46번
[임종평23-2]
0
51세 여자가 3일 전부터 식사 후 윗배가 아파서 병원에 왔다. 5년 전 만성췌장염을 진단받고 금주 중이라고 한다. 혈압 131/80 mmHg, 맥박 77회/분, 호흡 18회/분, 체온 36.7℃이다. 배 진찰에서 배는 비교적 부드럽고 장음은 정상으로 들린다. 압통이나 반동압통은 없다. 혈액검사 결과는 다음과 같다. 복부 컴퓨터단층촬영 사진이다. 치료는?
백혈구 5,500/mm3, 혈색소 12.2 g/dL, 혈소판 190,000/mm3
아스파트산아미노기전달효소 35 U/L
알라닌아미노기전달효소 32 U/L
알칼리성인산염분해효소 138 U/L
감마글루타밀전달효소 32 U/L, 총빌리루빈 1.5 mg/dL
녹말분해효소 62 U/L, 지방분해효소 18 U/L

정답률 75%
누적 풀이 횟수 1,700+
평균 풀이 시간52초
/
나의 풀이 시간0초
CC | F/51, 상복부통증(3d, 식후) |
Hx | 5년 전: Chronic pancreatitis → 금주 중 |
S/Sx | V/S 131/80 77 18 36.7, dT/rT(-/-) |
Lab | |
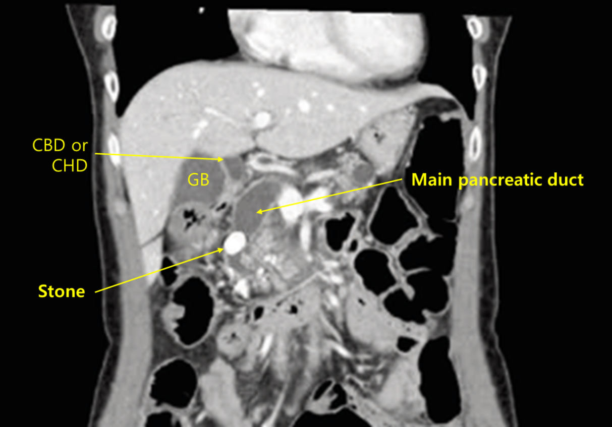
Img | CT: Large main pancreatic duct stone, causing upstream dilatation |
Etc |
Imp: 총췌관담석증(main pancreatic duct stone)
해설
CT상 main pancreatic duct stone이 확인되므로 ERCP with EST를 시행한다.
• 51세 여자가 3일 전 시작된 상복부 통증을 주호소로 내원했다.
• 식후 발생하므로 소화기계 원인이 의심된다. Chronic pancreatitis 과거력이 있으며 금주 중이라고 하나, 재발을 배제할 수 없다.
• Lab상 CBC, AST/ALT, ALP/GGT, bilirubin, amy/lipa 모두 특이사항이 없다.
• 통증의 원인을 확인하기 위해 CT를 시행, CBD 중간에 매우 큰 stone이 확인되며, 이보다 상부로 dilatation이 확인된다. CT상 다른 cut이 주어지지 않아 upstream dilatation이 된 duct가 정확히 무엇인지 단언할 수는 없겠으나, T.bil/ALP가 정상인 점, GB와 intrahepatic duct의 dilatation이 없는 점으로 보아 CBD보다는 main pancreatic duct의 dilatation으로 추정된다.
• Main pancreatic duct stone에 대한 치료는 CBD stone에 대한 치료와 마찬가지로 endoscopic retrograde cholangiopancreatography(ERCP)를 시행하고, endoscopic sphincterotomy(EST)를 시행해 ampulla of Vater를 절개한 후 stone을 직접 물리적으로 빼내는 것이다.
오답 선지
• 경과관찰: Symptomatic stone을 경과관찰할 경우 지속적으로 통증을 일으킬 뿐만 아니라, chronic pancreatitis의 악화로 이행될 수 있으므로 제거해야 한다.
• 이자꼬리절제술(distal pancreatectomy): Pancreatic tail cancer 등에 대한 치료로 사용되는 술식이다.
• 복강경쓸개절제술(laparoscopic cholecystectomy): Symptomatic GB stone 및 acute cholecystitis에 대한 치료로 사용되는 술식이다. Stone이 GB stone에서 유래했을 가능성이 높지만, main pancreatic duct stone에 대한 처치가 우선되어야 하며, 그 이후 GB stone에 대한 평가 및 cholecystectomy를 고려해야 한다.
• 내시경쓸개길배액술(endoscopic biliary drainage): Pancreatobiliary tract의 stone은 removal이 원칙이며, 내시경적으로 biliary drainage stent를 삽입하는 것은 cancer 병변 등에 의해 biliary obstruction이 만성적으로 있을 것이 예상되는 경우 시행하는 술기이다.
관련 이론
• 총담관담석증과 담관염
Reference
• Harrison 21e, pp.2649-2650