혈관염 - 혈관염

[안내]

본 이론에는 연관 이론으로 이동할 수 있는 링크가 포함되어 있습니다.
클릭하시면 해당 연관 이론 페이지로 이동하여 확인하실 수 있습니다.

* 표시가 있는 이론(우측 상단 별표)은 ALLEN25 이용권 보유 시에만 확인 가능합니다.

: Vasculitis

류마티스학에서 다루는 주요 자가면역질환의 일종이지만, 류마티스 뿐만 아니라 호흡기, 신장 파트와도 밀접한 연관이 있으므로 잘 알아두어야 한다. 염증의 병소인 '혈관'이 전신에 있으므로 매우 다양한 임상양상을 나타낼 수 있지만, 시험에서는 특징적인 임상양상들만 골라 주어지거나 특징적인 자가항체가 주어지는 경우가 많아 진단 자체가 크게 어렵지는 않다.

1. 개요

1) 정의: 혈관의 염증과 손상이 특징적인 임상병리적 과정

2) 병태생리

(1) 면역복합체, ANCA, 병적인 T cell 반응과 granuloma formation 등에 의한 혈관 내강 손상

(2) 혈관 손상 → 해당 혈관이 담당하는 조직의 허혈 발생

(3) 모든 종류, 크기, 위치의 혈관이 모두 침범될 수 있어 다양한 증후군의 집합으로 나타나며, 한 장기에 국한되기도 하고 전신적으로 나타나기도 함

3) 분류

(1) 일차성

① 대혈관(large-vessel): 대동맥 + 주요 분지 (subclavian, common carotid 등)

② 중혈관(medium-vessel): 주요 내장 혈관 + 주요 분지 (coronary, bronchial, renal 등)

③ 소혈관(small-vessel): 장기실질 내 혈관 + 모세혈관

④ 가변성(variable vessel): 대/중/소혈관에 국한되지 않고 다양한 혈관에 침범 가능

⑤ 단일장기(single-organ): 피부, CNS 등

* 단, 대/중/소혈관염의 분류는 각 질환이 침범하는 혈관의 대략적인 경향성을 나타내는 용어이며, 해당 크기의 혈관만 침범한다는 뜻은 아니다. 즉, 대혈관염이 중혈관에 발생할 수도 있으며, 중혈관염이 소혈관에 발생할 수도 있다.

(2) 이차성

① 전신 질환: SLE, RA, sarcoidosis*

② 기타 원인: B형 간염, C형 간염, 매독, 종양, 약물 등

2. 대혈관 혈관염

대혈관 중에서도 대동맥을 침범할 경우 대동맥염(aortitis)이라고도 부른다.

1) 타카야수 동맥염(Takayasu arteritis)

(1) 개요

① 주로 aortic arch와 그 분지를 침범하는 대/중혈관의 염증성 협착질환

② 역학: 젊은 여성, 아시아인에게 호발

(2) 임상양상: 상지 통증/근력저하

① 말초 맥박 소실/감소(특히 subclavian a.) → 상지의 왼쪽/오른쪽 혈압 차이 발생

② 동맥 잡음(bruit) 청진

(3) 영상검사: CT/MR 동맥조영술(arteriography) - 대혈관의 stenosis/occlusion 관찰

(4) 치료

① 질병 활성도가 낮은 경우: close monitoring하며 경과 관찰

② 이외의 경우: Steroid (+ methotrexate 등) → 호전 없거나 합병증 있으면 경피적/수술적 동맥성형술(arterioplasty)

2) 거대세포 동맥염(giant cell arteritis)

(1) 개요

① 주로 경동맥의 분지, 특히 측두동맥(temporal artery)를 침범하는 대/중혈관의 혈관염

* Temporal a.를 침범하는 것이 워낙 특징적이라 과거에는 temporal arteritis라고도 불렸었다.

