흉막과 종격동 질환 - 기흉

: Pneumothorax, 공기가슴증

급성 흉통 환자에서 항상 의심해야 하는 질환이며, CXR 소견을 바탕으로 기흉을 진단할 줄 알아야 한다. 또한 경과관찰/산소, 바늘 흡인, 흉관 삽입 중 어떤 치료를 선택할지를 기흉의 종류와 심각도에 따라 결정하는 것 또한 중요하다.

1. 총론

1) 정의: 폐-흉벽 사이 공간인 흉막강에 공기가 차는 현상

2) 분류

(1) 일차성 자발성 기흉: 원인 질환 없이 발생한 기흉

(2) 이차성 자발성 기흉: 원인 질환에 의해 발생한 기흉 (ex. COPD, 폐암 등)

(3) 외상성 기흉: 외상에 의해 발생한 기흉

(4) 의인성 기흉: 진단적/치료적 시술에 의해 발생한 기흉 (ex. 흉수천자, 인공호흡기)

(5) 월경성 기흉(catamenial): 월경과 동시에 발생하는 기흉 (횡격막의 defect, 자궁내막증과 연관되어 있을 것으로 추측)

3) 임상양상

(1) 주호소: 흉막성 흉통(pleuritic pain), 호흡곤란

급성, 국소적 흉통

② 악화요인: 심호흡, 기침 등

(2) 폐 청진

① 청진: 호흡음 감소

② 타진: 과공명(hyperresonance) (↔ 무기폐, 흉막 삼출은 둔탁음)

③ 촉진: 성음진탕(tactile fremitus) 소실

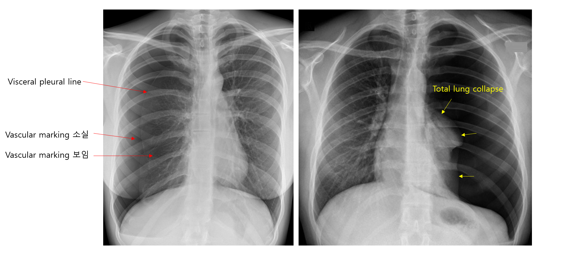
4) 검사소견: CXR

(1) 얇은 pleural line이 보임: Visceral pleura가 보이는 것

기흉의 부피가 커서 폐가 collapse된 경우 line의 형태로 보이지 않을 수 있음

(2) Pleural line 바깥쪽으로 vascular marking의 소실

* 단순히 pleural line이 보이는 것뿐만 아니라, pleural line이 흉강을 따라 끊어지지 않고 tracing이 가능해야 하며 vascular making의 소실이 동반되어야 기흉으로 진단할 수 있다. 피부가 접혀있는 흔적(skin fold), scapula 등이 pleural line으로 오인될 수 있기 때문이다.

5) 진단

(1) CT: CXR 해석이 어려울 때, 동반 폐질환 감별이 필요할 때

(2) Lateral decubitus X-ray: CXR 해석이 어려울 때

(3) 폐 US: bedside에서 기흉 유무를 확인할 때 유용함

6) 치료 방법

(1) 폐실질의 천공이 저절로 닫히기를 기다리는 방법

산소 공급하며 추적 관찰

② 바늘 흡인(needle aspiration): 얇은 바늘 카테터를 넣고 syringe를 수동으로 당겨 공기 흡인

③ 흉관/카테터 삽입(chest tube): 굵은 흉관/카테터를 넣어 공기가 자동으로 배출되게 함

바늘 흡인

흉관/카테터 삽입

천공이 이미 닫혔다는 것을 어느 정도 전제로 함

천공이 닫히기까지 오랜 시간이 걸릴 것을 전제로 함

입원기간 없음~짧음

입원기간 더 김*

통증 적음

통증 많음

반복 시행이 필요할 수 있음

반복 시행은 드묾

* 흉관/카테터를 삽입한 이후에도 입원하지 않고 Heimlich valve라는 장치를 달고 퇴원하는 경우도 있기는 하다.

(2) 폐실질의 천공을 의도적으로 닫는 방법

① 수술: 기흉의 원인이 되는 천공 부위를 절제

• 흉강경(thoracoscopy), 개흉(thoracotomy) 모두 가능하나 전자가 선호됨

② 흉막유착술(pleurodesis): 폐와 흉곽을 영구적으로 이어붙여 흉막공간을 없애는 시술

• Talc, tetracycline 등 약물을 이용할 수도, 수술적으로 시행할 수도 있음

* 천공이 닫히기만 한다면, pleural space로 이미 빠져나온 공기는 저절로 천천히 흡수된다.

2. 일차성 자발성 기흉(primary spontaneous pneumothorax, PSP)

1) 병태생리

(1) 폐 표면에 형성된 공기주머니인 pleural bleb 또는 bullae가 존재함

(2) Bleb/bullae 파열 → 공기가 흉막강으로 새나감

2) 위험인자: 흡연, 키 크고 마른 사람, 남성, 20대 초반

3) 급성기 치료

(1) 산소 공급하며 추적 관찰: 안정적 + 첫 기흉 + 증상이 없음~경할 때

* Hypoxemia가 없어도 산소 공급이 기흉의 자발적 흡수에 도움을 줄 수 있다고 알려져 있다.

