객혈

/

70

/

70

52번

[MD25]

0

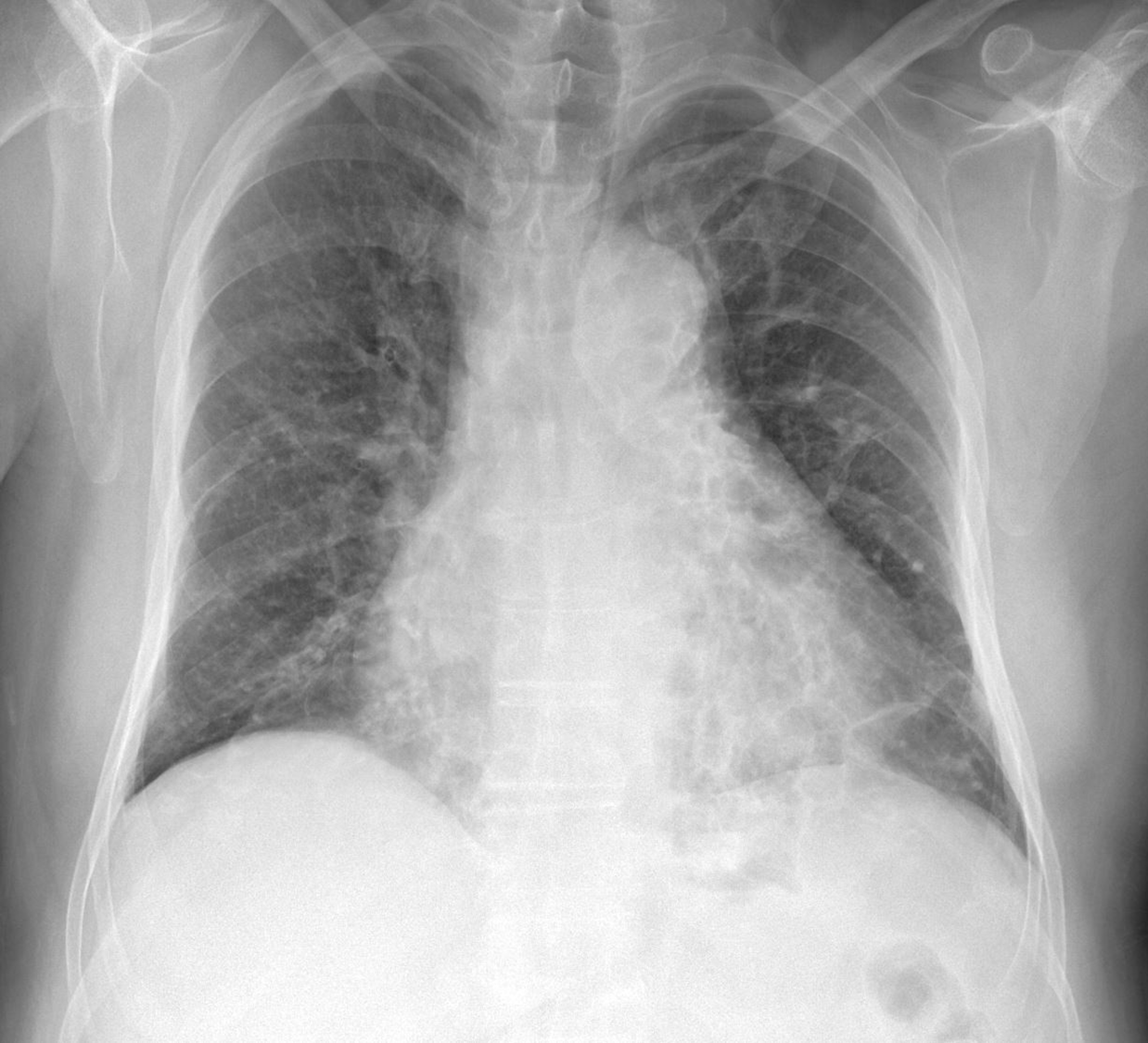
65세 여자가 6개월 전부터 간헐적으로 가래에 피가 조금씩 묻어나온다고 한다. 1달 전부터는 매일 찻숟가락정도 가래에 피가 묻어나온다고 한다. 비흡연자이고 특별히 복용하는 약은 없다고 한다. 어릴 적부터 감기에 자주 걸렸었다. 가슴 X-ray 사진은 아래와 같다. 청진상 우측 폐하부에 거품소리가 들린다. 진단은?

정답률 84%

누적 풀이 횟수 2,500+

평균 풀이 시간33초

/

나의 풀이 시간0

CC

F/65, 객혈(6m)

Hx

어릴 적 감기에 자주 걸림

S/Sx

매일 찻숟가락 정도(1m)

RLLF rale

Lab

Img

CXR: Bilateral multifocal patchy infiltrates, r/o ring shadows

Etc

Imp: 기관지확장증(bronchiectasis)

해설

어릴 적 감기에 자주 걸리는 병력과 객혈 임상양상으로 미루어 보아 보기 중 기관지확장증이 가장 적절한 진단명이다.

• 65세 여자가 6개월 전 시작된 객혈을 주호소로 내원했다.

• 매일 찻숟가락 정도 발생하므로 대량 객혈은 배제할 수 있다. 어렸을 때 자주 감기에 걸린 병력으로 미루어 보아 객혈의 원인 중 bronchiectasis가 의심된다. Bronchiectasis가 우측 폐하부에 저명할 경우, 청진상 RLLF에 rale이 들릴 수 있다.

• CXR상 여러 군데의 infiltrates가 관찰되나 폐렴 등이 저명하지는 않으며, ring shadow로 볼만한 병변들이 양쪽 폐하부에 확인된다.

• 따라서 보기 중 bronchiectasis가 가장 적절한 진단명이다.

Tip

기관지확장증 정리

위험요인

• 반복적인 호흡기 감염, 물리적 폐쇄, ILD, 유전성

임상양상

• 기침, 가래, 객혈

• 수포음, 거친 호흡소리

검사소견

• CXR: Tram-track sign, multiple ring shadow

• CT: Tram-track sign, signet-ring sign

치료

• 급성 악화: 항생제

• P. aeruginosa 동정: 제균치료

• 대량 객혈시 BAE

오답 선지

• 만성 기관지염(chronic bronchitis): 객혈을 나타낼 수 있으나, 본 증례의 frequent URI 병력 등을 고려할 때 덜 적절한 진단명이다.

• 만성 폐쇄성 폐질환(chronic obstructive pulmonary disease, COPD): 흡연자에게 주로 발생하며, 양측 폐야의 감소한 청진음 및 쌕쌕거림이 특징적이다.

• 특발성 폐섬유증(idiopathic pulmonary fibrosis, IPF): 객혈보다는 마른 기침과 호흡곤란의 형태로 나타나며, 양쪽 폐하부 rale이 특징적이다.

• 폐색전증(pulmonary thromboembolism, PTE): 객혈을 나타낼 수 있으나, 본 증례는 만성적 객혈을 호소하고 있으므로 가능성이 다소 낮다.

관련 이론

기관지확장증

Reference

Harrison 21e, pp.2173-2175

ERS guideline, 2017