57번
[임종평22-2]
0
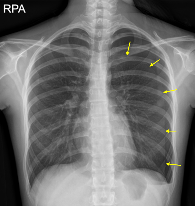
20세 여자가 12시간 전부터 숨쉬기가 답답하다며 병원에 왔다. 마른기침이 있고 기침 시 왼쪽 가슴이 결린다고 한다. 기저질환은 없고, 비흡연자이다. 혈압 119/71 mmHg, 맥박 108회/분, 호흡 20회/분, 체온 36.5℃이다. 가슴 진찰에서 왼쪽 가슴의 호흡음이 감소되어 있고, 타진상 과공명음이다. 가슴 X선사진이다. 진단은?

정답률 97%
누적 풀이 횟수 1,200+
평균 풀이 시간24초
/
나의 풀이 시간0초
CC | F/20, 호흡곤란(12h) |
Hx | |
S/Sx | 마른 기침, 기침 시 왼쪽 흉부불편감 V/S 119/71 108 20 36.5, 왼쪽 호흡음 감소, 과공명음 |
Lab | |
Img | CXR: Lt. pleural line with loss of vascular markings |
Etc |
Imp: 기흉(pneumothorax)
해설
CXR 소견상 기흉으로 진단한다.
• 20세 여자가 12시간 전 시작된 호흡곤란을 주호소로 내원했다.
• 기침을 할 때 왼쪽 흉부의 결리는 느낌이 있으므로 Lt. pleuritic pain을 의심할 수 있다. 따라서 pleural effusion이나 pneumothorax를 의심할 수 있다.
• 왼쪽 호흡음의 감소와 동반되는 타진상 과공명음(hyperresonance)은 기흉을 시사한다. CXR에서도 왼쪽 흉부에 pleural line이 관찰되며, 그보다 lateral로는 pulmonary vascular marking이 관찰되지 않으므로 기흉으로 진단할 수 있다.
Tip
기흉 정리 | |
위험요인 | • 일차성: 흡연, 남성 • 이차성: COPD • 의인성: 바늘생검, 흉막천자, 기계환기 • 외상 |
임상양상 | • 급성 흉통, 호흡곤란 • 호흡음 감소, 타진 시 과공명 |
검사소견 | • CXR: Pleural line 보임, vascular marking이 보이지 않음 |
일차성/의인성 기흉 치료 | • 안정 + 첫 기흉 + 증상 경함: 경과관찰 (+ O2) • 재발성 or 불안정: 흉관 삽입 |
이차성/외상성 기흉 치료 | • 흉관 삽입 |
긴장성 기흉 | • V/S unstable • CXR: Mediastinal shift • 즉각적인 바늘 감압 → 이후 흉관 삽입 |
오답 선지
• 천식: 주로 만성 기침을 유발하며, 청진상 천명음(wheezing)이 들리며, CXR상 정상인 경우가 많다.
• 가슴막염(pleurisy): Pleuritic pain을 유발할 수 있으나 CXR상 costophrenic angle blunting 등이 확인된다.
• 폐색전증(pulmonary thromboembolism, PTE): 폐청진 및 CXR상 정상인 경우가 많다.
• 갈비연골염(costochondritis): Rib cage의 압통을 호소하며, 폐청진 및 CXR상 정상인 경우가 많다.
관련 이론
• 기흉
Reference
• Harrison 21e, p.2200
• Murray & Nadel 7e, pp.1539-1550