26번
[임종평22-2]
0
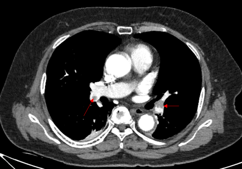
75세 여자가 2일 전부터 숨이 찬다며 병원에 왔다. 기침, 가래, 객혈은 없다. 6일 전 대퇴골 골절로 수술을 받았다. 천식이 있어서 약물치료를 하고 있다. 음주력, 흡연력은 없다. 혈압 103/71 mmHg, 맥박 78회/분, 호흡 22회/분, 체온 36.8℃이다. 가슴청진에서 호흡음은 정상이다. 가슴 X선사진과 가슴 컴퓨터단층촬영 사진이다. 검사 결과는 다음과 같다. 진단은?
혈액: 백혈구 6,190/mm3, 혈색소 8.7 g/dL, 혈소판 150,000/mm3
C-반응단백질 21 mg/L (참고치, <10)
D-이합체(dimer) 4.53 mg/L (참고치, <0.5)
동맥혈가스: pH 7.409, PaCO2 45.1 mmHg
PaO2 58.8 mmHg, HCO3- 28.0 meq/L
SaO2 91.4%


정답률 99%
누적 풀이 횟수 1,100+
평균 풀이 시간29초
/
나의 풀이 시간0초
CC | F/75, 호흡곤란(2d) |
Hx | 6일 전: Femur Fx s/p op Asthma on inhaler |
S/Sx | V/S 103/71 78 22 36.8, clear lung sound |
Lab | Hb↓, CRP↑, D-dimer↑ ABGA: PaO2↓, SaO2↓ |
Img | CXR: 정상 CT: Thrombus at pulmonary a. |
Etc |
Imp: 폐색전증(pulmonary thromboembolism, PTE)
해설
급성 호흡곤란, 정형외과적 수술력, D-dimer elevation, CT 소견으로 보아 PTE로 진단한다.
• 75세 여자가 2일 전 시작된 급성 호흡곤란을 주호소로 내원했다.
• 호흡곤란이 급성으로 생겼고 CRP 상승이 있지만 발열이나 leukocytosis 등 기타 감염의 증거가 빈약하다. CXR도 정상이므로 폐렴, 흉수, 기흉 등 많은 급성 호흡곤란의 원인 질환을 배제할 수 있다. 천식 과거력이 있어 천식의 급성 악화를 의심할 수도 있으나 호흡음에서 wheezing이 없으므로 배제할 수 있다.
• 최근 femur Fx 수술을 했으며 6일간 bed rest 상태였음을 감안하고 D-dimer가 상승되어 있으므로 PTE의 가능성이 높다고 볼 수 있다.
• 이에 촬영한 CT상 실제로 pulmonary a.에 thrombus가 관찰되므로, PTE로 진단한다.
Tip
폐색전증 정리 | |
위험요인 | • 전신마취 수술, 고관절/슬관절 수술 • 장기간 bed rest |
임상양상 | • 급성 호흡곤란, 흉통, 객혈 |
검사소견 | • D-dimer: 상승 |
진단 | • CT, 폐환기관류스캔 → 심초음파(RV 기능 평가) |
치료 | • V/S stable: 항응고제 or IVC filter • V/S unstable: t-PA + 항응고제 or embolectomy |
예방 | • 항응고제, 공기압박장치(항응고제 금기 시) |
오답 선지
• 폐렴: 발열이나 염증 관련 lab이 저명하지 않는 종류의 폐렴이라 하더라도 기침/가래 등의 기타 호흡기 증상은 흔히 나타나며, CXR이 비정상적인 경우가 많다.
• 폐암: 기관지 폐색에 의한 무기폐, malignant effusion 등의 몇몇 경우를 제외하면 급성 호흡곤란을 일으키는 경우는 많지 않으며, 폐암을 의심할 만한 기타 단서는 거의 없다.
• 폐결핵: CXR상 비정상인 경우가 많으며, 급성 호흡곤란보다는 만성 기침 및 위약감 등이 주 증상이다.
• 대동맥박리(aortic dissection): 본 증례의 흉부 CT상 aorta 내부에 false lumen 등의 구조물이 관찰되지 않는다.
관련 이론
• 폐색전증
Reference
• Harrison 21e, pp.2091-2101