폐암 - 폐암

: Lung cancer

다양한 암 중에서도 유병률과 치명률이 모두 높아 매우 중요한 질환이다. 폐암의 치료는 굉장히 빠르게 발전하고 있고 임상적으로 중요하지만, 지금까지는 시험에서 폐암의 직접적인 치료를 물어보지는 않는 경향이다.

1. 개요

1) 분류: 크게 NSCLC와 SCLC로 나뉨

비소세포암

(non-small-cell lung cancer, NSCLC)

소세포암

(small-cell lung cancer, SCLC)

편평세포암종(squamous cell carcinoma)

흡연과 높은 연관성

중심 기도에 잘 침범

• 신경내분비세포(neuroendocrine cell)에서 기원함

흡연과 높은 연관성

중심 기도에 잘 침범

신생물딸림증후군 주로 유발

샘암종(adenocarcinoma)

여성, 비흡연자에서 호발

기타

대세포암종(large-cell carcinoma)

• 육종양암종(sarcomatoid carcinoma)

2) 위험인자

(1) 흡연: 가장 중요하며, 인과관계가 입증되었음 (간접흡연, ex-smoker도 포함)

(2) 환경/직업성 노출: 석면, 니켈, 비소 등

(3) 방사능: 전리방사선(ionizing radiation), 라돈 등

(4) 기저 폐질환: COPD, 폐결핵

2. 임상양상

무증상인 경우도 많으며, 증상이 있을 때 발견되는 경우는 암이 진행된 경우가 많다.

1) 주호소

(1) 기침: 가래가 동반되기도, 없기도 함

(2) 객혈: 대량 객혈은 드묾

(3) 호흡곤란

(4) 흉통: 주로 흉막성 통증(pleuritic pain) → 종양이 pleura를 침범했음을 시사

2) 기타 증상 및 징후

(1) 전신 증상: 식욕부진, 체중감소, 피로, 발열, 야간발한

* 폐결핵과 매우 유사한 증상을 보이므로 감별이 반드시 필요하다.

(2) 국소적 천명음(wheezing) or 협착음(stridor): 기관지 협착/폐색을 시사

(3) 종양의 침범/압박에 의한 다양한 증상

① 쉰 목소리(hoarseness): Recurrent laryngeal n. 압박/침범

② 신경 침범: 횡격막 마비(phrenic n.), Horner 증후군(교감신경), 팔 통증(C8~T2 신경) 등

* 폐암 중 apex 근처에 발생해 brachial plexus와 교감신경 등을 침범해 상지 통증 등을 일으키는 폐암을 superior sulcus tumor(Pancoast tumor)라고 부른다.

③ 삼킴곤란: 식도 압박

SVC syndrome: SVC 압박

목 덩이: Cervical/supraclavicular LN 전이

3) 신생물딸림증후군(paraneoplastic syndrome)

(1) 정의: 종양이 분비하는 물질에 의해서 발생하는 임상양상

(2) 예시: 주로 SCLC, squamous cell carcinoma에 의해서 발생

Hypercalcemia: PTH 혹은 PTH-related peptide(PTHrP)가 원인

Hyponatremia: SIADH 또는 atrial natriuretic peptide(ANP)가 원인

쿠싱증후군: ACTH가 원인

④ Skeletal-connective tissue syndrome: 곤봉지, 기타 골격근/신경 이상

3. 검사소견

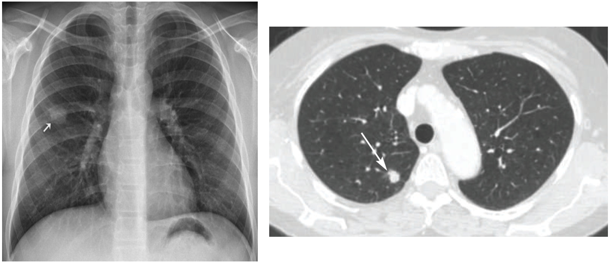
1) CXR

(1) Mass, nodule: m/c

* CXR에서 mass-like lesion이 있을 때 반드시 폐암, 폐결핵, 폐농양을 감별해야 한다.

(2) GGO, cyst, cavitation

(3) 무기폐(atelectasis): Golden S sign (RUL atelectasis + central airway mass), Luftsichel sign (LUL atelectasis + central airway mass) 등

(4) 흉막 삼출(pleural effusion): 악성 흉수나 lymphatic obstruction의 경우 발생

2) 저선량 흉부 CT: 폐암 고위험군에 대한 조기 검진 검사

• 폐암 국가 암검진: 만 54~74세 + 30갑년 이상의 흡연력이 있는 흡연자 (2년 주기)

* 참고로 미국의 NLST는 폐암 고위험군에서 annual screening을 권장하고 있지만, 국내에서는 2년 주기의 국가 암검진을 시행하고 있다.

3) 일반 흉부 CT: 폐암이 의심되는 모든 환자에서 진행

(1) 종양의 위치, 크기, 성질을 판단

(2) 림프병증 여부, 간/부신의 이상 판단

4. 진단

조직검사가 폐암의 유일한 확진 검사이다.

1) 조직검사

(1) 기관지내시경: 기관지에서 접근하기 쉬운 central lesion 위주로 사용

경기관지 바늘흡인(transbronchial needle aspiration, TBNA)

경기관지 폐생검(transbronchial lung biopsy, TBLB)

* TBNA/TBLB는 필요시 기관지내초음파(endobronchial ultrasound, EBUS)의 도움을 받는다.

