호흡기 질환

/

56

/

56

2번

[MD25]

0

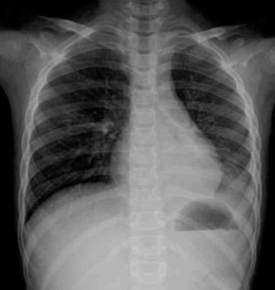
6세 여아가 5일 전부터 기침과 발열이 있어 병원에 왔다. 혈압 90/60 mmHg, 맥박 72회/분, 호흡 20회/분, 체온 37.3°C이다. 혈액검사 결과는 다음과 같다. 가슴 X선사진이다. 검사는?

혈색소 11.2 g/dL

백혈구 7,500/mm3 (중성구 65%, 림프구 27 %)

혈소판 380,000/mm3

적혈구침강속도 15 mm/시간 (참고치, <10)

C반응단백질 28 mg/L (참고치, <10)

정답률 75%

누적 풀이 횟수 2,100+

평균 풀이 시간53초

/

나의 풀이 시간0

CC

F/6, 기침/발열(5d)

Hx

S/Sx

V/S 90/60 72 20 37.3

Lab

ESR↑, CRP↑

Img

CXR: LLLF haziness

Etc

Imp: R/O 미코플라스마 폐렴(mycoplasma pneumonia)

해설

학동기 아동에서 호흡기 감염 소견이 있고 폐렴이 의심되어 진단을 위해 비인두 중합효소사슬검사(PCR)를 시행한다.

6세 여아가 5일 전 시작된 기침과 발열을 주호소로 내원하였다. 현재 체온은 37.3°C로 미열이며, 활력 징후는 안정적이다.

• 혈액검사에서 WBC 수치는 정상 범위이고, CRP와 ESR은 경미하게 상승하였다.

• 흉부 X선에서 LLLF에서 관찰되는 mild opacity가 확인되므로 발열의 원인은 폐렴인 것으로 추정된다.

• 학동기 소아를 흔히 감염시키는 폐렴 원인균 중 Mycoplasma pneumoniae가 있으므로, 이에 대한 nasopharyngeal swab PCR을 시행한다. 이는 M. pneumoniae를 포함한 비정형 병원체 및 바이러스 등을 빠르고 정확히 확인할 수 있으며, 본 환아의 진단을 위한 검사로 적합하다.

Tip

• 미코플라스마 폐렴에서 임상 경과 초기에는 진단에 도움이 되는 특이적인 임상적, 역학적, 검사 소견이 없을 수 있다. 하지만 학동기 아동에서 기침이 주증상인 폐렴은 M. pneumoniae 폐렴을 시사한다.

오답 선지

• 기관지유발검사: 주로 천식을 진단하기 위해 기관지 과민반응을 확인할 때 시행한다. 본 환아는 발열과 기침이 주증상으로, 감염성 원인이 더 의심되므로 적합하지 않다.

• 가래 항산균검사: 결핵균 감염이 의심되는 경우 시행하며, 2주 이상의 지속적인 기침, 체중 감소, 야간 발한 등 전형적인 결핵 증상이 있을 때 고려한다. 본 환아의 임상 양상과는 맞지 않다.

• 기관지세포세척검사: 기관지 내시경으로 세포 세척액을 채취하는 침습적 검사로, 주로 난치성 폐렴, 종양 등을 평가할 때 시행한다.

• 혈청 E면역글로불린검사: 알레르기 질환이나 기생충 감염을 감별하기 위한 검사로, 감염성 폐렴이 의심되는 상황에서는 진단적 가치가 없다.

관련 이론

소아 하기도 감염질환

Reference

홍창의 소아과학 12e, pp.761-768