간질성 폐질환

/

49

/

49

3번

[MD25]

0

45세 남자가 6개월 전부터 기침이 심해지고 숨이 차서 병원에 왔다. 자동차 도장공으로 15년째 근무 중이고 비흡연자이다. 혈압 120/80 mmHg, 맥박 90/분, 호흡 20회/분, 체온 36.4°C이다. 가슴 X선사진과 가슴 컴퓨터단층촬영 사진이다. 검사 결과는 다음과 같다. 진단은?

혈액: 혈색소 13.0 g/dL, 백혈구 7,600/mm³

혈소판 320,000/mm³

폐기능: 강제폐활량(FVC): 정상 예측치의 65%

1초간 강제날숨량(FEV₁): 정상 예측치의 60 %

1초간 강제날숨량/강제폐활량: 82 %

기관지확장제 흡입 후 1초간 강제날숨량 정상 예측치의 63%

정답률 77%

누적 풀이 횟수 2,600+

평균 풀이 시간43초

/

나의 풀이 시간0

CC

M/45, 기침/호흡곤란(6m)

Hx

직업력: 자동차 도장공(15y)

S/Sx

V/S 120/80 90 20 36.4

Lab

Img

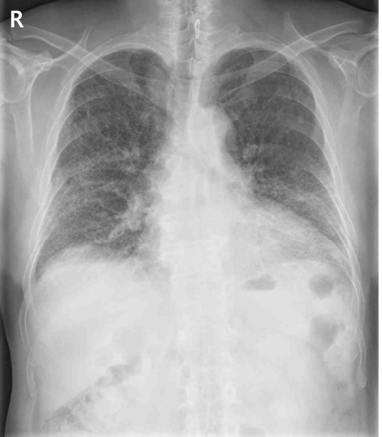
CXR: Bilateral diffuse opacities

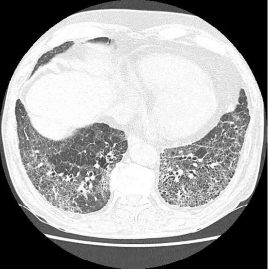
CT: Bilateral basal reticular opacities

Etc

PFT: Restrictive pattern(FVC↓, FEV₁↓, FEV₁/FVC 정상)

Imp: 과민폐렴(hypersensitivity pneumonitis, HP)

해설

유기 화합물 흡입에 만성적으로 노출된 직업력과 영상 소견으로 과민폐렴을 진단한다.

• 45세 남자가 6개월 전부터 시작된 기침과 호흡곤란으로 내원하였다.

자동차 도장공으로 15년째 근무한 직업력으로 보아 유기 화합물을 흡입하는 환경에 만성적으로 노출되어 있을 것으로 판단되며, 이와 관련한 호흡기 질환인 천식, 과민폐렴 등의 가능성을 고려하여야 한다.

• CXR상 bilateral diffuse opacities가 관찰되며 chest CT상 양쪽 bilateral basal area에 fibrotic change를 시사하는 reticular opacities가 확인된다. 더불어 PFT상 제한성 양상으로, 영상소견과 폐기능 검사 소견을 종합하여 판단할 때 증상의 원인이 간질성 폐질환임을 알 수 있다.

• 간질성 폐질환 중 유기 화합물을 지속적으로 흡입하는 환자의 직업력을 고려하였을 때 가장 유력한 진단은 과민폐렴이며, 환자의 chest CT 소견 역시 이에 부합한다.


Tip
• 과민성 폐렴의 HRCT 소견

비섬유성

섬유성

• Diffuse GGO

• Mosaic attenuation

• Expiratory air trapping

• Reticular opacities

• Traction bronchiectasis

• Subpleural honeycombing

과민폐렴 정리

위험요인

• 유기 분진 노출

• 직업력: 농부, 버섯/담배 재배, 조류 사육, 나무꾼, 제조업 등

임상양상

• 기침, 호흡곤란

• 수포음

검사소견

• CT: Diffuse GGO, mosaic pattern, reticular opacities with honeycombing

• PFT: Restrictive/Obstructive pattern

진단

• BAL: 림프구 > 30%, CD8 > CD4

• Serum IgG: 혈청 침전항체 등 확인

• 조직검사: TBLB/TBLC → surgical lung Bx

치료

• 원인항원 회피

• 전신 스테로이드 (+ 면역억제제, 항섬유화제)

오답 선지

• 폐결핵: 체중감소, 미열, 야간발한과 더불어 기침, 가래, 객혈 등의 호흡기 증상이 주로 나타난다. 더불어 위 증례의 HRCT상 diffuse GGO와 fibrotic change는 TB를 의심할만한 영상 소견이 아니다.

• 폐부종: Chest CT와 CXR 소견에서 fluid accumulation을 관찰할 수 없으므로 배제된다.

• 직업천식: PFT상 obstructive pattern을 보여야 하나 위 증례는 restrictive pattern이 확인되므로 배제된다.

• 폐포단백질증: 고농도 분진에 노출되는 경우 secondary PAP이 유발될 수 있다. PAP의 진단은 BAL을 통해 이루어지며 PAS 염색 양성의 지단백질 물질이 말단 세기관지와 폐포에 축적된 것을 확인함으로써 진단할 수 있다.

관련 이론

과민폐렴