(2) 바늘 흡인: 안정적 + 첫 기흉 + 증상이 심할 때

(3) 흉관/카테터 삽입: 아래 적응증에 해당할 때

불안정

문장을 완전히 말하지 못함

BP 비정상, PR ≥ 120, RR ≥ 24, SaO2 < 90

재발성 기흉

③ 추적 관찰, 바늘 흡인 후에도 CXR상 기흉이 지속됨

④ 흉막 삼출 등이 동반됨

* 전통적으로는 큰 기흉(apex로부터 3 cm, hilum level에서 lateral wall로부터 2 cm 등)은 흉관 삽입을 시행해왔으나, 최근에는 기흉의 크기보다는 환자의 증상/징후를 바탕으로 결정을 내리며, 추적 관찰이나 바늘 흡인의 적응증이 점차 확대되고 있는 추세다.

4) 재발 방지 치료

(1) 적응증

재발성

② 흉관/카테터 삽입 후 수 일이 지나도 air leak가 지속 (≒ 천공이 닫히지 않음)

③ 기흉 고위험군 직업/취미활동

(2) 흉강경 수술: 폐기포절제술(bullectomy)

(3) 흉막유착술

3. 이차성 자발성 기흉(secondary spontaneous pneumothorax, SSP)

1) 개요

(1) 원인: COPD(특히 폐기종), 폐암, 폐결핵, 폐렴

(2) PSP에 비해 중증도가 높음

2) 치료

(1) 흉관/카테터 삽입: 1st line

* 치료 선택의 기준이 모호한 PSP와는 달리, SSP는 증상이나 기흉 크기가 매우 경하지 않은 이상 흉관/카테터 삽입을 시행한다. 기저 폐질환으로 인해 폐기능이 좋지 않아 경과가 악화될 가능성이 더 높기 때문이다. 최근에는 바늘 흡인도 흉관/카테터와 동일한 효과를 갖는다는 연구 결과들도 제시되고 있다.

(2) 흉강경 수술, 흉막유착술: Air leak가 지속될 때 or 급성기 치료 후 재발 방지 위해 고려

4. 의인성 기흉(iatrogenic pneumothorax)

1) 원인

(1) 경피적 바늘 흡인/생검

(2) 기계환기

(3) 기타: 흉막천자, 흉막생검, 경기관지 폐생검, 중심정맥관 삽입 등

2) 치료: PSP의 치료와 유사 (천공의 크기가 작으며 재발 가능성이 거의 없기 때문)

• 단, 양압 기계환기에 의해 발생했을 경우 흉관/카테터 삽입 빠르게 시행

* 양압으로 공기를 폐로 넣어주기 때문에 기흉의 크기가 빠르게 커져 긴장성 기흉으로 이행될 가능성이 높아지기 때문이다.

5. 외상성 기흉(traumatic pneumothorax)

1) 원인: Penetrating, blunt 흉부 외상 (외과총론 '흉부 외상' 단원 참고)

2) 치료

(1) 흉관/카테터 삽입: 1st line

(2) 흉강경 수술: Air leak가 지속될 때, airway/식도 손상이 의심될 때

6. 긴장성 기흉(tension pneumothorax)

1) 개요

(1) 정의: 기흉으로 인해 흉강 내 압력이 높아져 호흡과 순환에 문제가 생기는 현상

(2) 병태생리

① One-way valve mechanism으로 인해 흡기에 pleural space로 들어오는 공기의 양이 호기에 나가는 양보다 많아짐

② 이로 인해 흉막강 내 공기가 쌓여 흉막강 내압↑ → 한쪽 폐의 total collapse

③ 따라서 아래 두 가지 현상 발생 → obstructive shock 및 사망

• 정맥환류(venous return)의 감소로 인한 순환부전

• 충분한 공기가 폐로 들어오지 못하여 생기는 호흡부전

(3) 위험인자: (양압)기계 환기, 심폐소생술을 받은 환자에서 자주 발생

2) 임상양상

(1) 주호소: 호흡부전, 청색증, 발한

(2) 기타 징후: 저혈압, 빈맥, 저산소증, 경정맥 확장, 기도 편측 이동

* 시험 문제에서는 일반적으로 저혈압의 유무로 판단하는 경우가 많다.

3) 검사소견: CXR

(1) 종격동이 기흉의 반대편으로 이동

(2) 기흉과 같은 쪽의 횡격막이 아래로 눌림

(3) 기흉과 같은 쪽의 intercostal space가 위아래로 팽창

4) 치료: 즉각적인 굵은 바늘 감압 이후 흉관 삽입

• 시간이 비교적 오래 걸리는 흉관 삽입보다는 임시방편으로 가능한 빠르게 바늘이라도 꽂는 것이 중요

* 흉관 삽입은 아무리 빠르게 해도 준비 시간까지 수 분이 걸리지만, 바늘 감압은 몇 초면 할 수 있다. 정말 급한 때는 CXR을 찍을 때까지 기다리지 않고 신체진찰만으로 판단 후 바늘 감압을 해야 할 때도 있다.

기흉 정리

위험요인

• 일차성: 흡연자, 남성

• 이차성: COPD

• 의인성: 바늘생검, 흉막천자, 기계환기

• 외상

임상양상

• 급성 흉통, 호흡곤란

• 호흡음 감소, 타진 시 과공명

검사소견

• CXR: Pleural line 보임, vascular marking이 보이지 않음

일차성/의인성 기흉 치료

• 안정 + 첫 기흉 + 증상 경함: 경과관찰 (+ O2)

• 재발성 or 불안정: 흉관 삽입

이차성/외상성 기흉 치료

• 흉관 삽입

긴장성 기흉

• V/S unstable

• CXR: Mediastinal shift

• 즉각적인 바늘 감압 → 이후 흉관 삽입

Harrison 21e, p.2200

Murray & Nadel 7e, pp.1539-1550

호흡기

흉막과 종격동 질환 - 흉막 삼출

호흡기

급성호흡곤란증후군 - 급성 호흡곤란 증후군