40번
[임종평23-2]
0
38세 여자가 3일 전부터 배가 아파서 응급실에 왔다. 1주일에 4~5일 정도 술을 마시는데 한번 마실 때 소주 3병을 마신다고 한다. 최근 여행력이나 약제 복용력은 없다고 한다. 혈압 147/99 mmHg, 맥박 113회/분, 호흡 16회/분, 체온 36.5℃이다. 장음은 감소되어 있고 오목가슴에 압통이 있다. 혈액검사 결과는 다음과 같다. 복부 컴퓨터단층촬영 사진이다. 치료는?
백혈구 14,300/mm3, 혈색소 14.0 g/dL, 혈소판 280,000/mm3
혈액요소질소 8 mg/dL, 크레아티닌 0.2 mg/dL
아스파트산아미노기전달효소 10 U/L
알라닌아미노기전달효소 5 U/L
총빌리루빈 0.3 mg/dL
녹말분해효소 300 U/L, 지방분해효소 400 U/L
중성지방 2,207 mg/dL
Na+/K+/Cl- 122/4.0/88 meq/L

정답률 97%
누적 풀이 횟수 1,600+
평균 풀이 시간34초
/
나의 풀이 시간0초
CC | F/38, 복통(3d) |
Hx | 음주: 주 4~5회, 소주 3병씩 |
S/Sx | V/S 147/99 113 16 36.5, decreased bowel sound, epigastric dT(+) |
Lab | WBC↑, amy/lipa↑, TG↑, Na+/Cl-↓, |
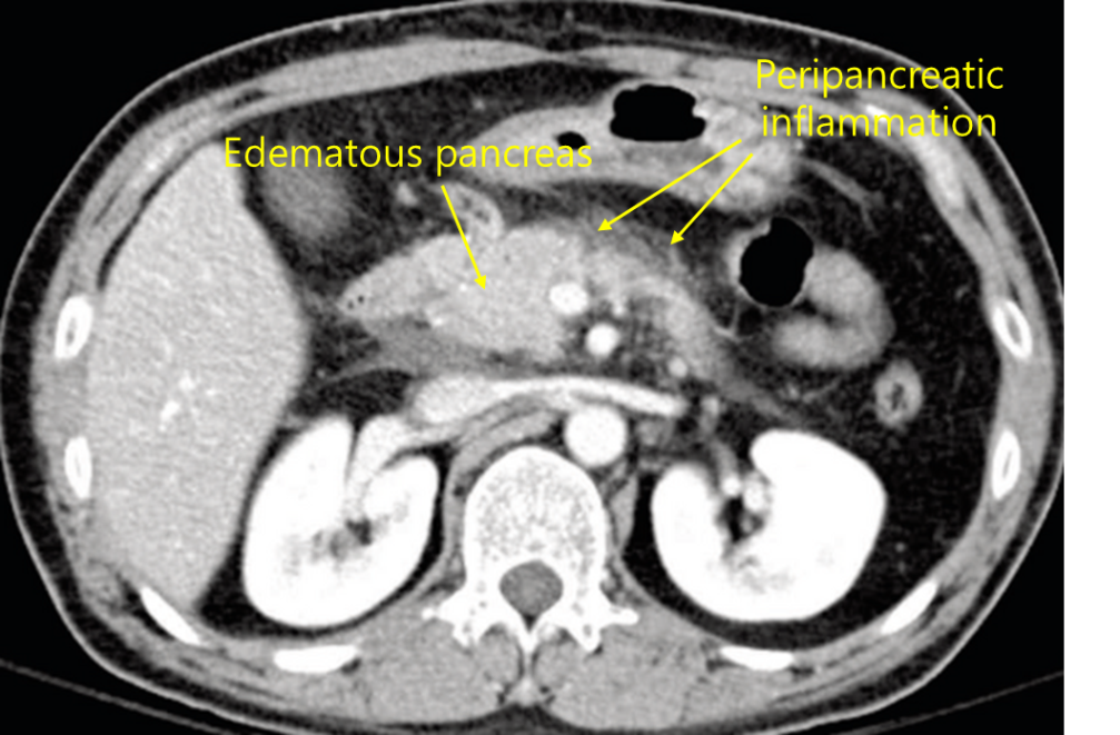
Img | CT: Edematous pancreas, with peripancreatic fluid collections |
Etc |
Imp: 급성 췌장염(acute pancreatitis)
해설
Epigastric pain, amylase/lipase elevation, CT 소견으로 보아 acute pancreatitis 진단 하, IV hydration 및 진통제를 투여한다.
• 38세 여자가 3일 전 시작된 복통을 주호소로 내원했다.
• Epigastric dT가 있으며, 심한 음주력이 있으므로 alcohol-induced functional GI disorder, alcoholic hepatitis, acute pancreatitis 등을 고려해야 한다.
• Lab상 amylase/lipase elevation이 확인된다. 정상 상한치가 주어지지 않아 3배 이상인지는 알 수 없다. 일반적으로 100~150 U/L인 것을 감안하면 정상 상한치의 3배 이상이라고 확실하게 말할 수는 없다. 단, 본 환자는 triglyceride가 2000 mg/dL 이상으로 매우 높은데, hyperTG가 저명한 경우 amylase/lipase 상승이 덜할 수 있으므로 이를 참고해야 한다.
• CT상 edematous한 pancreas와 pancreas 주변의 fluid collection이 확인되며, 이는 acute edematous pancreatitis에 합당한 영상 소견이다.
• Epigastric pain, amylase/lipase elevation, CT 소견 중 최소 2개를 만족하므로 acute pancreatitis로 진단한다.
• Acute pancreatitis의 치료는 NPO, IV hydration, pain control이다.
Tip
급성 췌장염 정리 | |
원인 | • 담석(m/c), 알코올, 고중성지질혈증, 외상, ERCP등 |
임상양상 | • 복통: 상복부, 등으로 방사통, 누우면 심해짐 • 오심/구토, 미열, 빈맥/저혈압 등 |
검사소견 | • Amylase/lipase↑(정상상한치 3배 이상), WBC↑ |
진단 | • US: 담석, 담관확장 확인 • CT: 췌장 실질의 edema, 췌장 근처 조직의 inflammation |
치료 | • 수액 공급, 진통제(아편계), 금식 후 빠른 식이 재개 • 원인 치료: 담석에 황달 동반시 ERCP + EST + stone removal |
오답 선지
• 항생제: 본 증례는 leukocytosis가 있으나 발열 등 기타 감염을 시사할 만한 소견이 저명치 않다. Leukocytosis는 acute pancreatitis에서 흔히 나타날 수 있다.
• 항응고제: Acute pancreatitis의 치료에서 불필요하다.
• 항진균제: 본 증례는 심한 음주력이 있기는 하지만 면역저하자로 보기는 어렵고, 진균 감염을 시사할 만한 소견이 저명치 않다.
• 항바이러스제: 본 증례는 leukocytosis 외 발열 등 기타 감염을 시사할 만한 소견이 저명치 않으며, antiviral이 필요한 특정 바이러스 질환을 시사하는 소견은 더욱 없다.
관련 이론
• 급성 췌장염
Reference
• Harrison 21e, pp.2658-2663