호흡기 질환

/

56

/

56

1번

[MD25]

0

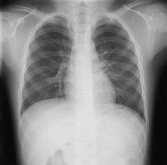
5세 남아가 3주 동안 기침을 계속하여 병원에 왔다. 맥박 70회/분, 호흡 18회/분, 체온 36.8°C이다. 후비루가 보이고 호흡음은 정상이다. 가슴 X선사진과 부비동 X선사진이다. 진단은?

정답률 98%

누적 풀이 횟수 2,000+

평균 풀이 시간18초

/

나의 풀이 시간0

CC

M/5, 기침(3w)

Hx

S/Sx

PR 70 RR 18 BT 36.8

호흡음 정상, 후비루(+)

Lab

Img

CXR: 정상

Waters view: Air-fluid level, mucosal thickening at bilateral maxillary sinuses

Etc


Imp: 상악동염(maxillary sinusitis)

해설

3주 동안 기침이 지속되는 환아에서 후비루가 관찰되고, 부비동 X선 사진에서 maxillary sinus congestion 소견이 확인되므로 상악동염(maxillary sinusitis)으로 진단한다.

• 5세 남아가 3주 동안 지속된 기침을 주호소로 내원하였다.

• 신체 진찰에서 후비루가 관찰되며, 가슴 청진에서 호흡음은 정상이다. 또한, CXR에서도 정상 소견이 확인되어 하부 호흡기 질환의 가능성은 낮다.

• 부비동 X선 사진에서 양측 maxillary sinus에 air-fluid level과 mucosal thickening 소견이 관찰되었다. 이는 상악동염의 전형적인 방사선학적 소견이다.

• 부비동염은 후비루(postnasal drip)를 동반할 수 있으며, 이로 인해 기침이 유발될 수 있다. 본 환아의 3주 이상 지속된 기침은 후비루로 인한 자극성 기침의 가능성이 높다.

• 따라서, 본 환아의 기침은 상악동염(maxillary sinusitis)으로 인해 발생한 것으로 판단할 수 있다.

오답 선지

• 폐렴: 발열, 호흡곤란, 수포음 등 청진 소견과 함께 가슴 X선에서 폐 침윤 소견이 관찰된다. 본 환아는 발열, 호흡곤란 등 특징적인 폐렴 증상이 없으며, X선에서도 이상 소견이 없어 폐렴과 거리가 멀다.

• 백일해: 특유의 발작적 기침(whooping cough)과 구토를 동반하며, 주로 예방접종을 받지 않은 영유아에서 발생한다.

• 기관지결핵: 장기간 지속되는 기침, 체중 감소, 야간 발한, 흉부 X선의 이상 소견 등이 특징이다.

• 편도비대증: 코골이, 무호흡, 연하 곤란 등의 상기도 폐쇄 증상이나 만성 편도염에서 문제가 된다. 본 환아의 증상과 검사 소견은 편도 비대와 연관이 없다.

관련 이론

소아 상기도 질환

Reference

홍창의 소아과학 12e, pp.748-756