(2) 경피적 조직검사: 경피적으로 접근하기 쉬운 peripheral lesion 위주로 사용

(3) 수술적 조직검사

* 경기관지/경피적 조직검사에서 악성일 가능성이 높아 어차피 수술을 해야 할 것 같다면, 사전 조직검사 없이 바로 수술을 시행해 직접 검체를 채취하고, frozen-section 등을 통해 수술 중 병리 판독을 확인한 뒤 악성이 확인되면 그 자리에서 lobectomy 등 근치적 수술을 진행하는 과정을 거칠 수도 있다.

2) 기타

(1) 종격동 LN 관련 검사

① 기관지내시경초음파 + 바늘흡인(EBUS-TBNA)

② 식도내시경초음파 + 세침바늘흡인(endoscopic ultrasound fine needle aspiration, EUS-FNA)

③ 종격동경 수술(mediastinoscopy)

(2) 기타 기관지내시경

① 기도 내 병변에 대한 시각적 확인

② 객담/BAL 세포검사: 민감도는 낮지만 적절한 검체가 채취되는 경우 진단 가능

(3) 흉막천자(thoracentesis): 흉수가 있을 경우 흉수 내 세포검사 가능

(4) 유전자 검사(EGFR PCR, ALK IHC, NGS 등): 종양이 표적치료제, 면역치료제에 감수성이 있는지 종양의 유전자 변이를 확인

* 폐암의 전신 항암화학치료의 1st line은 일반적인 세포독성항암제가 아니라 표적치료제/면역치료제이기 때문에 유전자 검사를 시행하는 것이 매우 중요하다. 진행성 폐암에서는 유전자 검사가 필수적이고, 조기 폐암이라고 하더라도 유전자 검사 결과에 따라 치료 방침이 달라질 수 있어 유전자 검사를 고려하도록 한다.

(5) 뇌 자기공명영상(brain MRI): 신경학적 증상이 동반된 폐암에서 brain MRI 시행이 필요함, SCLC의 경우 진단 시점에서 무증상 뇌전이가 10-24%까지 있을 수 있으므로 모든 SCLC 환자에서 초기에 뇌 자기공명영상를 시행

5. 고립성 폐결절(solitary pulmonary nodule, SPN)

1) 정의: CXR/CT상 주위의 정상 폐실질과 분명한 경계를 나타내는 1~6cm 크기의 단일 음영

2) 분류

(1) Calcification에 따른 분류: 특정한 모양의 calcification은 양성을 시사

• 폐실질이 검게 보이는 일반 window에서 평가

(2) Solid 양상에 따른 분류: Solid, sub-solid, ground-glass로 구분

• 폐실질이 잘 보이는 lung window에서 평가

3) 무증상, 우연히 발견된 SPN에 대한 진단적 접근

* 유증상, 림프절비대 등 악성 관련 소견이 있다면 폐암의 가능성이 더 높으므로 아래에 서술된 것보다 더 적극적인 검사가 필요하다.

(1) 추가적 검사 불필요한 경우

2년 전과 비교해서 크기 변화 없음

양성을 시사하는 calcification

(2) 추가적 검사가 반드시 필요한 경우 (일반 흉부 CT ± PET ± 조직검사 ± 수술)

① Solid: ≥ 15 mm or (≥ 8 mm + 새로 생기거나 커짐)

② Subsolid: Nodule 중 solid한 부분이 (≥ 8 mm or (≥ 4 mm + 새로 생기거나 커짐))

(3) 기타: 참고

6. 치료

1) 비소세포폐암

(1) 수술: 근치적 절제가 가능한 경우 (일반적으로 stage ⅢA N1까지)

(2) 항암화학치료

① 보조 항암화학치료(adjuvant): 수술 후 잔여 암 조직의 근치적 제거를 위해 시행

② 선행 항암화학치료(neoadjuvant): 수술적 근치적 절제를 위해 수술 전 시행

③ 전신 항암화학치료(systemic): 유전자 검사 후 유전자 변이에 따라 치료제 선택

(3) 방사선치료

2) 소세포폐암

(1) 제한기(Limited stage)

CCRT가 기본적인 치료이지만 일부 stage I에서는 근치적 절제 + 보조항암화학요법 시행 고려 가능

② CCRT에 적절하게 반응하는 경우에는 예방적 전뇌 방사선 조사 시행이 권고됨

(2) 광범위기(Extensive stage): 항암화학치료 + immunotherapy

3) 폐암의 합병증에 대한 치료

(1) 신생물딸림증후군: 다음 단원 참고

(2) 위대정맥증후군: 다음 단원 참고

(3) 뇌 전이: 뇌 전이가 확인되면 전이 병변의 크기와 개수에 따라 정위적 방사선 수술 요법, 전뇌 방사선 조사 등을 시행

(4) 척수 전이: 종양에 의한 척수 압박이 있으면 high dose steroid + palliative CTx/RTx를 시행

폐암 정리

위험인자

• 흡연, 석면/니켈/비소, 전리방사선/라돈

• 기저 폐질환: COPD, 폐결핵

임상양상

• 무증상

• 기침, 객혈, 호흡곤란, 흉통

• 체중감소, 목 덩이, 국소적 천명음 등

검사소견

• CXR/CT상 mass, nodule, cavitation, 무기폐 등

진단

• 기관지내시경 조직검사: Central lesion

• 경피적 조직검사: Peripheral lesion

SPN에 대한 접근

• 즉각적 추가 검사 불필요

- 크기 변화 없음

- Complete/central/lamellar/popcorn calcification

치료

• NSCLC: 수술이 가능하면 수술, 그렇지 않으면 유전자 변이에 따른 항암화학요법

• SCLC: limited stage는 CCRT, extensive stage는 CTx + immunotherapy

• 폐암의 합병증에 대한 치료

호흡기

간질성 폐질환 - 간질성 폐질환

호흡기

폐암의 합병증 - 신생물딸림증후군