9번
[MD23]
0
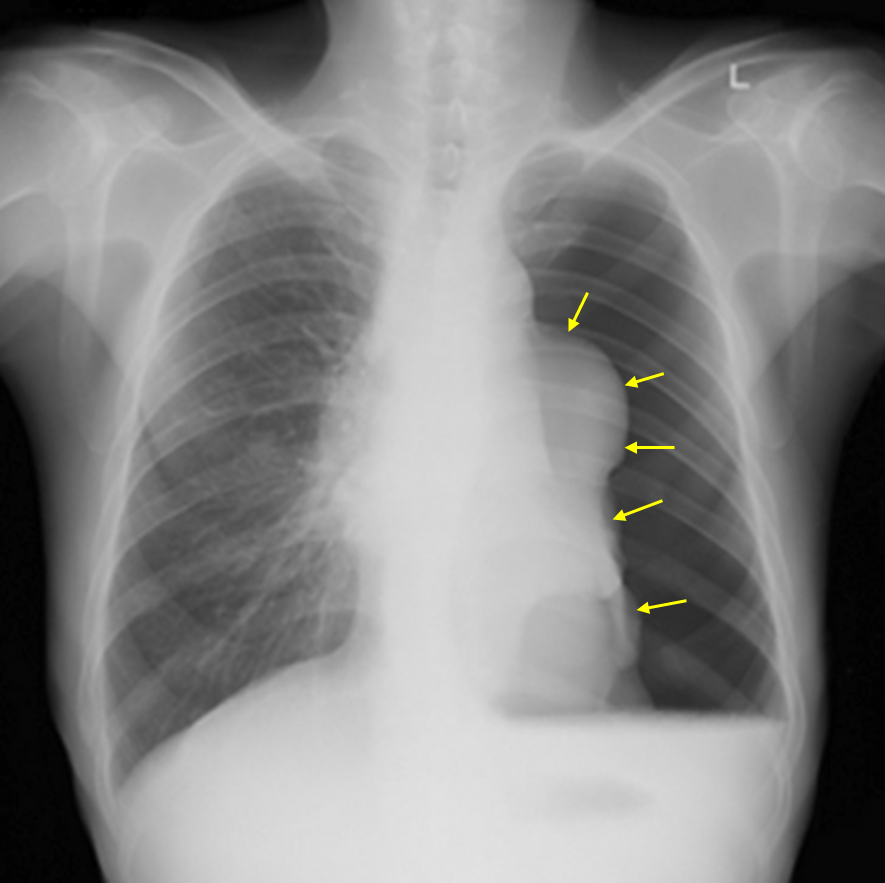
69세 남자가 2시간 전부터 갑자기 왼쪽 가슴 통증과 함께 숨이 찬다며 병원에 왔다. 50갑 ∙ 년의 흡연자이다. 혈압 110/70 mmHg, 맥박 90회/분, 호흡 26회/분, 체온 36.5℃이다. 가슴 청진 시 왼쪽 가슴에서 호흡음이 거의 들리지 않고 타진하면 기체팽만음이 들린다. 가슴 X선사진이다. 치료는?

정답률 95%
누적 풀이 횟수 1,900+
평균 풀이 시간23초
/
나의 풀이 시간0초
CC | M/69, 흉통/호흡곤란(2h, Lt.) |
Hx | 흡연: 50갑년 |
S/Sx | V/S 110/70 90 26 36.5, 왼쪽 호흡음(-), 기체팽만음(+) |
Lab | |
Img | CXR: Large amount of pneumothorax at Lt. chest cavity, Lt. lung total collapse, with air-fluid level |
Etc |
Imp: 이차성 자발성 기흉(secondary spontaneous pneumothorax), 흉막 삼출(pleural effusion)
해설
급성 흉통/호흡곤란, 타진상 기체팽만음, CXR 소견으로 보아 기흉 진단 하, 고령 및 흡연력으로 보아 SSP가 의심되며 pleural effusion이 합병되었으므로 흉관 삽입을 시행한다.
• 69세 남자가 2시간 전 시작된 왼쪽 흉통 및 호흡곤란을 주호소로 내원했다.
• 왼쪽 호흡음이 감소했고 타진상 기체팽만음이 있으므로 기흉을 신체진찰만으로도 의심할 수 있다.
• CXR상 좌측 폐혈관 음영이 전혀 보이지 않으므로 매우 큰 크기의 기흉이 있음을 알 수 있으며, 좌측 폐는 완전히 collapse된 것으로 보인다. 또한 좌측 흉강에 air-fluid level이 있으므로 흉막 삼출이 합병되었다고 볼 수 있다.
• 고령과 흡연력을 고려할 때 COPD 등에 의해 SSP가 발생했다고 추정할 수 있다. SSP의 1st line 치료는 흉관 삽입이며, 현재 pleural effusion이 동반되었으므로 더욱 흉관 삽입을 시행해야 한다.
Tip
기흉 정리 | |
위험요인 | • 일차성: 흡연, 남성 • 이차성: COPD • 의인성: 바늘생검, 흉막천자, 기계환기 • 외상 |
임상양상 | • 급성 흉통, 호흡곤란 • 호흡음 감소, 타진 시 과공명 |
검사소견 | • CXR: Pleural line 보임, vascular marking이 보이지 않음 |
일차성/의인성 기흉 치료 | • 안정 + 첫 기흉 + 증상 경함: 경과관찰 (+ O2) • 재발성 or 불안정: 흉관 삽입 |
이차성/외상성 기흉 치료 | • 흉관 삽입 |
긴장성 기흉 | • V/S unstable • CXR: Mediastinal shift • 즉각적인 바늘 감압 → 이후 흉관 삽입 |
오답 선지
• 기관내삽관: 본 증례는 airway 손상이 없고 의식도 명료하므로 기관내삽관은 필요하지 않다.
• 고압산소치료: 일산화탄소 중독, 잠수병의 치료 등 다양한 환경에서 사용되지만, 기흉의 치료에는 잘 사용되지 않는다.
• 비침습양압환기: 본 증례는 호흡곤란은 있으나 유의미한 hypoxemia/hypercapnia나 기타 NIV의 적응증이 될만한 양상을 보이지 않으므로 부적절하다. 또한 기흉이 있을 때 양압환기를 시행할 경우 pleural space로 공기가 더 들어가 기흉이 오히려 악화될 수 있다.
• 응급방사선치료: NSCLC, 전이암에 의한 SVC 증후군의 치료로 사용된다.
관련 이론
• 기흉
Reference
• Harrison 21e, p.2200
• Murray & Nadel 7e, pp.1539-1550