심장막 질환

/

41

/

41

1번

[MD25]

0

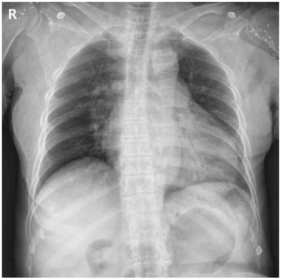
66세 여자가 1주 전부터 기운이 없고 숨이 차서 병원에 왔다. 2년 전부터 말기신장병으로 혈액투석 중이다. 혈압 90/68 mmHg, 맥박 145회/분, 호흡 24회/분, 체온 36.1℃이다. 숨을 들이쉬면 수축기 혈압이 63 mmHg으로 낮아진다. 심음은 저하되고 호흡음에는 이상이 없다. 가슴 X선사진과 심전도이다. 혈액검사 결과는 다음과 같다. 진단은?

혈색소 12.8 g/dL, 백혈구 6,040/mm³, 혈소판 319,000/mm³

C반응단백질 0.8 mg/L (참고치, <10)

혈액요소질소/크레아티닌 45/3.2 mg/dL

Na⁺/K⁺ 138/4.8 meq/L

트로포닌 T 2.2 ng/L (참고치, <14)

뇌나트륨배설펩타이드 2,500 pg/mL (참고치, <100)

D이합체 320 ng/mL (참고치, 220 ~ 740)

정답률 98%

누적 풀이 횟수 2,400+

평균 풀이 시간44초

/

나의 풀이 시간0

CC

F/66, 피로, 호흡곤란(1w)

Hx

ESRD on HD(2y)

S/Sx

V/S 90/68 145 24 36.1, decreased heart sound

SBP 63 mmHg upon inspiration

Lab

BNP↑, BUN/Cr↑

Img

CXR: Cardiomegaly

Etc

ECG: Sinus tachycardia, low QRS voltage, electrical alternans

Imp: 심장 눌림증(cardiac tamponade)

해설

혈압감소, 심음 감소와 함께 흡기시 수축기 혈압이 감소하는 paradoxical pulse, ECG 상 low QRS voltage, electrical alternans가 보이므로 심장눌림증으로 진단한다.

• 66세 여자가 1주 전부터 시작된 피로와 호흡곤란으로 내원하였다.

• CXR 상 cardiomegaly가 확인되며 혈액검사 상 BNP가 증가했으므로 호흡곤란의 원인은 심장성이다.

혈압이 90/68mmHg로 감소하였고, 심음이 감소하였으므로 Beck's triad 중 2가지에 해당하므로 심장 눌림증으로 인한 호흡곤란이 의심된다.

• 흡기 시 수축기 혈압이 63mmHg로 원래 혈압에 비해 10mmHg 이상 감소한 기이맥(paradoxical pulse)과 함께 HR 145회/분의 빈맥이 확인되며 ECG 상 low QRS voltage, QRS complex 크기가 교대로 커지고 작아지는 교대맥(electrical alternans)가 보이므로 심장 눌림증으로 진단할 수 있다.

Tip

심장눌림증 정리

원인

감염성: 바이러스, 세균, 결핵균 등

종양, 외상, 심장 시술/수술

임상양상

호흡곤란, 흉통

Beck's triad: 저혈압, 정맥압 증가, 심음 감소

검사소견

CXR: Water-bottle appearance

ECG: Low QRS voltage, electrical alternans

심초음파: Massive pericardial effusion

치료

심장막천자

오답 선지

• 폐렴: 폐 실질에 감염이 발생한 질환으로 본 증례의 호흡곤란은 심장성 원인이므로 배제할 수 있는 진단이다.

• 폐색전증: 혈전이 폐혈관으로 이동해 폐혈관의 흐름을 막아 적절한 혈액순환이 이루어지지 않는 질환으로 D이합체가 상승한다.

• 사이질폐질환: 폐 간질부의 증식 또는 섬유화에 의해 호흡곤란 등이 나타나는 질환으로 본 증례의 호흡곤란은 심장성 원인이므로 배제할 수 있는 진단이다.

• 급성심근경색증: ECG 상 ST elevation의 상승, 하강 또는 혈액검사 상 심근효소 수치의 상승이 보여야 한다.

관련 이론

심장 눌림증

Reference

Harrison 21e, pp.2021-2023

ESC guideline, 2015