백혈병 - 백혈병
: Leukemia
백혈병은 시험에 꾸준히 출제되며, APL과 CML에 대한 진단과 치료가 주료 출제된다. 소아에서 호발하는 ALL은 소아 백혈병 파트에서도 다루고 있다.
참고: 혈액암의 분류
1. 급성 골수성 백혈병(acute myeloid leukemia, AML)
1) 개요
(1) 병태생리
① 골수의 myeloid 계열 세포의 분화 과정은 여러 단계로 이루어져 있음
② 위 여러 단계 중 주로 immature한 단계의 세포의 clonal expansion 발생
③ 따라서 골수에서 blast 관찰 → 진행 시 말초혈액에서도 blast 관찰
④ 정상 골수 조혈작용을 방해 → RBC, WBC, PLT에 모두 문제 발생
(2) 역학: 한국 백혈병 중 가장 많음 / 고령에서 호발
2) 임상양상: 비특이적 / 증상만으로 ALL과 AML의 구분은 쉽지 않음
(1) 빈혈 증상: 창백함, 어지러움, 피로
(2) Neutropenia 증상: 발열(감염에 취약)
* CBC 상 WBC가 많아 보이더라도 대부분 blast 계열이고, 정상적인 neutrophil은 오히려 적음
(3) 혈소판감소증 증상: 출혈 경향성(멍, 코피, 잇몸출혈 등)
(4) 기타 증상: 체중감소, lymphatic system 침범시 lymphadenopathy, 간비비대 등
(5) 백혈구증가증(Leukostasis): 백혈구 수가 ≥ 50,000~100,000/mm3일 때 호흡곤란, 두통, 의식저하 등이 나타날 수 있음
* Leukostasis는 AML에서 가장 흔하게 발생하며, CML에서도 나타날 수 있다.
3) 검사소견
(1) CBC
① WBC: 매우 증가 or 감소 → 둘 다 blast 비율이 높음
* 정상적으로 말초혈액에서 blast는 관찰되지 않아야 한다.
② RBC & PLT 감소
(2) PB smear: Blast 관찰
① 핵(보라색)이 크고, cytoplasm이 적음 (= nucleus / cytoplasm(N/C) ratio↑)
② Chromatin(염색질) pattern이 fine (핵이 연함)
* DNA가 빠른 복제를 위해 펴져있기 때문이다.
③ Auer rod: 세포질 내의 바늘처럼 생긴 구조물
• Auer rod가 보이면 AML로 진단할 수 있음
• Auer rod가 보이지 않는다고 AML을 배제할 수는 없음
④ 말초 혈액에서 blast ≥ 20%인 경우 확진 가능
• 그러나 이 경우에도 골수검사 및 분자유전학적 검사를 시행하는 것이 권장됨
(3) 골수검사: Aspiration과 biopsy를 동시에 진행 → blast ≥ 20%인 경우 확진 가능
(4) Immunophenotyping: AML과 ALL 감별
① AML: Myeloid 계열이기 때문에 CD13, CD33 등
② ALL: Lymphoid 계열이기 때문에 CD19, CD20, CD10, CD5 등
(5) 분자유전학적 검사
① t(8;21), inv(16), t(15;17) 등 특정 유전자 이상이 확인되면 blast 비율과 무관하게 AML로 진단할 수 있음
② 검사 결과에 따라 위험군을 분류하고 예후를 평가할 수 있음
4) 치료: APL의 경우 치료가 아예 다름 (아래 서술)
(1) 항암치료: 완전관해(complete remission) 유도 (CBC 정상, BM blast < 5% 등)
• 전통적으로 cytarabine + daunorubicin 기반의 regimen을 관해유도요법으로 사용함
• 관해유도요법 이후 공고항암치료 ± 유지항암치료 시행
(2) 동종 조혈모세포이식(allogeneic HSCT): 근본적 치료
• 고위험군 or 완전관해 실패시 시행
(3) 대증치료: 수혈 적응증 시 농축적혈구, 혈소판 제제 수혈 등
(4) 백혈구증가증에 대한 치료
• 증상이 있거나 증상이 없더라도 혈중 백혈구 수치 > 100,000/mm3이면 치료 시작
• 기저 백혈병에 따른 적절한 항암치료를 시행하도록 하며, 백혈구성분채집술과 hydroxyurea가 도움이 됨
5) 급성 전골수세포 백혈병(acute promyelocytic leukemia, APL)
(1) 병태생리
① 15번, 17번 염색체 translocation t(15;17) → PML-RARα gene fusion
② 전골수세포(promyelocyte) 단계에서 clonal 증식
(2) 임상양상: DIC, pancytopenia가 흔히 동반
(3) 검사소견: PB smear - faggot cell 관찰 (Auer rod 여러 개)

(4) 치료: ATRA 기반 요법으로 치료하며, 위험군에 따라 regimen이 달라짐
① Tretinoin (ATRA, all-trans-retinoic-acid)
• 암세포 사멸이 아니라 더 mature한 단계로의 분화를 유도
② 주의: 레티노산 증후군(retinoic acid syndrome)
• 투여 후 3주 내 호흡곤란, 발열, 폐침윤, 저산소증
• 치료: 스테로이드, 산소, 항암화학요법 → 심각할 시 ATRA 중단
③ 보존적 치료: 동반된 DIC에 대한 치료 등
2. 만성 골수성 백혈병(chronic myeloid leukemia, CML)
1) 정의: MPN이 있는 환자에서 필라델피아 염색체 t(9;22)로 인한 BCR-ABL fusion gene이 생성될 때
* ALL 등에서도 필라델피아 염색체 존재 가능하나 MPN이 아님
2) 임상양상
(1) 주호소: 비장비대로 인한 복부덩이 (골수 외 조혈작용으로 인해 발생)
(2) 체중감소, 식욕부진 등
(3) 서서히 발생하는 빈혈 등
3) 검사소견
(1) CBC: WBC 상승(1만~50만/mm3), 매우 다양한 종류의 혈구세포 (‘백화점’ 소견)
(2) PB smear

