기침

/

155

/

155

118번

[MD25]

0

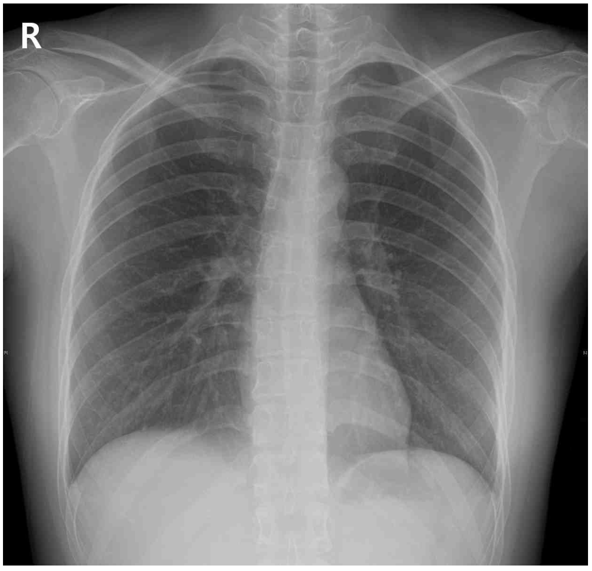
35세 남자가 10일 전부터 기침을 한다며 병원에 왔다. 남자는 초등학교 교사로, 단체여행을 다녀온 후 몸살을 앓았다고 한다. 가래는 기침 끝에 흰색이고 소량으로 나왔다. 비흡연자이다. 혈압 110/60 mmHg, 맥박 80회/분, 호흡 15회/분, 체온 36.8°C이다. 목 안 진찰 소견과 호흡음은 정상이다. 가슴 X선사진이다. 혈액검사 결과는 다음과 같다. 진단은?

혈색소 13.2 g/dL, 백혈구 7,800/mm³, 혈소판 320,000/mm³

정답률 82%

누적 풀이 횟수 2,600+

평균 풀이 시간37초

/

나의 풀이 시간0

CC

M/35, 기침(10d)

Hx

최근 단체 여행

S/Sx

가래: 기침 끝에 흰색, 소량

V/S 110/60 80 15 36.8

Lab

Img

CXR: No remarkable findings

Etc

Imp: 급성 기관지염(acute bronchitis)

해설

기침 및 소량의 가래 외 특이 소견이 관찰되지 않는 환자로 급성 기관지염을 진단할 수 있다.

• 35세 남자가 10일 전부터 시작된 기침을 주호소로 내원하였다.

• 증상을 호소한 기간이 3주 미만인 급성 기침이며, 상기도 감염, 급성 기관지염, 폐렴, 결핵 등의 원인을 의심하여야 한다.

• V/S상 정상 체온이고 혈액검사상 백혈구 증가와 같이 전신 염증을 시사하는 소견이 확인되지 않으며 가래의 양이 적고 흰색이므로 폐렴, 결핵의 가능성은 낮다.

• 더불어 목 안 진찰 소견에서 정상 소견이므로 콧물, 후비루, 재채기 등 인후두 자극증상을 동반하는 상기도 감염의 가능성은 떨어진다고 판단할 수 있다.

• 환자에서 기침 및 소량의 가래 외 특이소견이 관찰되지 않으므로 급성 기침을 유발하는 호흡기계 질환 중 환자의 증상 및 병력과 가장 부합하는 진단명은 기관지염이다.

Tip

• 기침의 분류

분류

급성 기침 (acute)

아급성 기침 (subacute)

만성 기침 (chronic)

지속기간

< 3주

3~8주

≥ 8주

원인

• 호흡기 감염

• 이물질/가스 흡인

• 감염 후 기침

• 호흡기 감염

상기도기침증후군

위식도역류질환

천식, 기침형 천식

약물(ACEi, DPP-4i)

• COPD

• 호산구성 기관지염

• 폐암, 심부전

오답 선지

• 천식: 기침형 천식의 경우 8주 이상의 만성 기침을 나타낸다.

• 폐결핵: 급성 기침을 나타낼 수 있으나, CXR상 공동이나 결절성 폐침윤 등이 관찰되며 미열, 야간 발한, 체중감소 등의 증상을 호소한다.

• 폐섬유증: 주로 만성적인 호흡곤란을 호소하며 CXR상 reticular opacity가 관찰되므로 기침 및 소량의 가래 외 특이소견이 관찰되지 않는 해당 증례에서는 가능성이 떨어진다.

• 지역사회획득폐렴: 급성 기침을 나타낼 수 있으나 가래의 양이 적고 흰색이며, CXR에서 특이소견이 발견되지 않은 점, 그리고 혈액검사상 백혈구 증가와 같은 염증의 증거를 발견하지 못한 점에서 가능성이 떨어진다.

관련 이론

기침 총론

Reference

Harrison 21e, pp.267-268

대한결핵 및 호흡기학회 가이드라인, 2020