② 역학: 50세 이상에게 호발 (↔ Takayasu arteritis는 젊은 여성)

(2) 임상양상

두통 (측두부 통증/압통, 턱관절 통증)

턱을 움직이거나 씹을 때 악화(temporalis muscle이 혈관 자극)

시력저하: Retinal a.로의 혈류 제한

③ 류마티스 다발성 근육통(polymyalgia rheumatica, PMR):

• 거대세포동맥염 환자의 30~50%에서 PMR이 동반되며, 혈관염 없이 단독으로 발생하기도 함

• 대개 50세 이상에서 발생하며, 목/어깨/등 근육의 대칭적인 통증과 조조강직이 특징

(3) 진단

① 혈액검사: CRP/ESR

② 혈관 생검 (위음성 가능성 때문에 최소 1 cm 길이의 생검 필요)

(4) 치료: Steroid (+ tocilizumab, methotrexate, abatacept 등)

3. 결절성 다발동맥염(polyarteritis nodosa, PAN)

중혈관 혈관염 중 본 단원에서 다루는 유일한 혈관염이다. 또 다른 중혈관 혈관염인 가와사키병(Kawasaki disease)은 소아과 각론 결체조직 질환 파트에서 다루고 있다.

1) 개요

(1) 주로 renal, splanchnic artery 등 중/소혈관을 침범하는 다계통 괴사성 혈관염

(2) 역학: 매우 드묾

2) 임상양상: 침범 장기에 따라 다름

(1) 신장: 고혈압, 신기능 저하 등

* 중혈관을 주로 침범하는 질환이기 때문에 소혈관 혈관염과는 달리 사구체신염은 나타나지 않는다.

(2) 소화기: 식후 복통 등

(3) 기타: 고환 통증, 신경병증 등

3) 진단

(1) 침범 장기 조직검사: 피부, 근육, 말초신경 등 접근이 용이할 경우

(2) 혈관조영술: 조직검사 접근이 용이하지 않을 경우 시행 → 혈관의 aneurysmal dilatation 관찰

4) 치료: Steroid + 기타 면역억제제

(1) 경증: Methotrexate, azathioprine 등 추가

(2) 중증: Cyclophosphamide 추가

4. 소혈관 혈관염 - ANCA 연관

ANCA와 연관되지 않은 소혈관 혈관염은 아래 '5. 기타 혈관염' 참고

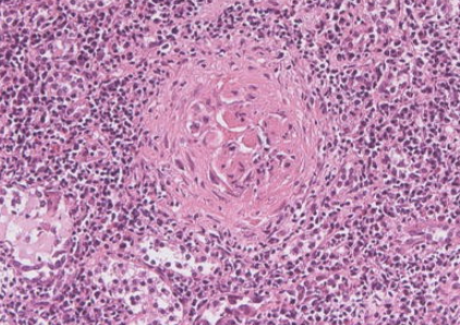
1) 육아종증 다발혈관염(granulomatosis with polyangiitis, GPA, Wegener's granulomatosis)

(1) 개요: 소혈관, 모세혈관에 육아종을 동반한 괴사성 염증을 나타내는 질환

(2) 임상양상

① 상부 호흡기: 부비동염(sinusitis) 양상 - 화농성/혈성 콧물, 부비동 압통, 중이염 등

② 하부 호흡기: 기침, 호흡곤란, 흉통, 객혈

③ 신장: 신염증후군(nephritic syndrome) 양상 - 혈뇨, 단백뇨, 부종, 핍뇨 등

④ 기타: 자반증, 신경염, 결막염, 관절통, 발열/피로 등

(3) 검사소견

① 혈액검사: c-ANCA(+) (= anti-proteinase-3 Ab, anti-PR3 Ab)

* p-ANCA 양성도 드물게 가능하다.

