66번
[임종평21-2]
0
23세 남자가 1일 전부터 왼쪽 가슴이 아파서 병원에 왔다. 누웠다 일어나면 통증이 심해졌으며, 1시간 전부터는 숨이 찬다고 한다. 2년간 하루 1갑의 담배를 피웠다고 한다. 혈압 110/70 mmHg, 맥박 76회/분, 호흡 18회/분, 체온 36.4℃이다. 왼쪽 가슴에서 호흡음이 들리지 않는다. 가슴 X선 사진이다. 진단은?

정답률 98%
누적 풀이 횟수 800+
평균 풀이 시간17초
/
나의 풀이 시간0초
CC | M/23, 흉통(1d, 왼쪽) |
Hx | 흡연 2갑년 |
S/Sx | 누웠다 일어나면 악화, 호흡곤란(1h) V/S stable, 왼쪽 가슴 호흡음(-) |
Lab | |
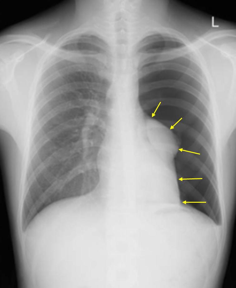
Img | CXR: 좌측 폐혈관 음영 소실 |
Etc |
Imp: 일차성 자발성 기흉(primary spontaneous pneumothorax, PSP)
해설
담배 피는 20대 남자가 왼쪽 가슴 통증, 왼쪽 호흡음 소실이 있고 CXR에서 좌측 폐혈관 음영이 안 보이므로 기흉으로 진단한다.
• 2갑년의 흡연력이 있는 23세 남자가 하루 전부터 왼쪽 가슴이 아파서 내원하였다.
• 자세에 따라 변하므로 흉막성 흉통이 의심되고 1시간 전부터 호흡곤란도 동반되었으며 왼쪽 가슴에서 호흡음이 들리지 않으므로 기흉이 의심된다.
• CXR에서 좌측 폐의 bronchovascular marking이 안 보이므로 기흉으로 진단한다.
Tip
기흉 정리 | |
위험요인 | • 일차성: 흡연, 남성 • 이차성: COPD • 의인성: 바늘생검, 흉막천자, 기계환기 • 외상 |
임상양상 | • 급성 흉통, 호흡곤란 • 호흡음 감소, 타진 시 과공명 |
검사소견 | • CXR: Pleural line 보임, vascular marking이 보이지 않음 |
일차성/의인성 기흉 치료 | • 안정 + 첫 기흉 + 증상 경함: 경과관찰 (+ O2) • 재발성 or 불안정: 흉관 삽입 |
이차성/외상성 기흉 치료 | • 흉관 삽입 |
긴장성 기흉 | • V/S unstable • CXR: Mediastinal shift • 즉각적인 바늘 감압 → 이후 흉관 삽입 |
관련 이론
• 기흉
Reference
• Harrison 21e, p.2200
• Murray & Nadel 7e, pp.1539-1550