54번
[임종평23-1]
0
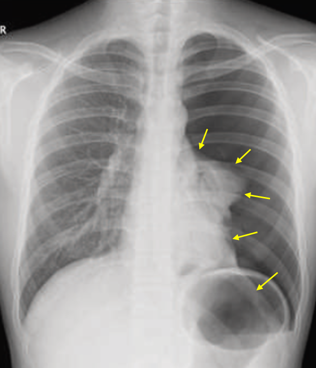
18세 남자가 2일 전부터 왼쪽 가슴이 아프고 숨이 차서 병원에 왔다. 2일 전 축구를 하던 중에 왼쪽 어깨와 등 부위에 통증이 발생하였고 점점 숨쉬기가 어려워진다고 한다. 기저 질환이나 외상력은 없다. 혈압 126/88 mmHg, 맥박 78회/분, 호흡 30회/분, 산소포화도 93%이다. 가슴 X선사진이다. 치료는?

정답률 73%
누적 풀이 횟수 1,800+
평균 풀이 시간27초
/
나의 풀이 시간0초
CC | M/18, 흉통/호흡곤란(2d, Lt.) |
Hx | |
S/Sx | 흉통: 축구를 하던 중 발생, 진행성 호흡곤란 V/S 126/88 78 30, SpO2 93% |
Lab | |
Img | CXR: Lt. total pneumothorax |
Etc |
Imp: 일차성 자발성 기흉(primary spontaneous pneumothorax, PSP)
해설
CXR상 감압이 필요한 정도의 기흉이 확인되며, 진행성 호흡곤란 및 tachypnea를 보이고 있으므로 흉관 삽입을 시행한다.
• 18세 남자가 2일 전 시작된 좌측 흉통 및 호흡곤란을 주호소로 내원했다.
• 진행성 호흡곤란이 있으며, RR 30의 tachypnea를 보인다. SpO2도 93%로 다소 낮아져 있다.
• CXR상 실제로 Lt. lung이 total collapse되어 있는 기흉이 보인다. 10대의 젊은 환자에게서 명확한 외상력(축구를 하고 있던 중 발생했다고 하나, 외상력은 없었다고 함) 없이 발생했으므로 primary spontaneous pneumothorax로 보는 것이 적절하다.
• RR > 24로 빠르고, total lung collapse가 될 만큼의 기흉이 있으므로 흉관 삽입이 필요하다. 흉관 삽입은 폐쇄성 가슴관 삽입술(closed thoracostomy)이라고도 부른다.
Tip
기흉 정리 | |
위험요인 | • 일차성: 흡연, 남성 • 이차성: COPD • 의인성: 바늘생검, 흉막천자, 기계환기 • 외상 |
임상양상 | • 급성 흉통, 호흡곤란 • 호흡음 감소, 타진 시 과공명 |
검사소견 | • CXR: Pleural line 보임, vascular marking이 보이지 않음 |
일차성/의인성 기흉 치료 | • 안정 + 첫 기흉 + 증상 경함: 경과관찰 (+ O2) • 재발성 or 불안정: 흉관 삽입 |
이차성/외상성 기흉 치료 | • 흉관 삽입 |
긴장성 기흉 | • V/S unstable • CXR: Mediastinal shift • 즉각적인 바늘 감압 → 이후 흉관 삽입 |
오답 선지
• 산소흡입: 적은 양의 기흉은 high O2 therapy로 자연 흡수를 시도할 수 있다. 본 증례는 Lt. lung이 total collapse되어 있으며, 진행성 호흡곤란, tachypnea, hypoxemia를 보이고 있으므로 산소흡입으로 호전될 것이라고 보기 어렵다.
• 기관내삽관(intubation): 본 증례는 호흡곤란 및 tachypnea를 호소하고는 있으나, intubation을 시행해야 할 정도로 respiratory muscle의 fatigue가 의심될 정도는 아니며, SpO2도 심하게 낮지는 않으므로 부적절하다. 오히려 기흉이 있는 상태에서 intubation 후 ventilator를 연결해 양압환기를 시행할 경우 기흉이 악회되어 긴장성 기흉으로 발전할 수 있다.
• 흉강경흉막박피술(thorascopic decortication): 농흉(empyema)에 대한 치료로 사용된다.
• 흉강경폐쐐기절제술(thorascopic lung wedge resection): Primary spontaneous pneumothorax에서 흉관 삽입을 필요로 했던 기흉의 과거력, 재발성 기흉, 기흉 고위험군 직업/취미활동이 있을 경우 기흉 재발 방지를 위해 고려할 수 있다.
관련 이론
• 기흉
Reference
• Harrison 21e, p.2200
• Murray & Nadel 7e, pp.1539-1550