8번
[MD24]
0
24세 남자가 5시간 전부터 갑자기 왼쪽 가슴이 아프고 숨이 찬다며 병원에 왔다. 2년 전에 같은 증상으로 가슴관 삽입을 받은 적이 있다고 한다. 4갑·년의 흡연자이다. 혈압 130/86 mmHg, 맥박 82회/분, 호흡 18회/분, 체온 36.3℃이다. 왼쪽 가슴에서 호흡음이 감소되어 들린다. 가슴관 삽입 후 가슴 X선사진과 가슴 컴퓨터단층촬영 사진이다. 치료는?



정답률 78%
누적 풀이 횟수 2,400+
평균 풀이 시간38초
/
나의 풀이 시간0초
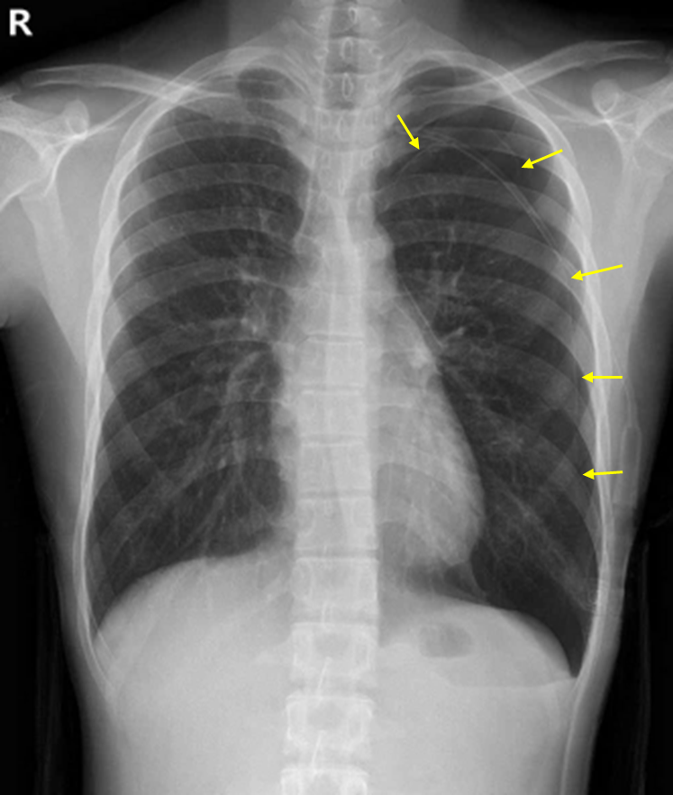
CC | M/24, 흉통/호흡곤란(5h, Lt.) |
Hx | 2년 전: 유사 증상 s/p chest tube insertion 흡연: 4갑년 |
S/Sx | V/S 130/86 82 18 36.3, Lt. decreased LS |
Lab | |
Img | CXR: Lt. pneumothorax, with chest tube inserted status CT: Lt lung apical bullae, with chest tube inserted status |
Etc |
Imp: 일차성 자발성 기흉(primary spontaneous pneumothorax, PSP), 재발성(recurrent)
해설
Recurrent spontaneous pneumothorax에 대해 bullectomy를 시행한다.
• 24세 남자가 5시간 전 시작된 왼쪽 흉통 및 호흡곤란을 주호소로 내원했다.
• 왼쪽 호흡음이 감소했으며, 흡연자이며, 증상이 갑자기 발생했으므로 기흉을 의심해야 한다. 2년 전 유사한 증상에 대해 가슴관 삽입 치료를 받았다는 점 또한 증상의 원인이 기흉일 가능성을 시사한다.
• CXR상 가슴관이 삽입되어 있는 쪽으로 visceral pleural line이 보이며, distal pulmonary vascular marking이 소실된 것이 확인된다. 이는 기흉의 전형적 소견이다.
• CT상 Lt. lung apex에 bullae가 확인된다. Spontaneous pneumothorax의 대부분의 원인은 bullae의 파열이며, 본 환자 또한 이것이 원인으로 보인다.
• 흉관을 삽입해야 할 정도의 spontaneous pneumothorax가 재발할 경우, elective하게 bullectomy를 시행하는 것을 고려해야 한다.
Tip
기흉 정리 | |
위험요인 | • 일차성: 흡연, 남성 • 이차성: COPD • 의인성: 바늘생검, 흉막천자, 기계환기 • 외상 |
임상양상 | • 급성 흉통, 호흡곤란 • 호흡음 감소, 타진 시 과공명 |
검사소견 | • CXR: Pleural line 보임, vascular marking이 보이지 않음 |
일차성/의인성 기흉 치료 | • 안정 + 첫 기흉 + 증상 경함: 경과관찰 (+ O2) • 재발성 or 불안정: 흉관 삽입 |
이차성/외상성 기흉 치료 | • 흉관 삽입 |
긴장성 기흉 | • V/S unstable • CXR: Mediastinal shift • 즉각적인 바늘 감압 → 이후 흉관 삽입 |
오답 선지
• 좌폐절제(Lt. pneumonectomy): 기흉에 대해 사용되지 않는 술식이며, 폐암 등에 대해서 제한적으로 시행된다.
• 코일색전술(coil embolization): Cerebral aneurysm 등에 대해 시행하는 시술이다.
• 좌상엽절제(LUL lobectomy): 기흉에 대해 흔히 사용되지 않는 술식이며, 주로 resectable한 폐암에 대해 시행한다.
• 가슴막피질제거(decortication): Empyema나 fibrothorax 등에 대해 고려할 수 있는 술식이다.
관련 이론
• 기흉
Reference
• Harrison 21e, p.2200
• Murray & Nadel 7e, pp.1539-1550