53번
[임종평23-1]
0
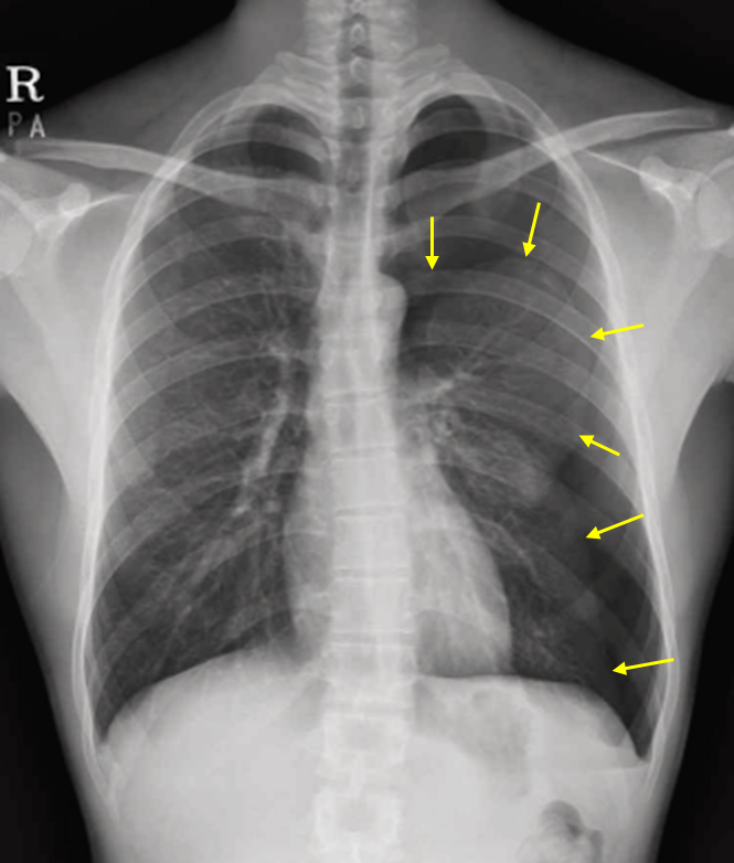
42세 남자가 2일 전부터 왼쪽 가슴이 아파서 병원에 왔다. 2일 전 자전거를 타다가 떨어졌고 어제부터 숨이 찼다고 한다. 숨을 들이쉴 때 더 아프고 왼쪽 가슴을 눌렀을 때도 통증이 생겼다고 한다. 10갑·년의 흡연자이다. 혈압 130/70 mmHg, 맥박 95회/분, 호흡 22회/분, 체온 37.0℃이다. 가슴 청진에서 심음은 정상이나, 왼쪽 호흡음은 감소되어 있다. 혈액검사 결과는 다음과 같다. 가슴 X선사진과 심전도이다. 진단은?
백혈구 6,000/mm3, 혈색소 13.0 g/dL, 혈소판 190,000/mm3
크레아틴인산화효소 350 U/L (참고치, 51~294)
크레아틴인산화효소 MB 1.6 ng/mL (참고치, <5.5)
트로포닌 T 1.0 (참고치, <14)


정답률 89%
누적 풀이 횟수 1,800+
평균 풀이 시간43초
/
나의 풀이 시간0초
CC | M/42, 흉통(2d, Lt., 흡기 시 악화, Lt. chest dT(+)) |
Hx | 2일 전: 자전거 운전 중 낙상 흡연: 10갑년 |
S/Sx | 호흡곤란(1d) V/S 130/70 95 22 37.0 |
Lab | CK↑ |
Img | CXR: Lt. pneumothorax |
Etc | ECG: Normal sinus rhythm |
Imp: 외상성 기흉(traumatic pneumothorax)
해설
CXR상 pleural line 및 distal vascular marking의 소실이 저명하므로 pneumothorax로 진단한다.
• 42세 남자가 2일 전 시작된 흉통을 주호소로 내원했다.
• 흡기 시 악화되는 양상으로 보아 pleuritic chest pain으로 추정된다. 2일 전 외상을 입었는데, 흉부 외상이었는지는 확인되지 않으나 외상성 질환일 가능성이 높아 보인다.
• CK elevation은 있으나 심근에 더 specific한 CK-MB, TnT가 정상이고 ECG상 normal sinus rhythm이 확인되므로 심장성 흉통일 가능성은 낮다.
• CXR상 Lt. lung의 pleural line이 확인되며, 그 바깥쪽으로 pulmonary vascular marking의 소실이 확인된다. 2일 전 외상력을 고려할 때 traumatic pneumothorax로 진단할 수 있다.
Tip
기흉 정리 | |
위험요인 | • 일차성: 흡연, 남성 • 이차성: COPD • 의인성: 바늘생검, 흉막천자, 기계환기 • 외상 |
임상양상 | • 급성 흉통, 호흡곤란 • 호흡음 감소, 타진 시 과공명 |
검사소견 | • CXR: Pleural line 보임, vascular marking이 보이지 않음 |
일차성/의인성 기흉 치료 | • 안정 + 첫 기흉 + 증상 경함: 경과관찰 (+ O2) • 재발성 or 불안정: 흉관 삽입 |
이차성/외상성 기흉 치료 | • 흉관 삽입 |
긴장성 기흉 | • V/S unstable • CXR: Mediastinal shift • 즉각적인 바늘 감압 → 이후 흉관 삽입 |
오답 선지
• 무기폐(atelectasis): 본 증례는 CXR상 radiopaque한 lung parenchyma가 확인되지 않으므로 가능성이 낮다.
• 심근경색(myocardial infarction, MI): 본 증례는 흉통이 시작된 지 2일이나 지났는데도 ECG상 normal sinus rhythm이 확인되며 CK-MB, TnT가 정상이므로 가능성이 낮다.
• 가슴막삼출(pleural effusion): 본 증례는 CXR상 costophrenic angle blunting 등이 확인되지 않으므로 가능성이 낮다.
• 빗장뼈골절(clavicle fracture): 본 증례는 CXR상 clavicle Fx이 확인되지 않는다. 외상력을 고려할 때 다른 view에서 관찰할 경우 골절이 있을 수도 있겠으나, 본 증례는 외상성 기흉임이 매우 저명하다.
관련 이론
• 기흉
Reference
• Harrison 21e, p.2200
• Murray & Nadel 7e, pp.1539-1550