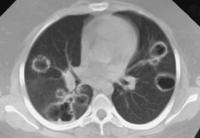
② 영상검사: 흉부 CT - nodular cavitary infiltrates

(4) 진단: 조직검사(주로 폐생검, 신생검) → 육아종을 동반한 necrotizing vasculitis

(5) 치료

① 관해 유도: Steroid + (경증 - methotrexate or MMF / 중증 - rituximab or cyclophosphamide)

② 유지 치료: Rituximab, methotrexate, azathioprine 등

2) 호산구성 육아종증 다발혈관염(eosinophilic granulomatosis with polyangiitis, EGPA, Churg-Strauss syndrome)

(1) 개요: 천식, 호산구증가증, 혈관 외 육아종 형성과 여러 기관계의 혈관염이 특징적인 임상병리적 과정

(2) 임상양상

천식, 알레르기비염: 기침, 호흡곤란, 쌕쌕거림 등

Mononeuritis multiplex: 감각이상, 근력저하

③ 기타: 폐침윤*, 자반증, 발열/피로 등 (신장 양상은 GPA, MPA에 비해 적고 덜 심각함)

(3) 검사소견

① 혈액검사

호산구증가증(eosinophilia): > 1000/mm3

p-ANCA(+)

② 조직검사: GPA와 유사하나, 붉은색의 호산구 침윤이 동반됨

(4) 치료

① 관해 유도: Steroid + (경증 - mepolizumab(anti-IL-5 Ab) / 중증 - rituximab or cyclophosphamide)

② 유지 치료: Steroid + (methotrexate, azathioprine, mepolizumab 등)

3) 현미경적 다발혈관염(microscopic polyangiitis, MPA)

(1) 개요: 소혈관, 모세혈관에 괴사성 염증을 나타내는 질환

(2) 임상양상: GPA와 유사하나, 상부/하부 호흡기 침범은 드묾

(3) 검사소견: p-ANCA(+) (= anti-myeloperoxidase Ab, anti-MPO Ab)

* ANCA-연관 혈관염이면서 GPA와 EGPA가 모두 아니라면 MPA로 분류할 수 있다.

(4) 치료: GPA와 유사

5. 기타 혈관염

1) 면역복합체 연관 소혈관 혈관염

(1) IgA 혈관염: 소아에게 호발(헤노흐-쉔라인 자반증)

(2) 한랭글로불린 혈관염(cryoglobulinemic vasculitis)

① 개요: 추위에 의해 응집되는 globulin이 혈관에 침착되어 발생하는 혈관염 (HCV와 흔히 연관됨)

② 임상양상: 자반증, 관절통, 말초신경염, 사구체신염 등

③ 진단: 혈중 cryoglobulin(+), rheumatoid factor(+), 보체↓

2) 단일장기 혈관염(single-organ vasculitis)

(1) 특발성 피부혈관염(idiopathic cutaneous vasculitis)

① 임상양상: 자반증 등 피부 증상에 혈관염이 국한되어 나타남

② 치료: 대증치료 → 심할 경우 steroid 고려

(2) 일차성 중추신경계혈관염(primary CNS vasculitis)

① 임상양상: 뇌내혈관의 염증 및 stenosis로 인한 의식장애, 국소 신경학적 이상 발생

② 치료: Steroid + cyclophosphamide

3) 가변성 혈관염(variable vasculitis): 대혈관~소혈관 어디에서나 발생 가능

(1) 베체트병(Behçet's disease)

(2) 코간 증후군(Cogan's syndrome)

① 임상양상: 각막염(interstitial keratitis) + 전정/청각 증상, 대동맥염, 대동맥판(aortic valve) 침범

② 치료: Steroid

혈관염 정리

분류

대혈관

중혈관

소혈관

Takayasu

Giant cell

PAN

GPA

MPA

EGPA

키워드

상지 혈류 비대칭

측두부 통증

고혈압, 식후 복통

부비동염, 폐 공동, c-ANCA

p-ANCA

천식, 호산구, p-ANCA

Harrison 21e, pp.2802-2817

류마티스

전신홍반루푸스 - 전신홍반루푸스

류마티스

염증성 근육병증 - 염증성 근육병증