4) 치료
(1) Tyrosine kinase inhibitor (TKI)
① 1세대: Imatinib(Gleevec®)
② 2세대: Dasatinib, nilotinib, bosutinib
③ 3세대: Ponatinib
(2) Allogeneic HSCT: TKI에 효과 없는 5%의 환자에게 고려
(3) 임신: TKI 즉시 중단 → 백혈구 분반술(leukapheresis) + hydroxyurea로 치료
3. 급성 림프구성 백혈병(acute lymphoblastic leukemia, ALL)
1) 개요
(1) 병태생리
① Lymphoid 계열 세포 분화 과정의 immature 세포의 clonal 증식
② WHO 분류상 leukemia/lymphoma라고 부름
* 매우 immature 세포인 경우 골수, 림프절을 모두 침범하기 때문에 leukemia가 림프절로 간 것인지, lymphoma가 골수로 간 것인지 알 수 없기 때문이다.
(2) 역학: 소아에서 호발 (학령기 전, 2~4세)
2) 임상양상: AML과 유사
(1) 빈혈 증상: 창백함, 어지러움, 피로
(2) Neutropenia 증상: 발열(감염에 취약)
(3) 혈소판감소증 증상: 출혈 경향성(멍, 코피, 잇몸출혈 등)
(4) 기타 증상: 체중감소, lymphadenopathy, 간비비대, CNS 증상 등
3) 검사소견: AML과 유사하나, Auer rod가 보이지 않음
4) 치료
(1) 항암치료
• 전통적으로 vincristine + prednisolone + daunorubicin + L-asparaginase 기반의 regimen을 관해유도요법으로 사용함
• 관해유도요법 이후 공고항암치료 ± 유지항암치료 시행
(2) 동종 조혈모세포이식(allogeneic HSCT): 근본적 치료
• 고위험군 or 완전관해 실패시 이식이 가능할 경우 시행
(3) CNS prophylaxis
• Lumbar puncture를 통해 척수강에 항암제 투여 (CNS 재발 방지)
• 표준 위험군에서는 관해 유도 초기부터 시행
4. 만성 림프구 백혈병(chronic lymphocytic leukemia, CLL)
1) 개요
(1) Indolent 양상으로 mature 림프구가 증식
(2) 서양에서 가장 흔한 백혈병이며, 동양에는 거의 없음
(3) 평균 60~70세의 고령에 발생
2) 임상양상: 무증상(25%), 림프절비대, 간비비대, B symptoms
3) 검사소견
(1) CBC: 3개월 이상 지속되는 > 5,000/mm3의 lymphocytosis
* 고령에서 특별한 원인 없이 지속적인 lymphocytosis가 있으면 의심하도록 한다.
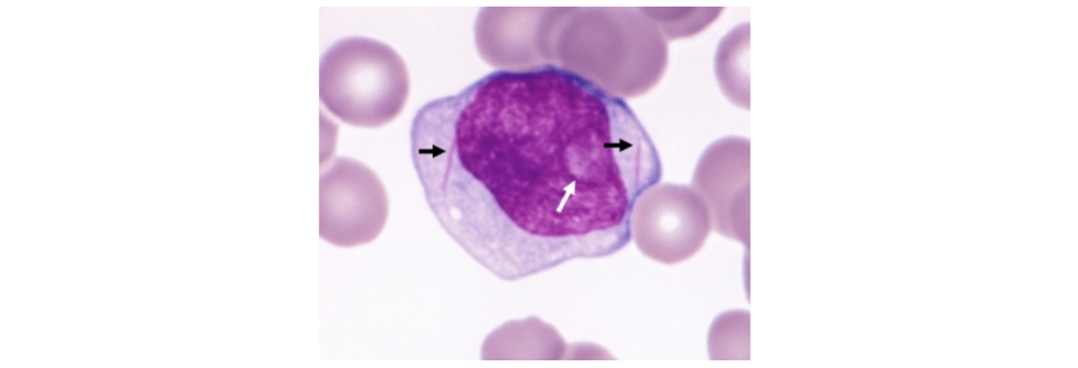
(2) PB smear: “Smudge” or “basket” cells (핵이 으깨져서 나타나는 모습)

(2) 골수생검: 림프구 증가
(3) Immunophenotyping: Clonal B cell > 5,000/mm3
4) 치료
(1) 무증상: 경과 관찰
(2) 표적 치료 기반 요법
① BTK 억제제
② BCL2 억제제 + 항-CD20 항체
* 과거에 많이 사용했던 fludarabine 등을 기반으로 한 항암화학요법은 젊고 건강한 일부 저위험군에서만 시행한다.
(3) Allogeneic HSCT: 매우 제한적으로 표적치료제에 반응하지 않는 고위험 젊은 환자에서 시행
Harrison 21e, pp.809-840
이미지: CLL
혈액
파종혈관내응고 - 파종혈관내응고
혈액
림프종 - 림프종