간담췌-총론 - 복수

[안내]

본 이론에는 연관 이론으로 이동할 수 있는 링크가 포함되어 있습니다.
클릭하시면 해당 연관 이론 페이지로 이동하여 확인하실 수 있습니다.

* 표시가 있는 이론(우측 상단 별표)은 ALLEN25 이용권 보유 시에만 확인 가능합니다.

: Ascites

본 단원에서는 복수 환자에서 원인질환을 감별하는 법과, 결핵성 복막염, 복막암종증 등 복수가 생길 수 있는 질환들을 다루고 있다. 복수의 가장 흔한 원인은 간경변이며, 간경변증에 의한 복수는 해당 단원에서 자세히 다루고 있다.

1. 복수의 개요

1) 원인

(1) 간경변 (m/c, > 80%)

(2) 심장성 복수 (간정맥의 압력 증가)

(3) 복막암종증

(4) 결핵성 복막염

(5) 기타: 간 전이, 췌장염, 신증후군, hypothyroidism 등

2) 임상양상

(1) 복부팽만, 복부 불편감

(2) 장음 감소, 이동둔탁음(shifting dullness), 액파(fluid wave)

(3) 복부 압통 가능, 복막의 염증(감염, 결핵, 암 전이 등)의 경우 반발압통도 가능

(4) 복수가 적은 경우 신체진찰에서 확인되지 않을 수 있음

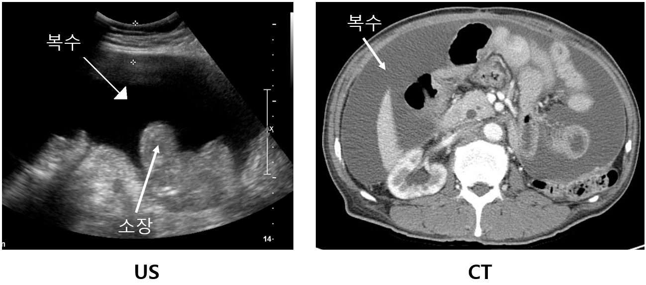
3) 검사소견

(1) US: 복강 내 hypoechoic fluid

(2) CT: 복강 내 hypoattenuating fluid

2. 복수천자(paracentesis)

* 아래 진단적 접근은 흉수의 진단적 접근과 비교해가며 공부하는 것이 이해에 도움이 될 수 있다.

1) 개요

(1) 복수 원인의 감별에 가장 중요한 검사

(2) LLQ의 counter-McBurney point에서 시행

2) SAAG(serum-ascites albumin gradient) = (혈청 알부민) - (복수 알부민)

(1) 원리: 높은 SAAG → hepatic sinusoid의 압력 상승 반영

(2) SAAG ≥ 1.1 g/dL: 대개 transudate

(3) SAAG < 1.1 g/dL: 대개 exudate (nephrotic syndrome 등 예외도 있음)

* 흉수의 진단적 접근에서 Light’s criteria에 해당한다고 볼 수 있다.

SAAG ≥ 1.1 g/dL

SAAG < 1.1 g/dL

간경변

심부전, 교착성 심막염

Budd-Chiari syndrome, IVC 폐쇄

Sinusoidal obstruction syndrome

간 전이암

복막암종증

결핵성 복막염

신증후군

췌장염

담즙 누출

3) 복수 총단백(ascitic protein)

(1) SAAG ≥ 1.1 g/dL일 경우 추가적인 원인 감별

(2) 복수 총단백 ≥ 2.5 g/dL: Hepatic sinusoid가 정상 → 복수로의 단백질 수송 발생중

(3) 복수 총단백 < 2.5 g/dL: Hepatic sinusoid가 손상된 상태

SAAG ≥ 1.1 g/dL일 때

복수 총단백 ≥ 2.5 g/dL

복수 총단백 < 2.5 g/dL

심부전, 교착성 심막염

조기 Budd-Chiari syndrome, IVC 폐쇄

Sinusoidal obstruction syndrome

간경변

후기 Budd-Chiari syndrome

간 전이암

4) 복수 성분에 대한 기타 검사

(1) 감염: 육안상 turbid, glucose↓, LDH↑

(2) 췌장염: Amylase > 1000 mg/dL

(3) 암죽성(chylous) 복수: 육안상 white/milkish, triglyceride > 200 mg/dL

(4) 담즙 누출: 육안상 dark brown

3. 결핵성 복막염(tuberculous peritonitis)

