11번
[MD20]
0
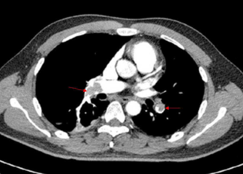
66세 여자가 하루 전부터 숨이 찬다며 응급실에 왔다. 1주 전에 외부병원에서 양쪽 인공무릎 관절치환술을 받고 누워 지냈다고 한다. 혈압 120/70mmHg, 맥박 84회/분, 호흡 20회/분, 체온 36.0℃이다. 가슴 청진에서 심음은 규칙적이고 심잡음은 들리지 않는다. 가슴 컴퓨터단층촬영 사진이다. 혈액 검사 결과는 다음과 같다. 치료는?
D-이량체 2,600 ng/mL (참고치, 220~740) 혈액요소질소/크레아티닌 10/0.9 mg/dL

정답률 91%
누적 풀이 횟수 900+
평균 풀이 시간25초
/
나의 풀이 시간0초
CC | F/66, 호흡곤란 (1day) |
Hx | 1주 전 무릎관절 수술 후 누워서 지냄 |
S/Sx | 호흡곤란 |
Lab | D-dimer ↑ |
Img | Chest CT: 양측 폐동맥 혈전 |
Etc |
Imp: 폐색전증(pulmonary thromboembolism, PTE)
해설
급성 호흡곤란, 장기간 bed rest의 과거력, CT상 혈전이 있으므로 PTE 진단 하, V/S stable하므로 rivaroxaban 등의 anticoagulation을 시행한다.
• 66세 여자가 1일 전부터 호흡곤란으로 내원하였다.
• 1주 전 수술 후 누워서 지낸 과거력이 있으며, 단독으로 호흡곤란 증상이 있으며, D-dimer 또한 상승하였으므로 폐색전증의 가능성을 생각해볼 수 있다.
• CT에서 폐동맥 혈전이 보이므로 폐색전증으로 진단할 수 있다.
• V/S이 안정적이므로 항응고치료를 진행한다. 보기 중에서는 NOAC에 해당하는 리바록사반을 사용한다.
Tip
• 폐색전증 진단 및 치료
오답 선지
• 아스피린, 티클로피딘, 실로스타졸, 클로피도그렐: 모두 항혈소판제에 해당하며 항응고제와 다르다.
관련 이론
• 폐색전증
Reference
• Harrison 21e, pp.2091-2101