65번
[임종평21-2]
0
74세 남자가 3일 전부터 숨이 차서 병원에 왔다. 기침하거나 숨을 쉴 때마다 왼쪽 가슴이 답답하다고 한다. 열감이나 가래는 없었다고 한다. 45갑·년의 흡연자이며 만성폐쇄성폐질환으로 치료 중이다. 혈압 130/92 mmHg, 맥박 105회/분, 호흡 24회/분, 체온 36.6℃이다. 청진에서 왼쪽 가슴에서 호흡음이 감소되고, 타진에서 왼쪽 가슴에서 과공명음이 들린다. 가슴 X선 사진이다. 진단은?

정답률 95%
누적 풀이 횟수 800+
평균 풀이 시간33초
/
나의 풀이 시간0초
CC | M/74, 숨참(3d) |
Hx | 흡연력(45PY), COPD 치료 중 |
S/Sx | 기침하거나 숨 쉴 때마다 왼쪽 가슴 답답, 열감/가래 (-/-) 가슴 청진: 왼쪽 가슴 호흡음 감소/ 타진: 과공명음 V/S stable |
Lab | |
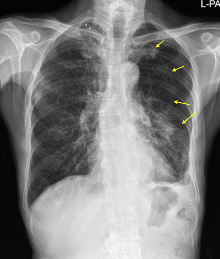
Img | CXR: Visceral pleural line in left lung |
Etc |
Imp: 이차성 자발성 기흉(secondary spontaneous pneumothorax, SSP)
해설
임상양상과 CXR의 visceral line으로부터 COPD에 의한 이차성 기흉으로 진단한다.
• 45갑년의 흡연력이 있고 COPD로 치료 중인 74세 남자가 3일 전부터 숨이 차서 내원하였다.
• 진찰상 호흡음 감소, 과공명음으로부터 폐기종, 기흉을 의심할 수 있다.
• 기침하거나 숨을 쉴 때마다 왼쪽 가슴이 답답하고 CXR에서 왼쪽 폐에 visceral pleural line이 보이므로 COPD에 의한 이차성 기흉으로 진단할 수 있다.
• 따라서 답은 공기가슴증이다.
Tip
기흉 정리 | |
위험요인 | • 일차성: 흡연, 남성 • 이차성: COPD • 의인성: 바늘생검, 흉막천자, 기계환기 • 외상 |
임상양상 | • 급성 흉통, 호흡곤란 • 호흡음 감소, 타진 시 과공명 |
검사소견 | • CXR: Pleural line 보임, vascular marking이 보이지 않음 |
일차성/의인성 기흉 치료 | • 안정 + 첫 기흉 + 증상 경함: 경과관찰 (+ O2) • 재발성 or 불안정: 흉관 삽입 |
이차성/외상성 기흉 치료 | • 흉관 삽입 |
긴장성 기흉 | • V/S unstable • CXR: Mediastinal shift • 즉각적인 바늘 감압 → 이후 흉관 삽입 |
관련 이론
• 기흉
Reference
• Harrison 21e, p.2200
• Murray & Nadel 7e, pp.1539-1550