1) 개요

(1) 역학: 폐외 결핵*의 5-10% 내외

(2) 병태생리: 복막의 결핵성 결절들이 protein-rich fluid를 생성하여 복수 발생 가능

2) 임상양상

(1) 복수 관련 증상: 복부팽만, 복통 등

(2) 결핵 관련 증상: 발열, 피로, 체중감소

3) 복수천자 소견

(1) SAAG < 1.1 g/dL (간경변증 동반 시 ≥ 1.1 g/dL일 수도 있음)

(2) WBC 증가, lymphocyte dominant

(3) ADA 상승: > 30~45 U/L

(4) AFB 도말, 배양은 민감도가 다소 낮음 (각각 < 3%, 35~50%)

4) 진단: 복막 생검(복강경 or 개복) 및 배양

5) 치료: 항결핵제

폐결핵 치료와 동일 = 2 HRZ(E) + 4 HR(E)

4. 복막암종증(peritoneal carcinomatosis)

1) 개요

(1) 암종: 일차성 복막암(sarcoma 등), 위/대장/췌장, 난소/유방, 폐, 흑색종 등의 전이

(2) 병태생리

복막의 암세포가 protein-rich fluid 생성

② 이에 대한 삼투작용으로 extracellular space에서 복막 내로 fluid가 이동하여 복수 생성

2) 임상양상

(1) 복수 관련 증상: 복부팽만, 복통 등

(2) 암 관련 증상: 피로, 체중감소

3) 복수천자 소견

(1) SAAG < 1.1 g/dL

(2) WBC 증가, lymphocyte dominant

(3) 세포검사(cytology) 양성

4) 진단

(1) 복막 생검: 복강경 or 개복

(2) 원발암에 대한 검사: 상부/하부위장관 내시경, CT, MRI 등

4) 치료: 간경변의 복수와 달리 약물적 치료에는 잘 반응하지 않음

(1) 치료적 복수천자 반복

(2) 경피적 복수 배액 카테터 삽입(percutaneous drainage catheter, PCD)

(3) Peritoneovenous shunt 등

5. 버드-키아리 증후군(Budd-Chiari syndrome)

1) 병태생리

(1) 혈전, 종양 등에 의해 hepatic v, IVC 등의 liver outflow tract의 폐쇄

(2) 간 혈류의 정체 및 울혈 → ischemic injury 발생

2) 임상양상: 복통, 복부팽만, 복부덩이(간비대) → 황달, 간경변증으로 이행 가능

3) 진단

(1) 복수천자: SAAG1.1 g/dL

(2) 복수의 타 원인 배제: US, CT, MRI

(3) 확진: 간정맥조영술

4) 치료: 보존적 치료, 항응고제, 혈관성형술, TIPS, 간이식 등

6. 굴맥간 폐쇄 증후군(sinusoidal obstruction syndrome)

과거에는 간정맥폐쇄병(veno-occlusive disease)라고 부르기도 했다. 고용량 항암화학요법, 간에 대한 방사선 조사, 조혈모세포이식 이후 우상복부 통증, 복수, 황달 등이 나타나면 의심해야 한다.

1) 병태생리

(1) 조혈모세포이식, 기타 원인 등으로 인해 간손상 발생

(2) Hepatocyte 사이사이에 있는 혈관 조직인 sinusoid에 염증반응 및 섬유화 등 발생 → sinusoid 폐쇄 발생

(3) 이로 인한 간문맥압 증가 → 복수, 간부전 등 발생

2) 진단: 간생검

3) 치료: 중증도와 무관하게 대증치료가 중요함 (수액 투여 제한, 반복적 치료적 복수천자 등), 중증 환자의 경우 defibrotide

복수 환자의 감별진단

SAAG ≥ 1.1 g/dL

SAAG < 1.1 g/dL

복수 총단백 ≥ 2.5 g/dL

복수 총단백 < 2.5 g/dL

심부전, 교착성 심막염

조기 Budd-Chiari syndrome, IVC 폐쇄

Sinusoidal obstruction syndrome

간경변

후기 Budd-Chiari syndrome

간 전이암

복막암종증

결핵성 복막염

신증후군

췌장염

담즙 누출

Harrison 21e, pp.321-324

소화기

간담췌-총론 - 황달과 고빌리루빈혈증

소화기

간담췌-급성 간염 - 급성 바이러스 간염