외상

/

48

/

48

2번

[MD25]

0

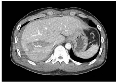
53세 남자가 1시간 전에 운전 중 트럭과 정면 충돌하여 응급실로 왔다. 혈압 100/60 mmHg, 맥박 110회/분, 호흡 22회/분, 체온 37.0ºC이다. 의식은 명료하다. 배 전체에 압통이 있으나 반동압통은 없다. 혈액검사 결과는 다음과 같다. 복부 컴퓨터 단층촬영 사진이다. 복강 내에 다른 장기는 손상되지 않았다. 조치는?

혈색소 8.5 g/dL, 백혈구 12,900/mm3, 혈소판 193,000/mm3

정답률 42%

누적 풀이 횟수 2,500+

평균 풀이 시간43초

/

나의 풀이 시간0

CC

M/53, 교통사고(1h)

Hx

S/Sx

V/S 100/60 110 22 37.0, M/S alert, dT/rT(+/-)

Lab

Hb↓, WBC↑

Img

CT: Liver laceration with intraparenchymal hematoma (AAST grade II)

Etc

Imp: 외상성 간 손상(traumatic hepatic injury)

해설

혈역학적으로 안정한 외상성 간 손상 환자에 대해 간동맥색전술을 시행한다.

• 53세 남자가 1시간 전 발생한 교통사고로 내원하였다.

• 운전 중 트럭과 정면 충돌하였으며, 배 전체에 압통이 있는 것으로 보아 복부 둔상이 의심된다.

• 복부 CT에서 간의 laceration과 함께 intraparenchymal hematoma가 확인되며 AAST scale grade II 정도로 판단된다.

• 간 외상의 경우 혈역학적 불안정성에 따라 치료 접근 방법이 달라진다. V/S이 불안정하고 FAST상 free fluid가 보이는 경우 즉시 손상통제수술로 응급개복술을 시행해야 하나, 해당 증례는 V/S이 안정적이고 환자의 의식도 명료하므로 간동맥색전술을 시행하여야 한다.

Tip

복부 외상 각론 정리

• 불안정: Laparotomy (손상통제수술)

• 안정: 보존적 치료 or angiographic embolization

지라

• 불안정: Splenectomy

• 안정: 보존적 치료 or angiographic embolization

위장관

• 천공: Laparotomy

• 천공 없음: 보존적 치료

이자

• 손상 큼(이자관 손상, 혈종, 열상): Pancreaticoduodenectomy / distal pancreatectomy

• 손상 작음: 이자액 체외 배액

비뇨계

• 불안정 or 복강 내 출혈: 수술

• 안정(fascia 내부에만 출혈): 보존적 치료 or angiographic embolization

오답 선지

• 복막세척: 혈복강(hemoperitoneum)을 빠르게 진단하기 위한 시술이나 위 증례의 경우 CT상 혈복강이 없음을 확인하였으므로 배제된다.

• 피부경유배액, 피부간경유담즙배액: 복강 내 농양, 담즙 정체 등 액체 저류가 있는 상황에서 고려되는 시술이나 위 증례는 외상 환자로 훨씬 더 적극적인 처치가 필요하다.

• 탐색개복: V/S이 불안정하고 FAST상 free fluid가 보이는 경우 시행한다.

관련 이론

복부 외상

Reference

Sabiston 21e, pp.411-424, 2078-2081