29번
[MD19]
0
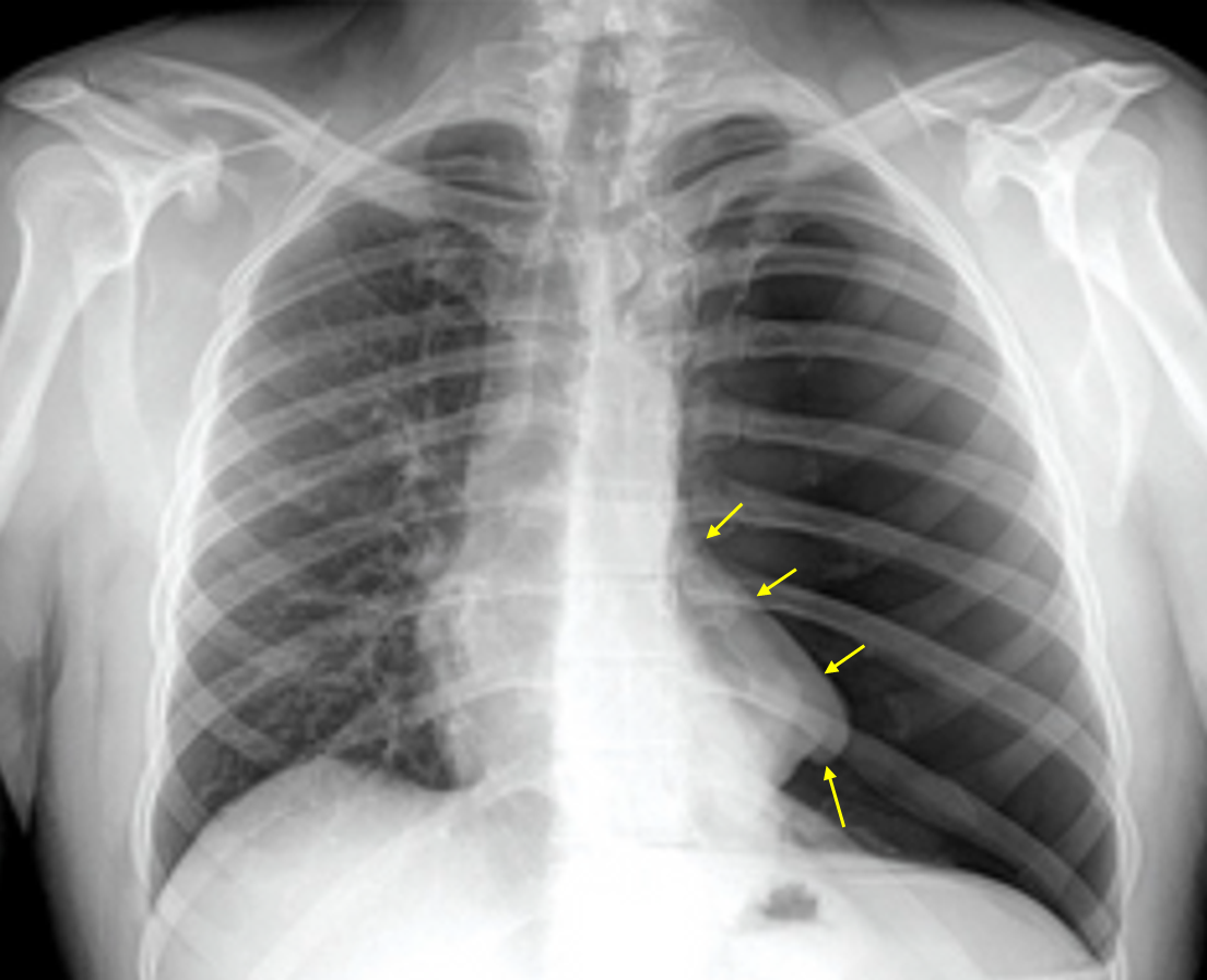
68세 남자가 3시간 전부터 숨이 차다며 병원에 왔다. 가슴이 아프고 점점 숨쉬기가 힘들어 진다고 한다. 20년 전부터 혈압 강하제를 복용하고 있다. 40갑·년 흡연자이다. 혈압 90/52mmHg, 맥박 112회/분, 호흡 26회/분, 체온 36.8℃이다. 가슴 청진에서 심음은 정상이고 왼쪽 가슴에서 호흡음이 들리지 않는다. 양쪽 정강뼈 앞 오목부종은 없다. 가슴 X선 사진이다. 혈액검사 결과는 다음과 같다. 가능성이 큰 진단을 고르시오 (한 가지).
혈색소 12.8 g/dL, 백혈구 10,900/mm3 (중성구 78%), 혈소판 280,000/mm3

정답률 97%
누적 풀이 횟수 600+
평균 풀이 시간31초
/
나의 풀이 시간0초
CC | M/68, 호흡곤란 (3hr) |
Hx | 20년 전부터 혈압강하제 복용, 흡연력(40PY) |
S/Sx | 호흡곤란. 흉통, 시간에 따라 호흡곤란 악화 V/S 90/52 112 26 36.8, 왼쪽 가슴 호흡음 사라짐. 오목부종 없음 |
Lab | WBC ↑ |
Img | CXR : 좌측 폐 bronchovascular marking 사라짐, 심장 우측 이동 |
Etc |
Imp: 긴장성 기흉(tension pneumothorax)
해설
Unstable V/S와 large mediastinal shift가 관찰되므로 tension pneumothorax를 진단할 수 있다.
• 68세 남자가 3시간 전부터 지속된 호흡곤란으로 내원하였다.
• 급성 호흡곤란과 흉통의 증상, 그리고 신체 검진에서 왼쪽 가슴 호흡음이 사라진 것으로 보아 무기폐 혹은 기흉이 의심된다.
• CXR에서 좌측 폐의 폐혈관 음영이 완전히 사라졌고, 심장과 기도가 우측으로 이동한 소견으로 보아 긴장성 기흉이 의심된다.
• 저혈압, 빈맥, 호흡수 증가 소견 또한 긴장성 기흉에 의해 정맥환류 감소로 인한 순환부전과 호흡부전에 의한 것으로 생각할 수 있다.
Tip
기흉 정리 | |
위험요인 | • 일차성: 흡연, 남성 • 이차성: COPD • 의인성: 바늘생검, 흉막천자, 기계환기 • 외상 |
임상양상 | • 급성 흉통, 호흡곤란 • 호흡음 감소, 타진 시 과공명 |
검사소견 | • CXR: Pleural line 보임, vascular marking이 보이지 않음 |
일차성/의인성 기흉 치료 | • 안정 + 첫 기흉 + 증상 경함: 경과관찰 (+ O2) • 재발성 or 불안정: 흉관 삽입 |
이차성/외상성 기흉 치료 | • 흉관 삽입 |
긴장성 기흉 | • V/S unstable • CXR: Mediastinal shift • 즉각적인 바늘 감압 → 이후 흉관 삽입 |
관련 이론
• 기흉
Reference
• Harrison 21e, p.2200
• Murray & Nadel 7e, pp.1539-1550