윤 또는 기질의 frank effacement가 관찰된다. 이 암종은 뚜렷한 핵 이형성, 핵 다형성(pleomorphism), 비정형 유사분열(atypical mitotic figures), 다핵세포(multinucleation)를 특징으로 한다.

• 난소 장액성 종양은 peritoneum과 omentum으로 전이되는 경향이 강하며, 복수가 동반되는 경우가 흔하다.

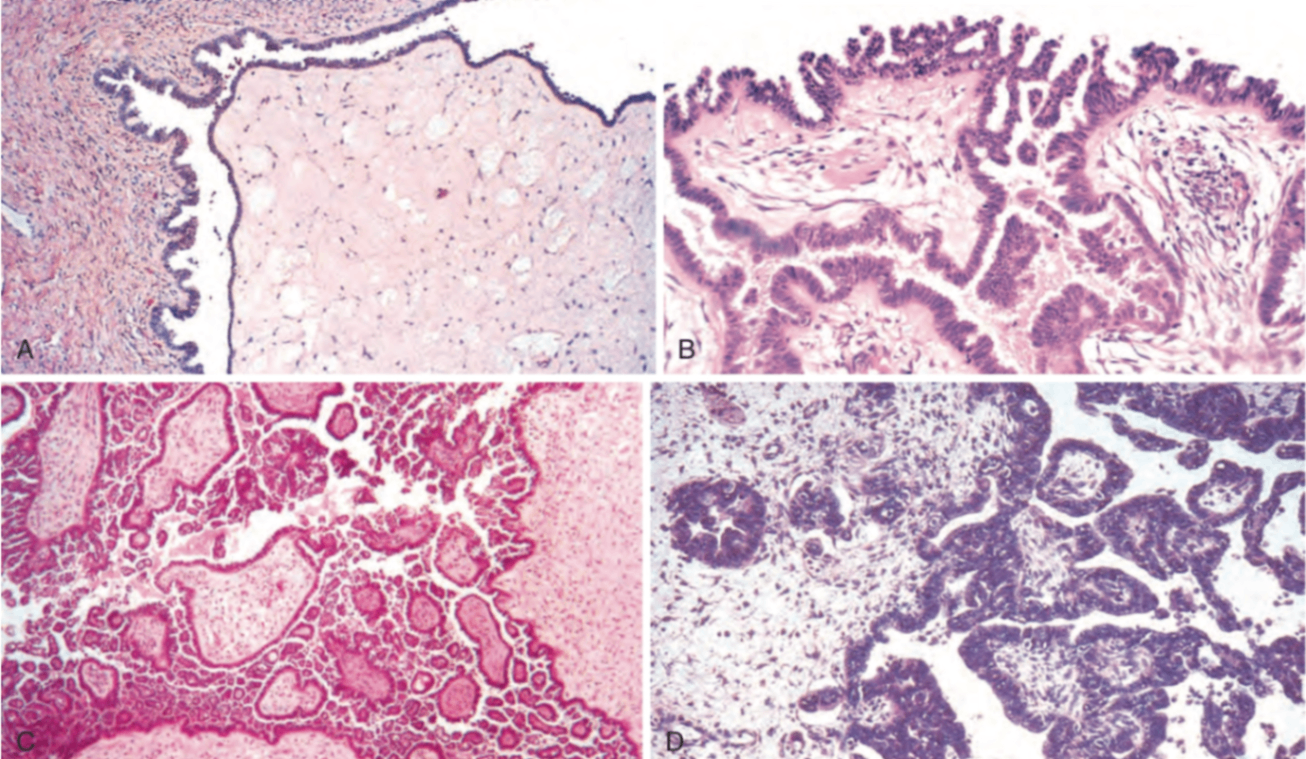
(A) serous cystadenoma revealing stromal papillae with a columnar epithelim

(B) borderline serous tumor showing increased architectural complexity and epithelial cell stratification

(C) complex micropapillary growth defines a low-grade "micropapillary" serous carcinoma

(D) high-grade serous carcinoma of the ovary with invasion of underlying stroma

Robbins and Cotran Pathologic Basis of Disease, 10e, pg 1020

2. 난소의 점액성 종양 (Mucinous tumors)

• KRAS 돌연변이가 일관되게 나타난다

• 점액성 종양은 일반적으로 크기가 큰 낭성 종괴(cystic mass)를 형성한다.

• Multiloculated cyst이며, 내부는 glycoprotein이 풍부한 sticky, gelatinous fluid으로 구성된다.

1) 조직학적 소견

• 조직학적으로는 섬모가 없는 tall columnar epithelial cells가 내강을 따라 배열되어 있으며, 세포의 apical side에 mucin을 함유한다

• 또한, confludent glandular growth가 관찰되며, 그 형태는 장관의 관상선종(tubular adenoma) 또는 융모선종(villous adenoma)과 매우 유사하다.

Robbins and Cotran Pathologic Basis of Disease, 10e, pg 1021

Reference: Robbins and Cotran, Pathologic Basis of Disease, 10e

생식기 질환 & 여성질환

자궁의 질환

생식기 질환 & 여성질환

임신영양막병