객혈

/

70

/

70

53번

[MD25]

0

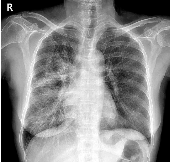
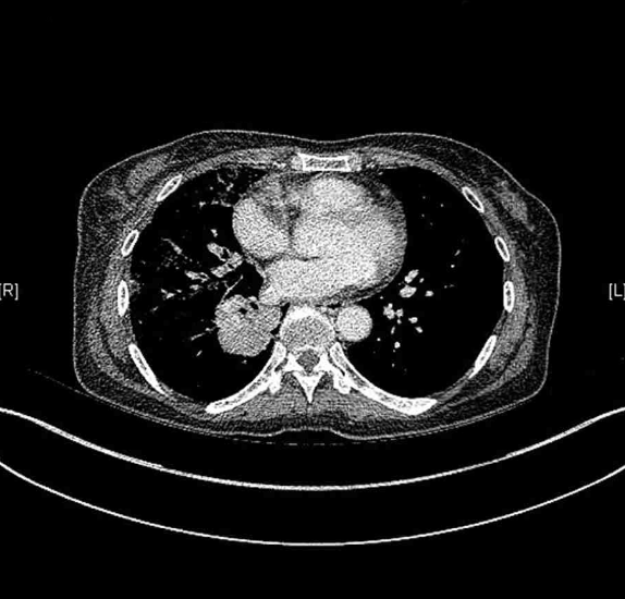
63세 여자가 2주 전부터 가래에 피가 묻어 나와서 병원에 왔다. 평소 계단을 오르면 숨이 찬다고 한다. 비흡연자이다. 혈압 110/70 mmHg, 맥박 80/분, 호흡 15회/분, 체온 36.5°C이다. 오른쪽 가슴에서 호흡음이 감소되어 들린다. 가슴 X선 사진과 가슴 컴퓨터단층촬영 사진이다. 혈액 검사 결과는 다음과 같다. 검사는?

혈색소 12.5g/dL, 백혈구 7,200/mm3, 혈소판 210,000/mm3

정답률 94%

누적 풀이 횟수 2,400+

평균 풀이 시간37초

/

나의 풀이 시간0

CC

F/63, 객혈(2w)

Hx

비흡연자

S/Sx

호흡곤란(mMRC grade 1)

V/S 110/70 80 15 36.5, decreased Rt. lung sound

Lab

Img

CXR, CT: Irregular marginated mass involving RLL bronchus

Etc

Imp: 폐암(lung cancer)

해설

폐암으로 의심되는 종괴가 중심 기도에 인접하여 있으므로 EBUS-TBNA를 통해 조직검사를 시행한다.

• 63세 여자가 2주 전부터 시작된 객혈을 주호소로 내원하였다.

• 평소 mMRC grade 1 수준의 호흡곤란이 있었고 우측 가슴에서 호흡음이 감소된 소견이 확인되므로 호흡기 질환 가능성을 염두에 두어야 한다.

• CXR 및 chest CT상 RLL bronchus를 침범하는 불규칙한 경계의 종괴가 관찰되며, 이는 폐암을 강하게 의심할 수 있는 소견이다.

• 확진을 위해 조직 생검이 필요하며, 종괴가 central airway와 인접해 있으므로 기관지경초음파 유도 기관지경유 조직검사(EBUS-TBNA)를 통해 적절한 검체를 확보해야 한다.

Tip

폐암 정리

위험인자

• 흡연, 석면/니켈/비소, 전리방사선/라돈

• 기저 폐질환: COPD, 폐결핵

임상양상

• 무증상

• 기침, 객혈, 호흡곤란, 흉통

• 체중감소, 목 덩이, 국소적 천명음 등

검사소견

• CXR/CT상 mass, nodule, cavitation, 무기폐 등

진단

• 기관지내시경 조직검사: Central lesion

• 경피적 조직검사: Peripheral lesion

SPN에 대한 접근

• 즉각적 추가 검사 불필요

- 크기 변화 없음

- Complete/central/lamellar/popcorn calcification

오답 선지

• 가슴막생검: 원인 감별이 어려운 흉수에서 시행할 수 있으며, 해당 환자의 경우 의심 병변이 흉막에 위치하지 않고 흉수도 존재하지 않으므로 배제할 수 있다.

• 폐혈관조영: 폐정맥정맥류의 평가에 사용할 수 있으며 카테터와 조영제를 사용하는 고식적 혈관조영술의 경우 과거 PTE의 진단에 사용되었다.

• 흉강경 폐생검: 해당 병변은 central airway에 인접하여 있으므로 기관지로 접근하는 modality가 우선된다.

• 식도경유심초음파검사: 심장성 원인에 의해 호흡곤란이 발생한 경우 고려할 수 있다.

관련 이론

폐암

Reference

Harrison 21e, pp.594-604