심장막 질환

/

41

/

41

2번

[MD25]

0

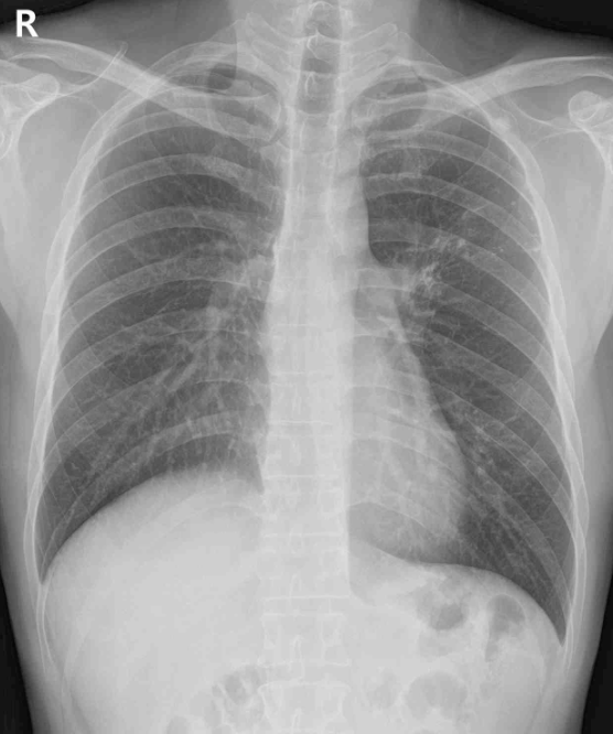
23세 남자가 1주 전부터 가슴이 아파서 병원에 왔다. 통증은 복장뼈 뒤에서 날카로운 것에 찔린 것처럼 느껴졌다. 숨을 들이마시면 심해지고 가슴을 앞으로 숙이면 완화된다고 한다. 혈압 122/70 mmHg, 맥박 78회/분, 호흡 18회/분, 체온 37.5°C이다. 혈액검사는 다음과 같다. 가슴 X선사진과 심전도이다. 진단은?

혈색소 14.2 g/dL, 백혈구 11,200/mm3, 혈소판 215,000/mm3

혈액요소질소/크레아티닌 16/0.7 mg/dL

트로포닌 T 13.2 ng/L (참고치, <14)

뇌나트륨배설펩타이드 92 pg/mL (참고치, <100)

C반응단백질 18.4 mg/L (참고치 <10)

D이합체 412 ng/mL (참고치, 220~ 740)

정답률 91%

누적 풀이 횟수 2,500+

평균 풀이 시간36초

/

나의 풀이 시간0

CC

M/23, 흉통(1w)

Hx

S/Sx

흉통: 찌르는 양상, 흡기시 악화, 가슴을 숙일 때 완화

V/S 122/70 78 18 37.5

Lab

WBC↑, CRP↑

Img

CXR: No remarkable findings

Etc

ECG: Diffuse upwardly concave ST elevation at lead I, II, V3-6

Imp: 급성 심장막염(acute pericarditis)

해설

WBC, CRP 상승한 감염의 과거력과 함께 흡기 시 악화, 가슴을 숙일 때 완화되는 pericardial pain 양상을 보이면서 diffuse upwardly concave ST elevation이 보이므로 급성 심장막염으로 진단한다.

• 23세 남자가 1주 전부터 시작된 흉통으로 내원하였다.

• 37.5°C의 발열과 혈액검사 상 WBC와 CRP가 상승하였으므로 감염이 의심된다.

• 흉통은 복장뼈 뒤에서 날카로운 것에 찔린 것처럼 느껴졌고 흡기 시 악화되며 가슴을 숙일 때 완화되는 pericardial pain 양상을 보인다.

감염 과거력이 있는 젊은 성인에서 pericardial pain 양상을 보이므로 급성 심장막염이 가장 의심되며 추가로 ECG 검사를 시행한다.

• ECG 검사에서 lead I, II, V3-6에서 upwardly concave ST elevation이 확인되며, lead V2에서도 ST elevation이 보인다. 또한 reciprocal change가 나타나지 않으므로 급성 심장막염으로 진단할 수 있다.

Tip

• 급성 심막염 & 급성 심근경색 감별점

급성 심장막염 & 급성 심근경색 감별점

분류

급성 심장막염

급성 심근경색

ST elevation

• Upward concavity(U)

• Diffuse

• Upward convexity(∩)

• Localized

Reciprocal change

• Absent (aVR, V1에서만 가끔)

• Prominent (infarction site 반영)

QRS complex

• 큰 변화 없음

• Q wave, loss of R wave amplitude

T wave

• ST 정상화 → T inversion

• T inversion → ST 정상화

급성 심장막염 정리

원인

감염성: 바이러스, 세균, 결핵균

기타: 종양, 결체조직질환, 약물, 대동맥 박리, 외상 등

임상양상

흉통: 눕거나 심호흡시 악화, 앉거나 앞으로 숙이면 완화

호흡곤란, 감염 과거력, pericardial friction rub

검사소견

CXR: Water-bottle appearance (다량의 pericardial effusion)

ECG: Diffuse, concave ST elevation

심초음파: Pericardial effusion

치료

Aspirin, NSAIDs → steroid

Pericardiocentesis: 심장눌림증, 세균성/종양성 원인 등

오답 선지

• 대동맥박리: 대동맥 벽의 내층(내막)이 찢어져 대동맥 벽의 중간 층과 분리되는 장애로 갑작스럽고 찢어지는 극심한 통증이 특징이다. 본 증례는 감염력, pericardial pain, concave ST elevation이 있으므로 급성 심장막염에 더 합당하다.

• 변형협심증: 주로 밤/새벽, 음주 후에 관상동맥의 국소적인 spasm으로 발생하는 흉통이 특징적인 질환으로 본 증례는 감염력, pericardial pain, concave ST elevation이 있으므로 급성 심장막염에 더 합당하다.

• 폐동맥색전증: 혈전이 폐혈관의 흐름을 막아 적절한 혈액순환이 이루어지지 않는 질환으로 D이합체가 상승한다.

• 급성심근경색증: 심근효소 수치의 상승이 확인되어야 하며 ECG 상 localized upwardly convex ST elevation과 reciprocal change가 보인다.

관련 이론

급성 심장막염

Reference

Harrison 21e, pp.1958-1963, 2019-2023

ESC guideline, 2015